ISO 9001:2015 Certified
Live Customer Support
4.5/5 on Trustpilot
100% Quality Guarantee

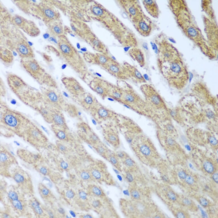
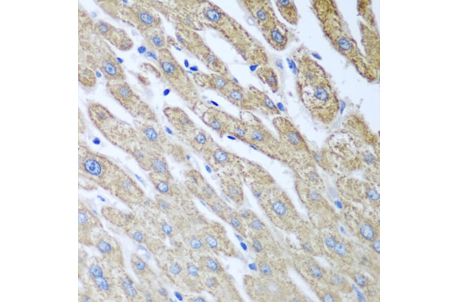
Anti-FUT6 Antibody (A9312)

Rabbit polyclonal antibody to FUT6 for WB and IHC.

Shipping Information

$40
Dispatched from St. Louis, MO.
Lead Time: 7-10 business days.
Name
Anti-FUT6 Antibody
Description
Rabbit polyclonal antibody to FUT6.
Applications
WB, IHC
Dilutions
WB: 1:500-1:2,000, IHC: 1:100-1:200
Reactivity
Human
Immunogen
Recombinant fusion protein containing a sequence corresponding to amino acids 170-359 of human FUT6 (NP_000141.1).
Sequence
WLEPWSGQPAHPPLNLSAKTELVAWAVSNWGPNSARVRYYQSLQAHLKVDVYGRSHKPLPQGTMMETLSRYKFYLAFENSLHPDYITEKLWRNALEAWAVPVVLGPSRSNYERFLPPDAFIHVDDFQSPKDLARYLQELDKDHARYLSYFRWRETLRPRSFSWALAFCKACWKLQEESRYQTRGIAAWFT
Host
Rabbit
Clonality
Polyclonal
Isotype
IgG
Conjugate

Unconjugated

Purification
Affinity purification.
Concentration
Lot Specific
Molecular Weight
42 kDa
Product Form
Liquid
Formulation
Supplied in Phosphate Buffered Saline, pH 7.3, with 50% Glycerol and 0.02% Sodium Azide.
Storage
Shipped at 4°C. Upon delivery aliquot and store at -20°C. Avoid freeze/thaw cycles.
Synonyms
3-galactosyl-N-acetylglucosaminide 4-alpha-L-fucosyltransferase FUT5, 4-galactosyl-N-acetylglucosaminide 3-alpha-L-fucosyltransferase FUT5, 4-galactosyl-N-acetylglucosaminide 3-alpha-L-fucosyltransferase FUT6, EC:2.4.1.65, FCT3A, Fuc-TV, Fuc-TVI, Fucosyltransferase 5, Fucosyltransferase 6, Fucosyltransferase V, Fucosyltransferase VI, FucT-V, FucT-VI, FUT5, Galactoside 3-L-fucosyltransferase
Disclaimer
This product is for research use only. It is not intended for diagnostic or therapeutic use.
Publishing research using Anti-FUT6 Antibody (A9312)? Please let us know so that we can list the citation on this page.

Alternative products to Anti-FUT6 Antibody (A9312)

Proteins predicted to interact with FUT4

Predicted protein interactions based upon String database. Revelancy score correlates with probability of interaction.
98.8% Relevancy Score
98.5% Relevancy Score
94.6% Relevancy Score
94.5% Relevancy Score
92.8% Relevancy Score
92.4% Relevancy Score
92.1% Relevancy Score
92% Relevancy Score