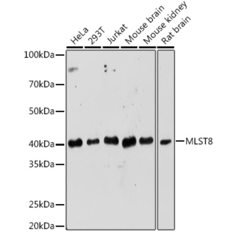
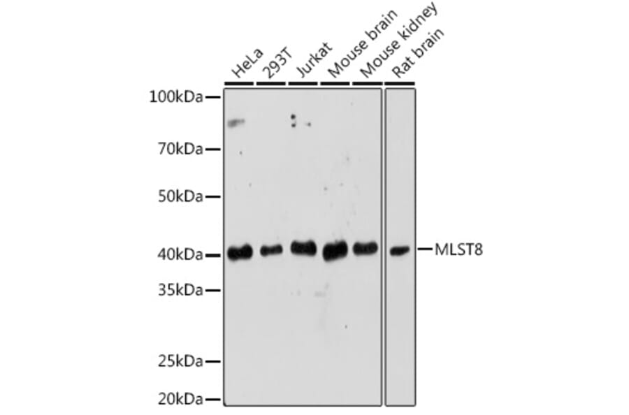
Western Blot - Anti-G protein beta subunit like/GBL Antibody (A89549)
Western blot analysis of extracts of various cell lines, using Anti-G protein beta subunit like/GBL Antibody (A89549) at 1:1,000 dilution. The secondary antibody was Goat Anti-Rabbit IgG H&L Antibody (HRP) at 1:10,000 dilution. Lysates/proteins were present at 25µg per lane. The blocking buffer used was 3% non-fat dry milk in TBST. Detection was with a ECL Enhanced Kit (RM00021). Exposure time: 180s.
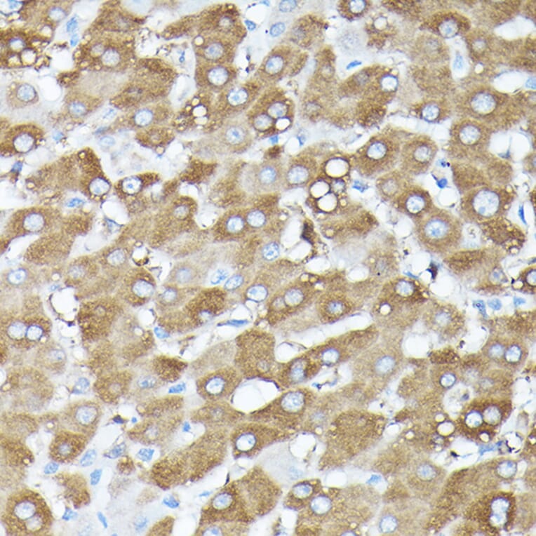
Immunohistochemistry - Anti-G protein beta subunit like/GBL Antibody (A89549)
Immunohistochemistry analysis of paraffin-embedded human liver using Anti-G protein beta subunit like/GBL Antibody (A89549) at a dilution of 1:100 (40x lens). Perform high pressure antigen retrieval with 10 mM citrate buffer pH 6.0 before commencing with IHC staining protocol.
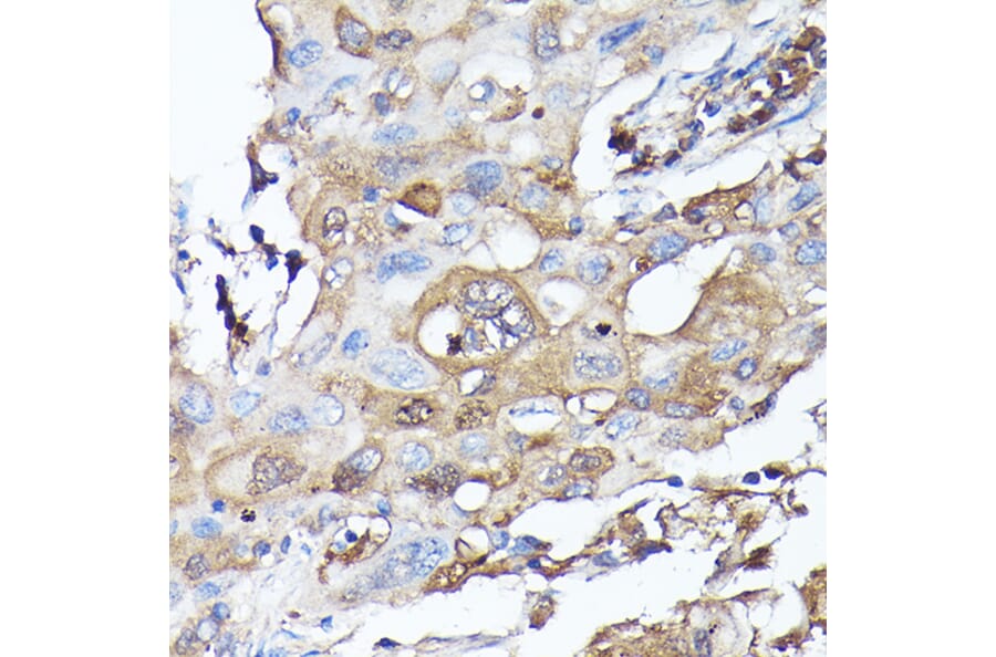
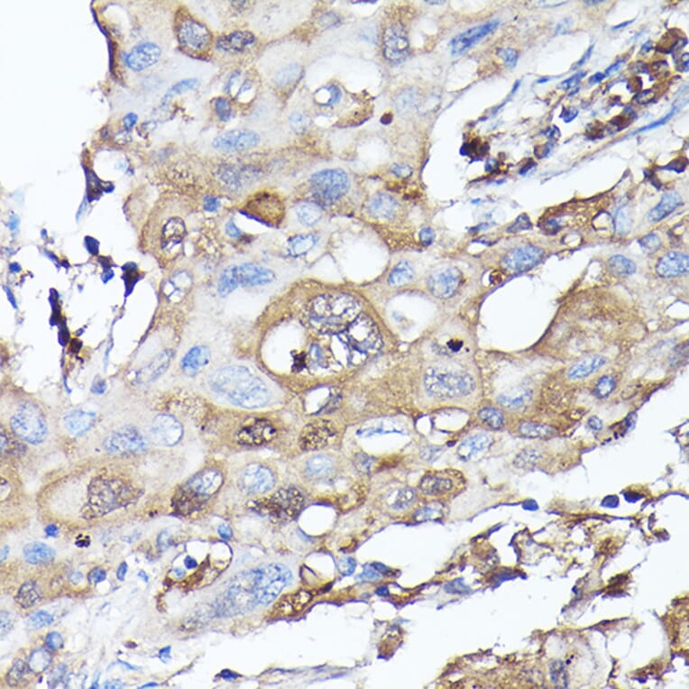
Immunohistochemistry - Anti-G protein beta subunit like/GBL Antibody (A89549)
Immunohistochemistry analysis of paraffin-embedded human lung cancer using Anti-G protein beta subunit like/GBL Antibody (A89549) at a dilution of 1:100 (40x lens). Perform high pressure antigen retrieval with 10 mM citrate buffer pH 6.0 before commencing with IHC staining protocol.
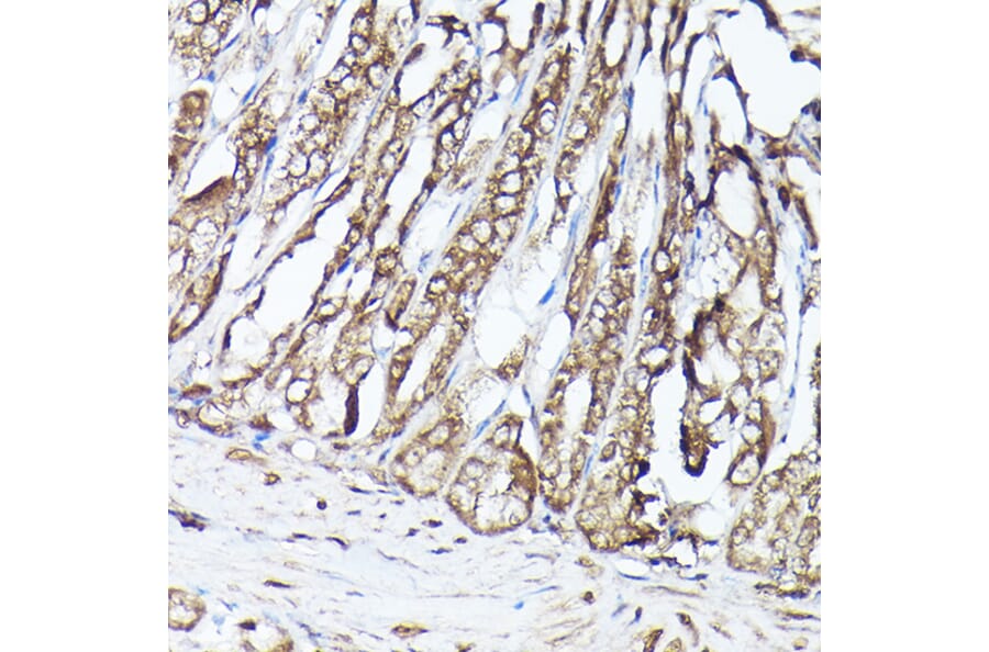
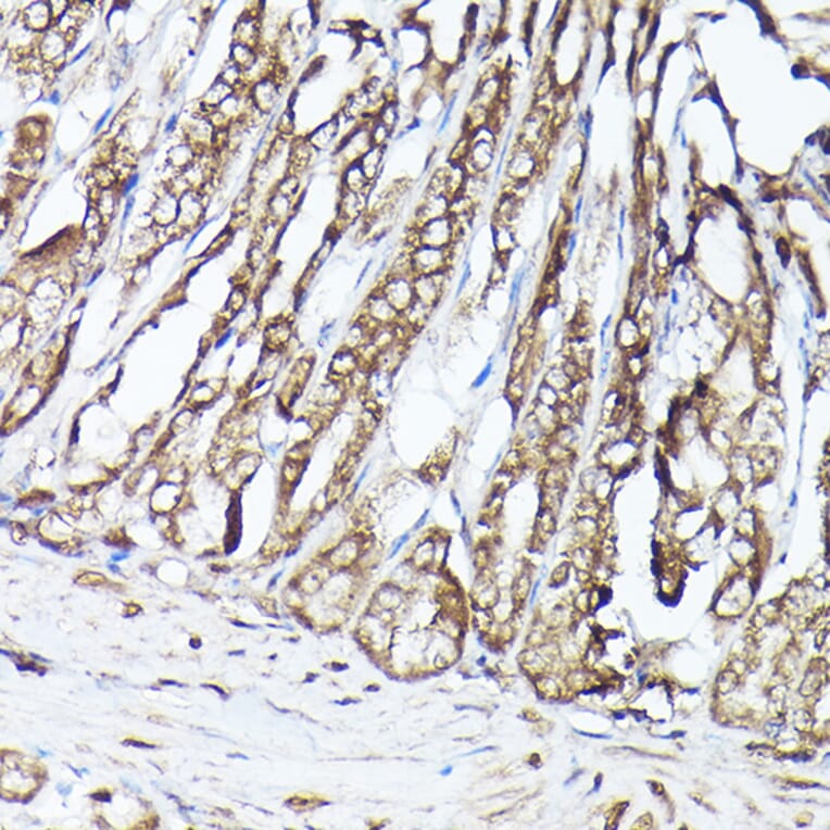
Immunohistochemistry - Anti-G protein beta subunit like/GBL Antibody (A89549)
Immunohistochemistry analysis of paraffin-embedded mouse stomach using Anti-G protein beta subunit like/GBL Antibody (A89549) at a dilution of 1:100 (40x lens). Perform high pressure antigen retrieval with 10 mM citrate buffer pH 6.0 before commencing with IHC staining protocol.
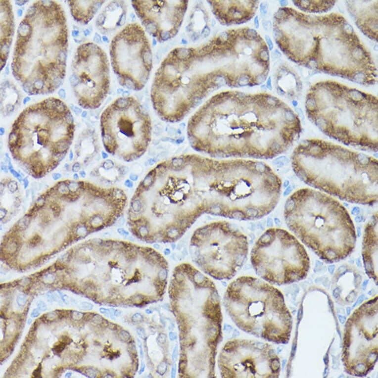
Immunohistochemistry - Anti-G protein beta subunit like/GBL Antibody (A89549)
Immunohistochemistry analysis of paraffin-embedded rat kidney using Anti-G protein beta subunit like/GBL Antibody (A89549) at a dilution of 1:100 (40x lens). Perform high pressure antigen retrieval with 10 mM citrate buffer pH 6.0 before commencing with IHC staining protocol.