ISO 9001:2015 Certified
Live Customer Support
4.5/5 on Trustpilot
100% Quality Guarantee

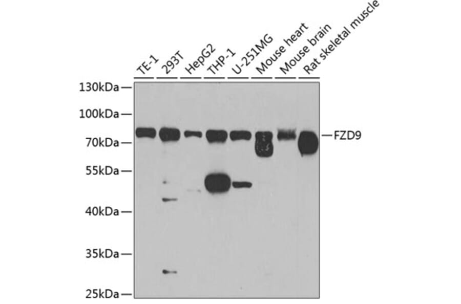
Anti-Frizzled 9 Antibody (A16154)

Rabbit polyclonal antibody to Frizzled 9 for WB and ICC/IF.

Shipping Information

$40
Dispatched from St. Louis, MO.
Lead Time: 7-10 business days.
Name
Anti-Frizzled 9 Antibody
Description
Rabbit polyclonal antibody to Frizzled 9.
Applications
WB, ICC/IF
Dilutions
WB: 1:500-1:2,000, ICC/IF: 1:50-1:100
Reactivity
Human, Mouse, Rat
Immunogen
Recombinant fusion protein containing a sequence corresponding to amino acids 469-591 of human FZD9 (NP_003499.1).
Sequence
ERLNMDFWRLRATEQPCAAAAGPGGRRDCSLPGGSVPTVAVFMLKIFMSLVVGITSGVWVWSSKTFQTWQSLCYRKIAAGRARAKACRAPGSYGRGTHCHYKAPTVVLHMTKTDPSLENPTHL
Host
Rabbit
Clonality
Polyclonal
Isotype
IgG
Conjugate

Unconjugated

Purification
Affinity purification.
Concentration
Lot Specific
Molecular Weight
80 kDa
Product Form
Liquid
Formulation
Supplied in Phosphate Buffered Saline, pH 7.3, with 50% Glycerol and 0.02% Sodium Azide.
Storage
Shipped at 4°C. Upon delivery aliquot and store at -20°C. Avoid freeze/thaw cycles.
Synonyms
CD 349, CD 349 antigen, CD349, Frizzled Drosophila homolog of 3, Frizzled homolog 9, Frizzled homolog 9 (Drosophila), Frizzled-9, Fz 9, Fz-9, FZD 3, Fzd 9, FZD3, FZD3-PEN, FZD9, FZD9_HUMAN, FzE6, hFz9, mfz9, Xfz9
Disclaimer
This product is for research use only. It is not intended for diagnostic or therapeutic use.
Publishing research using Anti-Frizzled 9 Antibody (A16154)? Please let us know so that we can list the citation on this page.

Alternative products to Anti-Frizzled 9 Antibody (A16154)