Western Blot - Anti-Frizzled 2/FZD2 Antibody (A84472)
Frizzled 2/FZD2 expression in Human Heart (A) and Placenta (B) lysate analyzed by western blot. Cells were lysed in RIPA buffer and 35µg protein was run per lane. Primary incubation was performed with Anti-Frizzled 2/FZD2 Antibody (A84472) at 0.03µg/ml (A) or 0.1µg/ml (B) and detected by chemiluminescence.
Frizzled 2/FZD2 expression in U2OS cells analyzed by immunofluorescence. Cells were permeabilized with 0.15% Triton. Staining was performed with Anti-Frizzled 2/FZD2 Antibody (A84472) at 10µg/ml for 1 hour and Alexa Fluor 488 secondary antibody at 2µg/ml. Cytoplasmic and nuclear staining shown and actin filaments were stained with phalloidin (red). Negative control: Goat IgG Isotype Control at 10µg/ml followed by Alexa Fluor 488 secondary antibody at 2µg/ml.
Frizzled 2/FZD2 expression in Human Thyroid Gland analyzed by immunohistochemistry. Tissue was paraffin-embedded, and antigen retrieval was achieved by steaming in citrate buffer, pH 6. Staining was performed with Anti-Frizzled 2/FZD2 Antibody (A84472) at 2.5µg/ml and revealed with alkaline phosphatase (AP).
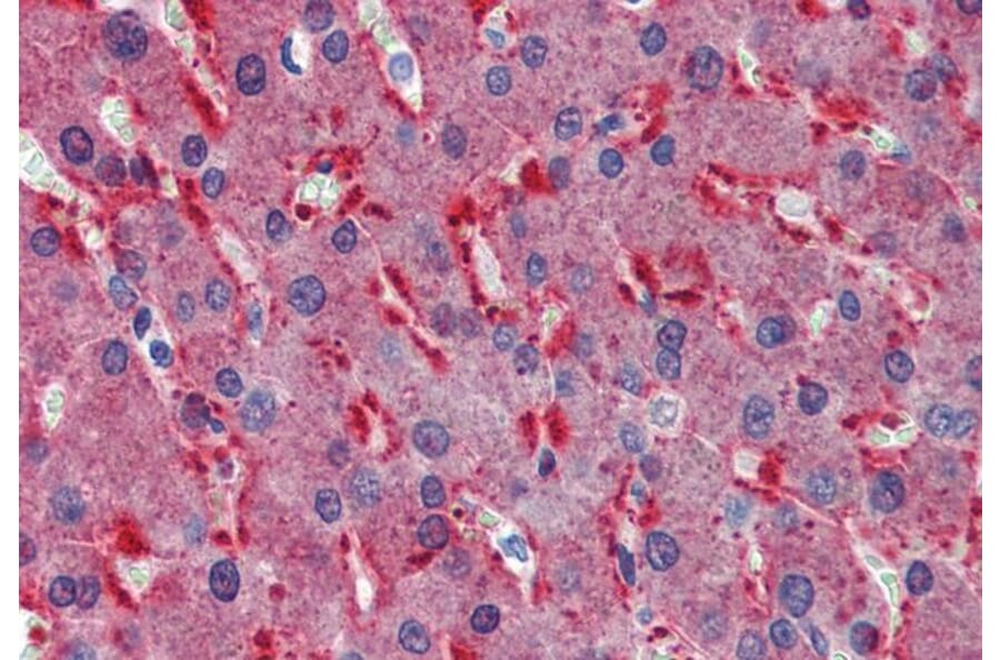
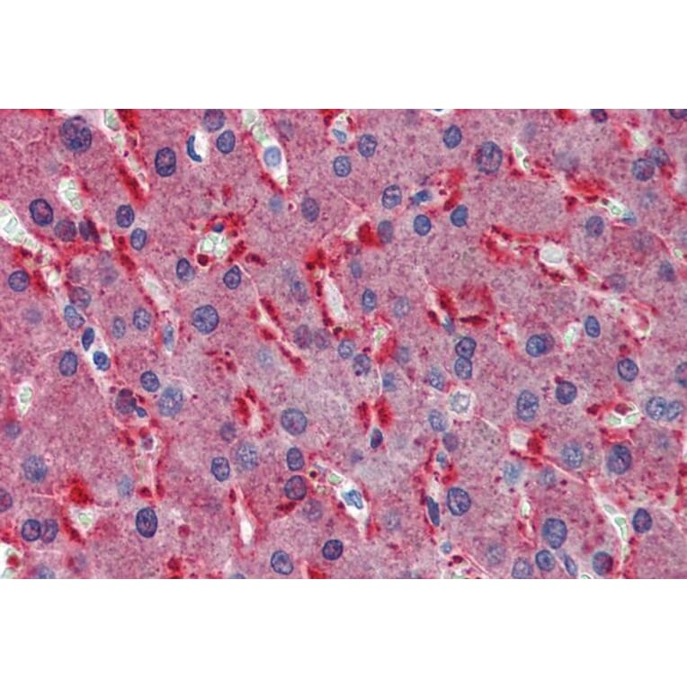
Frizzled 2/FZD2 expression in Human Liver analyzed by immunohistochemistry. Tissue was paraffin-embedded, and antigen retrieval was achieved by steaming in citrate buffer, pH 6. Staining was performed with Anti-Frizzled 2/FZD2 Antibody (A84472) at 2.5µg/ml and revealed with alkaline phosphatase (AP).
Publishing research using Anti-Frizzled 2/FZD2 Antibody (A84472)? Please let us know so that we can list the citation on this page.