ISO 9001:2015 Certified
Live Customer Support
4.5/5 on Trustpilot
100% Quality Guarantee

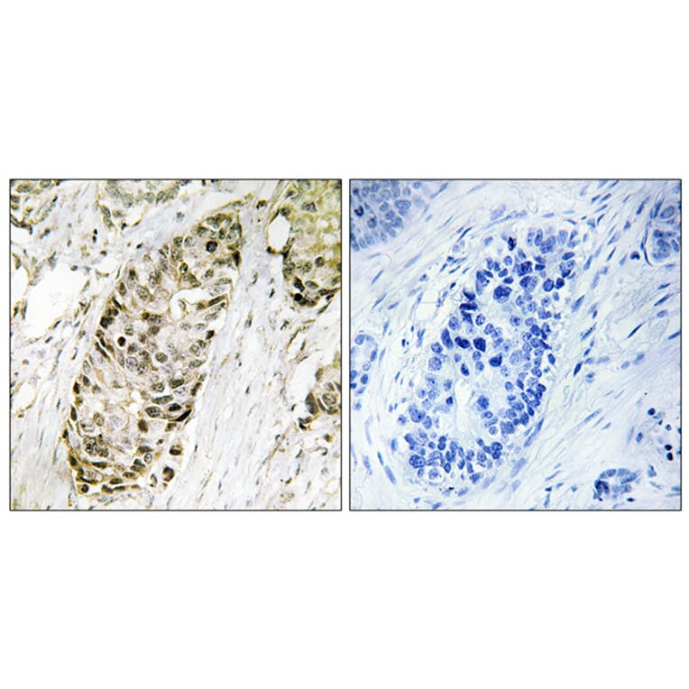
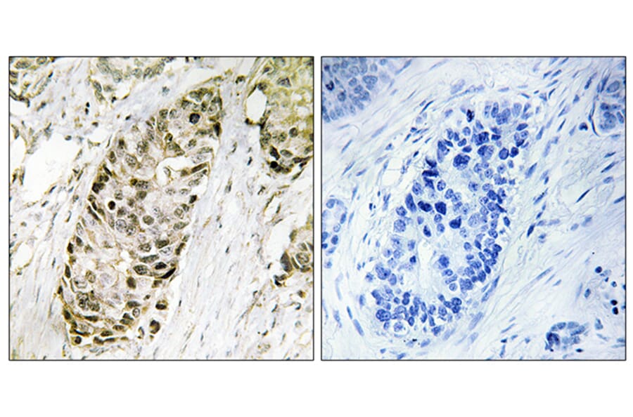
Anti-GA45G Antibody (A95878)

Rabbit polyclonal antibody to GA45G for WB, IHC, IF and ELISA.

Shipping Information

$40
Dispatched from St. Louis, MO.
Lead Time: 6-8 business days.
Name
Anti-GA45G Antibody
Description
Rabbit polyclonal antibody to GA45G.
Applications
WB, IHC, IF, ELISA
Dilutions
IHC: 1:50~1:100, IF: 1:100~1:500, ELISA: 1:1000
Reactivity
Human, Mouse, Rat
Cross Reactivity
No reported cross-reactivity.
Immunogen
Synthetic peptide derived from human GA45G (amino acids 101-150).
Host
Rabbit
Clonality
Polyclonal
Isotype
IgG
Conjugate

Unconjugated

Purification
Purified from rabbit serum by antigen affinity chromatography using the immunizing peptide.
Molecular Weight
17kDa
Product Form
Liquid
Formulation
Supplied in Phosphate Buffered Saline (without Mg2+ and Ca2+), pH 7.4, with 150mM NaCl, 0.02% Sodium Azide, and 50% Glycerol.
Storage
Shipped at 4°C. Upon delivery aliquot and store at -20°C. Avoid freeze / thaw cycles.
Synonyms
CR6, Cytokine-responsive protein CR6, DDIT-2, DDIT2, DNA damage-inducible transcript 2 protein, Growth arrest and DNA damage-inducible protein GADD45 gamma
Disclaimer
This product is for research use only. It is not intended for diagnostic or therapeutic use.
Publishing research using Anti-GA45G Antibody (A95878)? Please let us know so that we can list the citation on this page.

Alternative products to Anti-GA45G Antibody (A95878)

Proteins predicted to interact with GADD45G

Predicted protein interactions based upon String database. Revelancy score correlates with probability of interaction.
99.7% Relevancy Score
98.6% Relevancy Score
98.2% Relevancy Score
97.1% Relevancy Score
96% Relevancy Score
95.9% Relevancy Score
95.5% Relevancy Score
93.7% Relevancy Score
92.1% Relevancy Score