Primary Antibodies
Secondary Antibodies
Proteins & Peptides
ELISA Kits
About Us
Contact Us
Sign In/Register
0
ISO 9001:2015 Certified
Live Customer Support
4.5/5 on Trustpilot
100% Quality Guarantee
Home
Primary Antibodies
Frizzled 6 Antibodies
Anti-FZD6 Antibody (A46896)
Anti-FZD6 Antibody (A46896)
Overview
Specifications
Images
Enlarge Image
Enlarge Image
$430
Product Datasheet
Rabbit polyclonal antibody to FZD6 for IHC.
100% Guarantee
Price Match Guarantee
Product Size:
100µl
Quantity:
1
2
3
4
5
6
7
8
9
10
Add To Cart
Request a Quotation
Custom or Bulk Request
Shipping Information
Freight/Packing Charges:
$40
Dispatched from St. Louis, MO.
Lead Time: 6-9 business days.
Specifications
Name
Anti-FZD6 Antibody
Description
Rabbit polyclonal antibody to FZD6
Specificity
The antibody detects endogenous levels of total FZD6 protein.
Applications
IHC
Reactivity
Human
Immunogen
Synthetic peptide corresponding to a region derived from internal residues of human frizzled family receptor 6
Host
Rabbit
Clonality
Polyclonal
Conjugate
Unconjugated
Purification
Antigen affinity purification.
Concentration
2.3 mg/mL
Formulation
Supplied in PBS, pH 7.3, containing 0.05% sodium azide and 50% glycerol.
Storage
Shipped at 4°C. Upon delivery aliquot and store at -20°C. Avoid freeze/thaw cycles.
Synonyms
Frizzled-6, Fz-6, hFz6
Suitable Secondaries
Goat Anti-Rabbit IgG H&L Antibody (AP) (A294874)
Goat Anti-Rabbit IgG H&L Antibody (Biotin) (A294795)
Goat Anti-Rabbit IgG H&L Antibody (FITC) (A294887)
Goat Anti-Rabbit IgG H&L Antibody (HRP) (A294888)
See all Anti-Rabbit IgG Secondaries →
Disclaimer
This product is for research use only. It is not intended for diagnostic or therapeutic use.
Scientific Validation Data
Validation Data
(2)
Enlarge Image
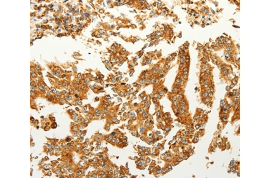
Immunohistochemistry - Anti-FZD6 Antibody (A46896)
Immunohistochemical analysis of paraffin-embedded Human thyroid cancer tissue using #37296 at dilution 1/60.
Enlarge Image
Immunohistochemistry - Anti-FZD6 Antibody (A46896)
Immunohistochemical analysis of paraffin-embedded Human gastric cancer tissue using #37296 at dilution 1/60.
Publishing research using Anti-FZD6 Antibody (A46896)? Please
let us know
so that we can list the citation on this page.
Alternative products to Anti-FZD6 Antibody (A46896)
(2)
A99895
Anti-FZD6 Antibody
Rabbit polyclonal antibody to FZD6 for WB, IHC, IF and ELISA.
A27972
Anti-Frizzled-6 (T167) Antibody
Rabbit polyclonal antibody to Frizzled-6 (T167) for WB, ICC and IP.
A27971
Anti-Frizzled-6 (G169) Antibody
Rabbit polyclonal antibody to Frizzled-6 (G169) for WB and IF.
A11328
Anti-Frizzled 6 Antibody
Rabbit polyclonal antibody to Frizzled 6 for WB and IHC.
(2)
A99895
Anti-FZD6 Antibody
Rabbit polyclonal antibody to FZD6 for WB, IHC, IF and ELISA.
A27972
Anti-Frizzled-6 (T167) Antibody
Rabbit polyclonal antibody to Frizzled-6 (T167) for WB, ICC and IP.
A27971
Anti-Frizzled-6 (G169) Antibody
Rabbit polyclonal antibody to Frizzled-6 (G169) for WB and IF.
A11328
Anti-Frizzled 6 Antibody
Rabbit polyclonal antibody to Frizzled 6 for WB and IHC.
Proteins predicted to interact with Frizzled 6
Predicted protein interactions based upon String database. Revelancy score correlates with probability of interaction.
Wnt11 Antibodies
99.8% Relevancy Score
Wnt5a Antibodies
99.7% Relevancy Score
Wnt4 Antibodies
98.3% Relevancy Score
CELSR1 Antibodies
98.1% Relevancy Score
Wnt1 Antibodies
97.4% Relevancy Score
VANGL2 Antibodies
97% Relevancy Score
Wnt5b Antibodies
96.8% Relevancy Score
Wnt7a Antibodies
96.5% Relevancy Score
DVL1 Antibodies
96.4% Relevancy Score
Top