Primary Antibodies
Secondary Antibodies
Proteins & Peptides
ELISA Kits
About Us
Contact Us
Sign In/Register
0
ISO 9001:2015 Certified
Live Customer Support
4.5/5 on Trustpilot
100% Quality Guarantee
Home
Primary Antibodies
FZD3 Antibodies
Anti-FZD3 Antibody (A46861)
Anti-FZD3 Antibody (A46861)
Overview
Specifications
Images
Enlarge Image
Enlarge Image
$405
Rabbit polyclonal antibody to FZD3 for IHC.
100% Guarantee
Price Match Guarantee
Product Size:
100µl
Quantity:
1
2
3
4
5
6
7
8
9
10
Add To Cart
Request a Quotation
Custom or Bulk Request
Shipping Information
Freight/Packing Charges:
$40
Dispatched from St. Louis, MO.
Lead Time: 6-9 business days.
Specifications
Name
Anti-FZD3 Antibody
Description
Rabbit polyclonal antibody to FZD3
Specificity
The antibody detects endogenous levels of total FZD3 protein.
Applications
IHC
Reactivity
Human
Immunogen
Synthetic peptide corresponding to a region derived from internal residues of human frizzled family receptor 3
Host
Rabbit
Clonality
Polyclonal
Conjugate
Unconjugated
Purification
Antigen affinity purification.
Concentration
700 µg/ml
Formulation
Rabbit IgG in pH7.3 PBS, 0.05% NaN3, 50% Glycerol.
Storage
Store at -20˚C
Synonyms
Frizzled-3, Fz-3, hFz3
Suitable Secondaries
Goat Anti-Rabbit IgG H&L Antibody (AP) (A294874)
Goat Anti-Rabbit IgG H&L Antibody (Biotin) (A294795)
Goat Anti-Rabbit IgG H&L Antibody (FITC) (A294887)
Goat Anti-Rabbit IgG H&L Antibody (HRP) (A294888)
See all Anti-Rabbit IgG Secondaries →
Disclaimer
This product is for research use only. It is not intended for diagnostic or therapeutic use.
Scientific Validation Data
Validation Data
(2)
Enlarge Image
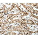
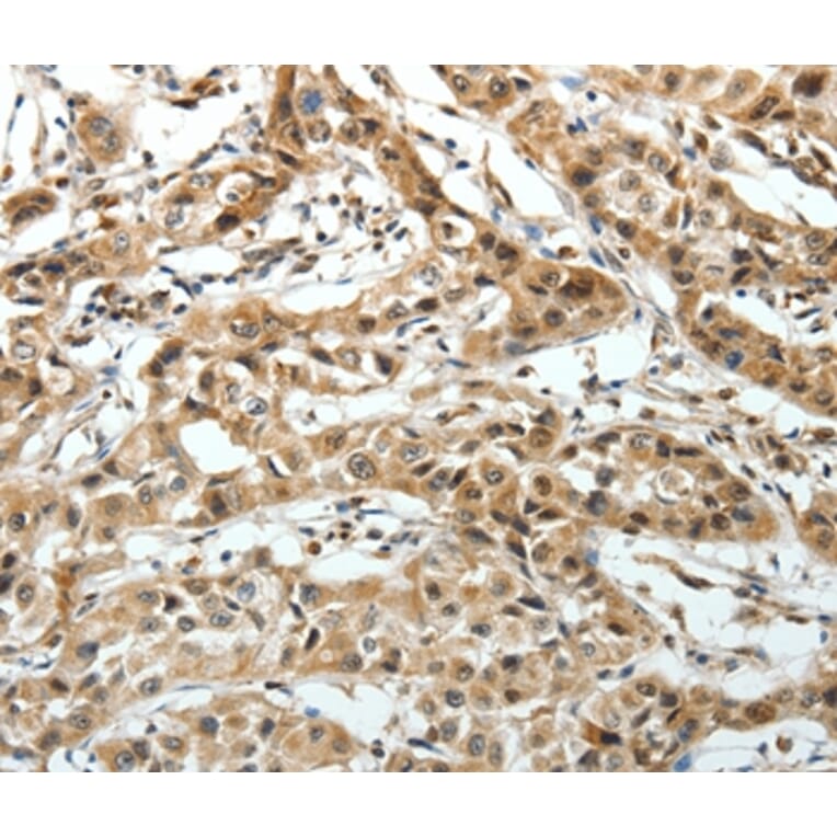
Immunohistochemistry - Anti-FZD3 Antibody (A46861)
Immunohistochemical analysis of paraffin-embedded Human lung cancer tissue using #37069 at dilution 1/20.
Enlarge Image
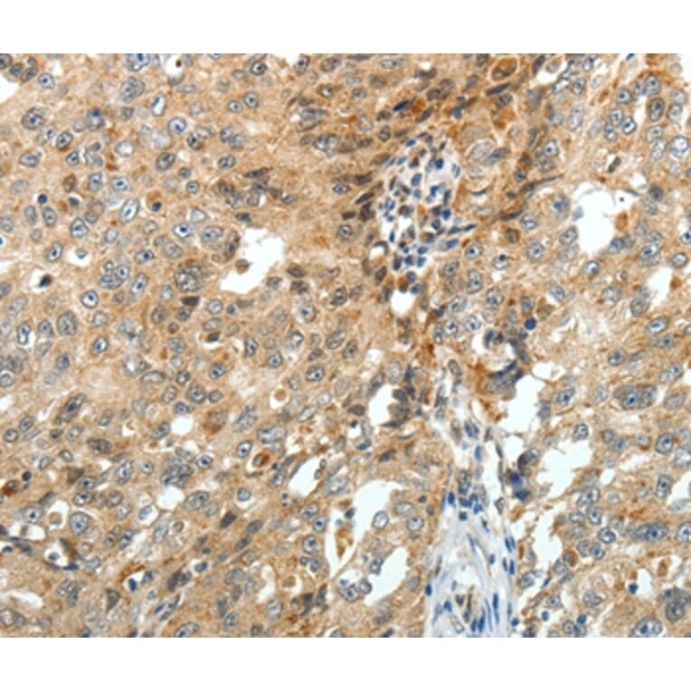
Immunohistochemistry - Anti-FZD3 Antibody (A46861)
Immunohistochemical analysis of paraffin-embedded Human ovarian cancer tissue using #37069 at dilution 1/20.
Publishing research using Anti-FZD3 Antibody (A46861)? Please
let us know
so that we can list the citation on this page.
Alternative products to Anti-FZD3 Antibody (A46861)
(2)
A98404
Anti-FZD3 Antibody
Rabbit polyclonal antibody to FZD3 for WB, IF and ELISA.
(4)
A98403
Anti-FZD3 Antibody
Rabbit polyclonal antibody to FZD3 for WB, IF and ELISA.
A11231
Anti-FZD3 Antibody
Rabbit polyclonal antibody to FZD3 for WB and IHC.
A26392
Anti-Frizzled-3 (L180) Antibody
Rabbit polyclonal antibody to Frizzled-3 (L180) for WB and IF.
A26514
Anti-Frizzled-3 (R524) Antibody
Rabbit polyclonal antibody to Frizzled-3 (R524) for WB and IF.
A99413
Anti-FZD3 Antibody
Rabbit polyclonal antibody to FZD3 for WB and ELISA.
A338403
Anti-FZD3 Nanobody [SAA2318]
Recombinant human monoclonal [SAA2318] nanobody to FZD3 for ELISA.
A338404
Anti-FZD3 Nanobody [SAA2319]
Recombinant human monoclonal [SAA2319] nanobody to FZD3 for ELISA.
(2)
A98404
Anti-FZD3 Antibody
Rabbit polyclonal antibody to FZD3 for WB, IF and ELISA.
(4)
A98403
Anti-FZD3 Antibody
Rabbit polyclonal antibody to FZD3 for WB, IF and ELISA.
A11231
Anti-FZD3 Antibody
Rabbit polyclonal antibody to FZD3 for WB and IHC.
A26392
Anti-Frizzled-3 (L180) Antibody
Rabbit polyclonal antibody to Frizzled-3 (L180) for WB and IF.
A26514
Anti-Frizzled-3 (R524) Antibody
Rabbit polyclonal antibody to Frizzled-3 (R524) for WB and IF.
A99413
Anti-FZD3 Antibody
Rabbit polyclonal antibody to FZD3 for WB and ELISA.
A338403
Anti-FZD3 Nanobody [SAA2318]
Recombinant human monoclonal [SAA2318] nanobody to FZD3 for ELISA.
A338404
Anti-FZD3 Nanobody [SAA2319]
Recombinant human monoclonal [SAA2319] nanobody to FZD3 for ELISA.
See all FZD3 Antibodies
Proteins predicted to interact with FZD3
Predicted protein interactions based upon String database. Revelancy score correlates with probability of interaction.
Wnt5a Antibodies
99.9% Relevancy Score
Wnt11 Antibodies
99.6% Relevancy Score
Wnt4 Antibodies
98.7% Relevancy Score
Wnt5b Antibodies
98.6% Relevancy Score
Wnt1 Antibodies
96% Relevancy Score
DVL1 Antibodies
95.8% Relevancy Score
RYK Antibodies
95.7% Relevancy Score
Wnt3a Antibodies
95.6% Relevancy Score
VANGL2 Antibodies
95.3% Relevancy Score
Top