Primary Antibodies
Secondary Antibodies
Proteins & Peptides
ELISA Kits
About Us
Contact Us
Sign In/Register
0
ISO 9001:2015 Certified
Live Customer Support
4.5/5 on Trustpilot
100% Quality Guarantee
Home
Primary Antibodies
TLS Antibodies
Anti-FUS Antibody (A47247)
Anti-FUS Antibody (A47247)
Overview
Specifications
Images
Enlarge Image
$430
Product Datasheet
Rabbit polyclonal antibody to FUS for IHC.
100% Guarantee
Price Match Guarantee
Product Size:
100µl
Quantity:
1
2
3
4
5
6
7
8
9
10
Add To Cart
Request a Quotation
Custom or Bulk Request
Shipping Information
Freight/Packing Charges:
$40
Dispatched from St. Louis, MO.
Lead Time: 6-9 business days.
Specifications
Name
Anti-FUS Antibody
Description
Rabbit polyclonal antibody to FUS
Specificity
The antibody detects endogenous levels of total FUS protein.
Applications
IHC
Reactivity
Human
Immunogen
Fusion protein corresponding to residues near the C terminal of human FUS RNA binding protein
Host
Rabbit
Clonality
Polyclonal
Conjugate
Unconjugated
Purification
Antigen affinity purification.
Concentration
2.5 mg/mL
Formulation
Rabbit IgG in pH7.4 PBS, 0.05% NaN3, 40% Glycerol.
Storage
Shipped at 4°C. Upon delivery aliquot and store at -20°C. Avoid freeze/thaw cycles.
Synonyms
75 kDa DNA-pairing protein, Oncogene FUS, Oncogene TLS, POMp75, RNA-binding protein FUS, Translocated in liposarcoma protein
Suitable Secondaries
Goat Anti-Rabbit IgG H&L Antibody (AP) (A294874)
Goat Anti-Rabbit IgG H&L Antibody (Biotin) (A294795)
Goat Anti-Rabbit IgG H&L Antibody (FITC) (A294887)
Goat Anti-Rabbit IgG H&L Antibody (HRP) (A294888)
See all Anti-Rabbit IgG Secondaries →
Disclaimer
This product is for research use only. It is not intended for diagnostic or therapeutic use.
Scientific Validation Data
Validation Data
(1)
Enlarge Image
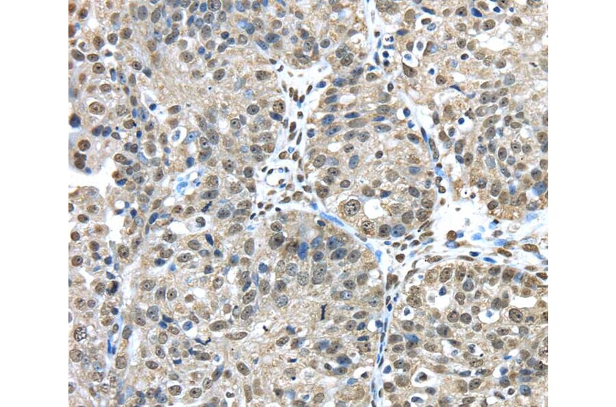
Immunohistochemistry - Anti-FUS Antibody (A47247)
Immunohistochemical analysis of paraffin-embedded Human breast cancer tissue using #40153 at dilution 1/45.
Publishing research using Anti-FUS Antibody (A47247)? Please
let us know
so that we can list the citation on this page.
Alternative products to Anti-FUS Antibody (A47247)
(2)
A48627
Anti-Fus Antibody
Rabbit polyclonal antibody to Fus for ELISA, WB and IHC.
A346669
Anti-TLS Antibody [24GB3350]
Recombinant rabbit monoclonal [24GB3350] antibody to TLS for WB, Flow Cytometry and ICC/IF.
(2)
A36466
Anti-RNA-binding protein FUS Antibody
Rabbit polyclonal antibody to RNA-binding protein FUS for WB and IHC.
(2)
A48627
Anti-Fus Antibody
Rabbit polyclonal antibody to Fus for ELISA, WB and IHC.
A346669
Anti-TLS Antibody [24GB3350]
Recombinant rabbit monoclonal [24GB3350] antibody to TLS for WB, Flow Cytometry and ICC/IF.
(2)
A36466
Anti-RNA-binding protein FUS Antibody
Rabbit polyclonal antibody to RNA-binding protein FUS for WB and IHC.
Proteins predicted to interact with TLS
Predicted protein interactions based upon String database. Revelancy score correlates with probability of interaction.
TDP43 Antibodies
99.9% Relevancy Score
Transportin 1 Antibodies
99.4% Relevancy Score
SOD1 Antibodies
99.2% Relevancy Score
Drosha Antibodies
99.2% Relevancy Score
HNRNPA2B1 Antibodies
99% Relevancy Score
SFPQ Antibodies
98.5% Relevancy Score
SRSF10 Antibodies
98.5% Relevancy Score
ILF3 Antibodies
98.2% Relevancy Score
HNRNPC Antibodies
97.6% Relevancy Score
Top