Primary Antibodies
Secondary Antibodies
Proteins & Peptides
ELISA Kits
About Us
Contact Us
Sign In/Register
0
ISO 9001:2015 Certified
Live Customer Support
4.5/5 on Trustpilot
100% Quality Guarantee
Home
Primary Antibodies
Frizzled 10 Antibodies
Anti-FZD10 Antibody (A46167)
Anti-FZD10 Antibody (A46167)
Overview
Specifications
Images
Enlarge Image
Enlarge Image
$430
Rabbit polyclonal antibody to FZD10 for IHC.
100% Guarantee
Price Match Guarantee
Product Size:
100µl
Quantity:
1
2
3
4
5
6
7
8
9
10
Add To Cart
Request a Quotation
Custom or Bulk Request
Shipping Information
Freight/Packing Charges:
$40
Dispatched from St. Louis, MO.
Lead Time: 6-9 business days.
Specifications
Name
Anti-FZD10 Antibody
Description
Rabbit polyclonal antibody to FZD10
Specificity
The antibody detects endogenous levels of total FZD10 protein.
Applications
IHC
Reactivity
Human, Mouse
Immunogen
Synthetic peptide corresponding to a region derived from internal residues of human frizzled family receptor 10
Host
Rabbit
Clonality
Polyclonal
Conjugate
Unconjugated
Purification
Antigen affinity purification.
Concentration
1.9mg / ml
Formulation
Rabbit IgG in pH7.3 PBS, 0.05% NaN3, 50% Glycerol.
Storage
Store at -20˚C
Synonyms
CD350, Frizzled-10, Fz-10, FzE7, hFz10
Suitable Secondaries
Goat Anti-Rabbit IgG H&L Antibody (AP) (A294874)
Goat Anti-Rabbit IgG H&L Antibody (Biotin) (A294795)
Goat Anti-Rabbit IgG H&L Antibody (FITC) (A294887)
Goat Anti-Rabbit IgG H&L Antibody (HRP) (A294888)
See all Anti-Rabbit IgG Secondaries →
Disclaimer
This product is for research use only. It is not intended for diagnostic or therapeutic use.
Scientific Validation Data
Validation Data
(2)
Enlarge Image
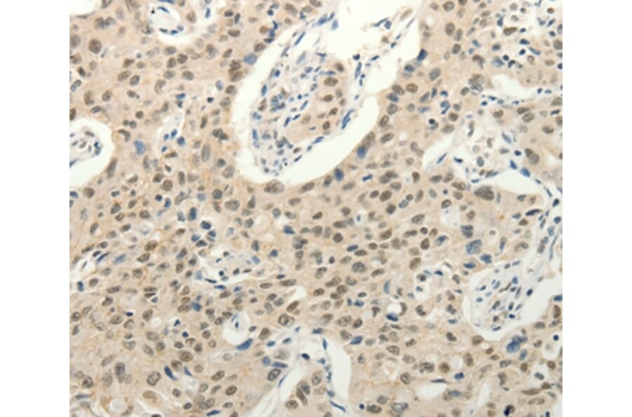
Immunohistochemistry - Anti-FZD10 Antibody (A46167)
Immunohistochemical analysis of paraffin-embedded Human lung cancer tissue using #37298 at dilution 1/50.
Enlarge Image
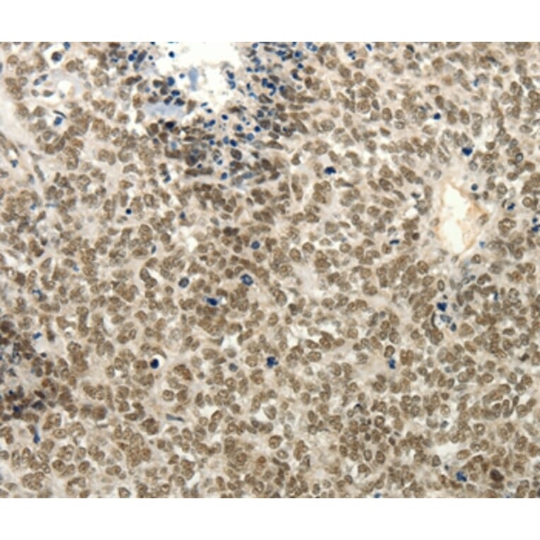
Immunohistochemistry - Anti-FZD10 Antibody (A46167)
Immunohistochemical analysis of paraffin-embedded Human ovarian cancer tissue using #37298 at dilution 1/50.
Publishing research using Anti-FZD10 Antibody (A46167)? Please
let us know
so that we can list the citation on this page.
Alternative products to Anti-FZD10 Antibody (A46167)
(2)
A323754
Tabituximab Biosimilar - Anti-FZD10 Antibody - Low endotoxin, Azide free
Recombinant human monoclonal antibody to FZD10 for ELISA, FACS, Kinetics (BLI), Kinetics (SPR) and Functional Assay.
(2)
A338705
Tabituximab Biosimilar - Anti-Frizzled 10 Antibody - BSA and Azide free
Chimeric monoclonal antibody to Frizzled 10 Research grade Tabituximab biosimilar for ELISA, Flow Cytometry, Functional Studies and in vivo Research.
(2)
A99096
Anti-FZD10 Antibody
Rabbit polyclonal antibody to FZD10 for WB and ELISA.
A40213
Anti-Frizzled-10 Antibody
Rabbit polyclonal antibody to Frizzled-10 for WB and ELISA.
(2)
A324693
Tabituximab Biosimilar - Anti-FZD10 Antibody - BSA and Azide free
Recombinant chimeric monoclonal antibody to FZD10 for ELISA and Flow Cytometry.
A318703
Anti-FZD10 Antibody [DMC487] - BSA and Azide free
Recombinant chimeric monoclonal [DMC487] antibody to FZD10 for Flow Cytometry.
A91045
Anti-FZD10 Antibody
Rabbit polyclonal antibody to FZD10 for WB.
(2)
A323754
Tabituximab Biosimilar - Anti-FZD10 Antibody - Low endotoxin, Azide free
Recombinant human monoclonal antibody to FZD10 for ELISA, FACS, Kinetics (BLI), Kinetics (SPR) and Functional Assay.
(2)
A338705
Tabituximab Biosimilar - Anti-Frizzled 10 Antibody - BSA and Azide free
Chimeric monoclonal antibody to Frizzled 10 Research grade Tabituximab biosimilar for ELISA, Flow Cytometry, Functional Studies and in vivo Research.
(2)
A99096
Anti-FZD10 Antibody
Rabbit polyclonal antibody to FZD10 for WB and ELISA.
A40213
Anti-Frizzled-10 Antibody
Rabbit polyclonal antibody to Frizzled-10 for WB and ELISA.
(2)
A324693
Tabituximab Biosimilar - Anti-FZD10 Antibody - BSA and Azide free
Recombinant chimeric monoclonal antibody to FZD10 for ELISA and Flow Cytometry.
A318703
Anti-FZD10 Antibody [DMC487] - BSA and Azide free
Recombinant chimeric monoclonal [DMC487] antibody to FZD10 for Flow Cytometry.
A91045
Anti-FZD10 Antibody
Rabbit polyclonal antibody to FZD10 for WB.
See all FZD10 Antibodies
Proteins predicted to interact with Frizzled 10
Predicted protein interactions based upon String database. Revelancy score correlates with probability of interaction.
Wnt7a Antibodies
98.6% Relevancy Score
Wnt1 Antibodies
98.6% Relevancy Score
Wnt11 Antibodies
96.4% Relevancy Score
Wnt7b Antibodies
96.4% Relevancy Score
LRP5 Antibodies
93.6% Relevancy Score
LRP6 Antibodies
93% Relevancy Score
RNF43 Antibodies
92.5% Relevancy Score
ZNRF3 Antibodies
92.2% Relevancy Score
BAMBI Antibodies
91.8% Relevancy Score
Top