Primary Antibodies
Secondary Antibodies
Proteins & Peptides
ELISA Kits
About Us
Contact Us
Sign In/Register
0
ISO 9001:2015 Certified
Live Customer Support
4.5/5 on Trustpilot
100% Quality Guarantee
Home
Primary Antibodies
FZR1 Antibodies
Anti-FZR1 Antibody (A38974)
Anti-FZR1 Antibody (A38974)
Overview
Specifications
Images
Enlarge Image
Enlarge Image
Enlarge Image
$430
Rabbit polyclonal antibody to FZR1 for WB and IHC.
100% Guarantee
Price Match Guarantee
Product Size:
100µl
Quantity:
1
2
3
4
5
6
7
8
9
10
Add To Cart
Request a Quotation
Custom or Bulk Request
Shipping Information
Freight/Packing Charges:
$40
Dispatched from St. Louis, MO.
Lead Time: 6-9 business days.
Specifications
Name
Anti-FZR1 Antibody
Description
Rabbit polyclonal antibody to FZR1
Specificity
The antibody detects endogenous levels of total FZR1 protein.
Applications
WB
,
IHC
Reactivity
Human
Immunogen
Fusion protein of human FZR1
Host
Rabbit
Clonality
Polyclonal
Conjugate
Unconjugated
Purification
Antigen affinity purification.
Concentration
1 mg/ml
Formulation
Rabbit IgG in pH7.4 PBS, 0.05% NaN3, 40% Glycerol.
Storage
Store at -20˚C
Synonyms
CDC20-like protein 1, CDH1, Cdh1/Hct1 homolog, Fizzy-related protein homolog, FYR, Fzr, hCDH1, KIAA1242
Suitable Secondaries
Goat Anti-Rabbit IgG H&L Antibody (AP) (A294874)
Goat Anti-Rabbit IgG H&L Antibody (Biotin) (A294795)
Goat Anti-Rabbit IgG H&L Antibody (FITC) (A294887)
Goat Anti-Rabbit IgG H&L Antibody (HRP) (A294888)
See all Anti-Rabbit IgG Secondaries →
Disclaimer
This product is for research use only. It is not intended for diagnostic or therapeutic use.
Scientific Validation Data
Validation Data
(3)
Enlarge Image
Anti-FZR1 Antibody (A38974)
Gel: 8% SDS-PAGE Lysate: 40 μg Lane: Human placenta tissue Primary antibody: 1/400 dilution Secondary antibody: Goat anti rabbit IgG at 1/8000 dilution Exposure time: 3 minutes
Enlarge Image
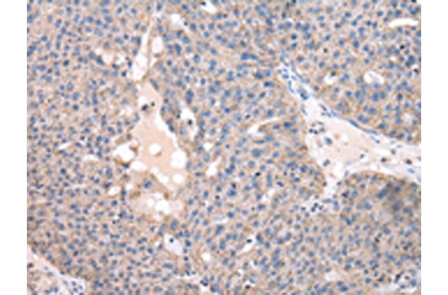
Immunohistochemistry - Anti-FZR1 Antibody (A38974)
Immunohistochemical analysis of paraffin-embedded Human breast cancer tissue using #43031 at dilution 1/20.
Enlarge Image
Immunohistochemistry - Anti-FZR1 Antibody (A38974)
Immunohistochemical analysis of paraffin-embedded Human oesophagus cancer tissue using #43031 at dilution 1/20.
Publishing research using Anti-FZR1 Antibody (A38974)? Please
let us know
so that we can list the citation on this page.
Alternative products to Anti-FZR1 Antibody (A38974)
(3)
A30983
Anti-FZR1 Antibody
Rabbit polyclonal antibody to FZR1 for WB, IHC and IF.
(3)
A39984
Anti-FZR1 Antibody
Rabbit polyclonal antibody to FZR1 for WB and IF.
(2)
A14831
Anti-FZR1 Antibody
Rabbit polyclonal antibody to FZR1 for WB and ICC/IF.
(3)
A30983
Anti-FZR1 Antibody
Rabbit polyclonal antibody to FZR1 for WB, IHC and IF.
(3)
A39984
Anti-FZR1 Antibody
Rabbit polyclonal antibody to FZR1 for WB and IF.
(2)
A14831
Anti-FZR1 Antibody
Rabbit polyclonal antibody to FZR1 for WB and ICC/IF.
Proteins predicted to interact with FZR1
Predicted protein interactions based upon String database. Revelancy score correlates with probability of interaction.
APC7 Antibodies
99.9% Relevancy Score
CDC27 Antibodies
99.9% Relevancy Score
APC5 Antibodies
99.9% Relevancy Score
APC4 Antibodies
99.9% Relevancy Score
APC6 Antibodies
99.9% Relevancy Score
PLK1 Antibodies
99.9% Relevancy Score
CDC23 Antibodies
99.9% Relevancy Score
ANAPC2 Antibodies
99.9% Relevancy Score
APC1 Antibodies
99.8% Relevancy Score
Top