ISO 9001:2015 Certified
Live Customer Support
4.5/5 on Trustpilot
100% Quality Guarantee

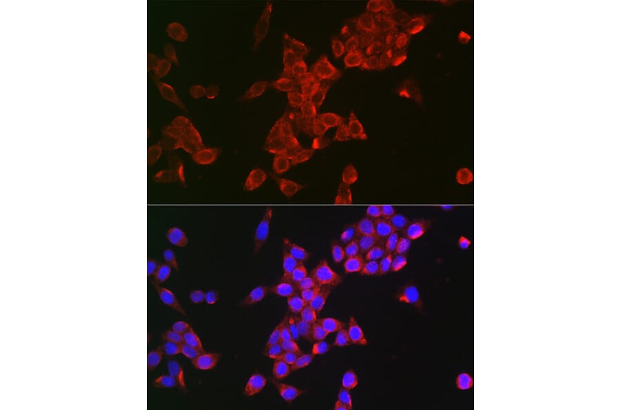
Anti-FSH-R Antibody (A11453)

Rabbit polyclonal antibody to FSH-R for WB and ICC/IF.

Shipping Information

$40
Dispatched from St. Louis, MO.
Lead Time: 7-10 business days.
Name
Anti-FSH-R Antibody
Description
Rabbit polyclonal antibody to FSH-R.
Applications
WB, ICC/IF
Dilutions
WB: 1:500-1:1,000, ICC/IF: 1:50-1:200
Reactivity
Human, Mouse, Rat
Immunogen
Recombinant fusion protein containing a sequence corresponding to amino acids 631-695 of human FSHR (NP_000136.2).
Sequence
KNFRRDFFILLSKCGCYEMQAQIYRTETSSTVHNTHPRNGHCSSAPRVTSGSTYILVPLSHLAQN
Host
Rabbit
Clonality
Polyclonal
Isotype
IgG
Conjugate

Unconjugated

Purification
Affinity purification.
Concentration
Lot Specific
Molecular Weight
72 kDa
Product Form
Liquid
Formulation
Supplied in Phosphate Buffered Saline, pH 7.3, with 50% Glycerol and 0.01% Thiomersal.
Storage
Shipped at 4°C. Upon delivery aliquot and store at -20°C. Avoid freeze/thaw cycles.
Synonyms
Follicle-stimulating hormone receptor, Follitropin receptor, LGR1
Disclaimer
This product is for research use only. It is not intended for diagnostic or therapeutic use.
Publishing research using Anti-FSH-R Antibody (A11453)? Please let us know so that we can list the citation on this page.

Alternative products to Anti-FSH-R Antibody (A11453)

Proteins predicted to interact with FSHR

Predicted protein interactions based upon String database. Revelancy score correlates with probability of interaction.
99.9% Relevancy Score
99% Relevancy Score
97.6% Relevancy Score
94.2% Relevancy Score
94.2% Relevancy Score
93.2% Relevancy Score
93% Relevancy Score
92.9% Relevancy Score
91.5% Relevancy Score