ISO 9001:2015 Certified
Live Customer Support
4.5/5 on Trustpilot
100% Quality Guarantee

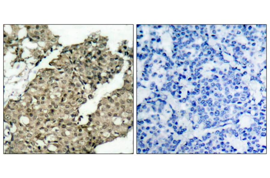
Anti-G3BP-1 (Phospho-Ser232) Antibody (A50160)

$290

Rabbit polyclonal antibody to G3BP-1 (Phospho-Ser232) for WB, IHC and IF.

Shipping Information

$40
Dispatched from St. Louis, MO.
Lead Time: 6-9 business days.
Name
Anti-G3BP-1 (Phospho-Ser232) Antibody
Description
Rabbit polyclonal antibody to G3BP-1 (Phospho-Ser232)
Specificity
The antibody detects endogenous level of G3BP-1 only when phosphorylated at serine 232.
Applications
WB, IHC, IF
Reactivity
Human
Immunogen
Peptide sequence around phosphorylation site of serine 232 (S-S-S(p)-P-A) derived from Human G3BP-1.
Host
Rabbit
Clonality
Polyclonal
Conjugate

Unconjugated

Purification
Antibodies were produced by immunizing rabbits with synthetic phosphopeptide and KLH conjugates. Antibodies were purified by affinity-chromatography using epitope-specific phosphopeptide. Non-phospho specific antibodies were removed by chromatogramphy using non-phosphopeptide.
Concentration
1 mg/ml
Formulation
Supplied at 1.0mg / mL in phosphate buffered saline (without Mg2+ and Ca2+), pH 7.4, 150mM NaCl, 0.02% sodium azide and 50% glycerol.
Storage
Store at -20°C for long term preservation (recommended). Store at 4°C for short term use.
Synonyms
ATP-dependent DNA helicase VIII, G3BP, GAP SH3 domain-binding protein 1, hDH VIII, Ras GTPase-activating protein-binding protein 1
Disclaimer
This product is for research use only. It is not intended for diagnostic or therapeutic use.
Publishing research using Anti-G3BP-1 (Phospho-Ser232) Antibody (A50160)? Please let us know so that we can list the citation on this page.

Alternative products to Anti-G3BP-1 (Phospho-Ser232) Antibody (A50160)

Proteins predicted to interact with G3BP1

Predicted protein interactions based upon String database. Revelancy score correlates with probability of interaction.
99.9% Relevancy Score
99.9% Relevancy Score
99.8% Relevancy Score
99.6% Relevancy Score
99.5% Relevancy Score
99.4% Relevancy Score
99.1% Relevancy Score
98.7% Relevancy Score
98.3% Relevancy Score