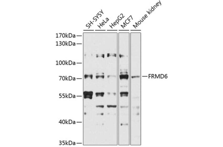
Western Blot - Anti-FRMD6/Willin Antibody (A12445)
Western blot analysis of extracts of various cell lines, using Anti-FRMD6/Willin Antibody (A12445) at 1:1,000 dilution. The secondary antibody was Goat Anti-Rabbit IgG H&L Antibody (HRP) at 1:10,000 dilution. Lysates/proteins were present at 25µg per lane. The blocking buffer used was 3% non-fat dry milk in TBST. Detection was with a ECL Basic Kit. Exposure time: 5s.
Western Blot - Anti-FRMD6/Willin Antibody (A12445)
Western blot analysis of extracts of various cell lines, using Anti-FRMD6/Willin Antibody (A12445) at 1:1,000 dilution. The secondary antibody was Goat Anti-Rabbit IgG H&L Antibody (HRP) at 1:10,000 dilution. Lysates/proteins were present at 25µg per lane. The blocking buffer used was 3% non-fat dry milk in TBST. Detection was with a ECL Basic Kit. Exposure time: 1s.
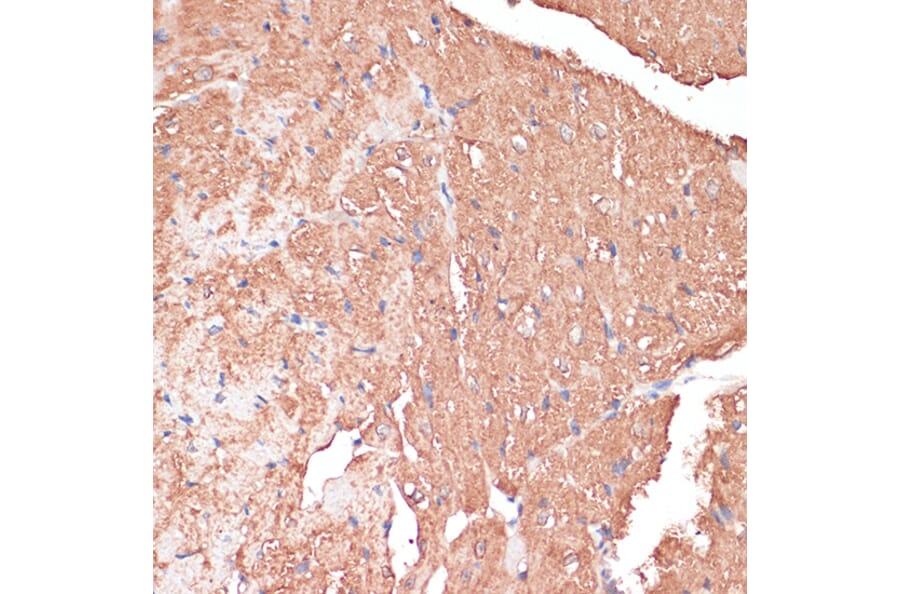
Immunohistochemistry analysis of paraffin-embedded rat heart using Anti-FRMD6/Willin Antibody (A12445) at a dilution of 1:100 (40x lens). Perform microwave antigen retrieval with 10 mM PBS buffer pH 7.2 before commencing with IHC staining protocol.
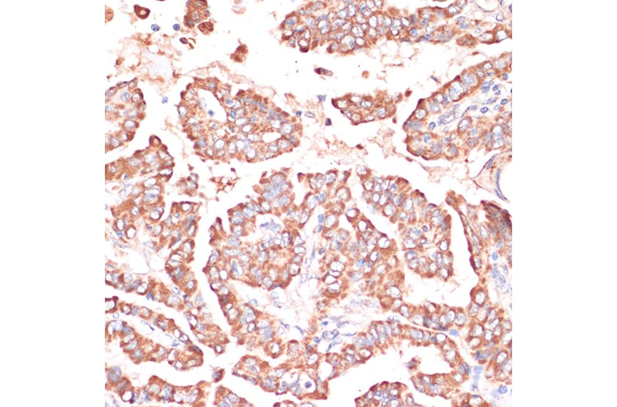
Immunohistochemistry analysis of paraffin-embedded human thyroid cancer using Anti-FRMD6/Willin Antibody (A12445) at a dilution of 1:100 (40x lens). Perform microwave antigen retrieval with 10 mM PBS buffer pH 7.2 before commencing with IHC staining protocol.
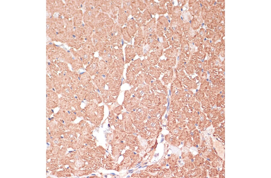
Immunohistochemistry analysis of paraffin-embedded mouse heart using Anti-FRMD6/Willin Antibody (A12445) at a dilution of 1:100 (40x lens). Perform microwave antigen retrieval with 10 mM PBS buffer pH 7.2 before commencing with IHC staining protocol.
Immunofluorescence analysis of C6 cells using Anti-FRMD6/Willin Antibody (A12445) at a dilution of 1:100. DAPI was used to stain the cell nuclei (blue).
Immunofluorescence analysis of U2OS cells using Anti-FRMD6/Willin Antibody (A12445) at a dilution of 1:100. DAPI was used to stain the cell nuclei (blue).