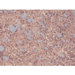
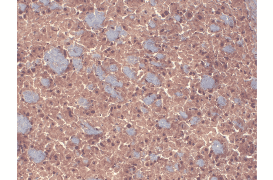
Immunohistochemistry analysis of mouse brain, fixed in 10% formalin solution for 12-24 hours at room temperature. The Primary Antibody used was Anti-GABA A Receptor beta 3 / GABRB3 Antibody [N87/25] (A304762) at 1:1,000 for 1 hour at room temperature. The secondary antibody used was HRP/DAB Detection System: Biotinylated Goat Anti-Mouse, Streptavidin Peroxidase, DAB Chromogen (brown) for 30 minutes at room temperature. Counterstain: Mayer Hematoxylin (purple/blue) nuclear stain at 250-500 µl for 5 minutes at room temperature.
Western Blot - Anti-GABA A Receptor beta 3 / GABRB3 Antibody [N87/25] (A304762)
Western blot analysis of rat brain membrane lysate showing detection of GABA A Receptor protein using Anti-GABA A Receptor beta 3 / GABRB3 Antibody [N87/25] (A304762) at 1:1,000 for 2 hours at room temperature. Load: 15 µg. Block: 1.5% BSA for 30 minutes at room temperature. The secondary antibody used was Sheep Anti-Mouse IgG: HRP for 1 hour at room temperature.
Immunocytochemistry/Immunofluorescence analysis of human neuroblastoma cells (SH-SY5Y), fixed in 4% PFA for 15 min, using Anti-GABA A Receptor beta 3 / GABRB3 Antibody [N87/25] (A304762), at 1:100 for overnight at 4°C with slow rocking. The secondary antibody used was AlexaFluor 488 at 1:1,000 for 1 hour at room temperature. Counterstain: Phalloidin-iFluor 647 (red) F-Actin stain; Hoechst (blue) nuclear stain at 1:800, 1.6mM for 20 minutes at room temperature.(A) Hoechst (blue) nuclear stain. (B) Phalloidin-iFluor 647 (red) F-Actin stain. (C) GABA-A Receptor Beta 3 Antibody (D) Composite.
Publishing research using Anti-GABA A Receptor beta 3 / GABRB3 Antibody [N87/25] (A304762)? Please let us know so that we can list the citation on this page.