ISO 9001:2015 Certified
Live Customer Support
4.5/5 on Trustpilot
100% Quality Guarantee

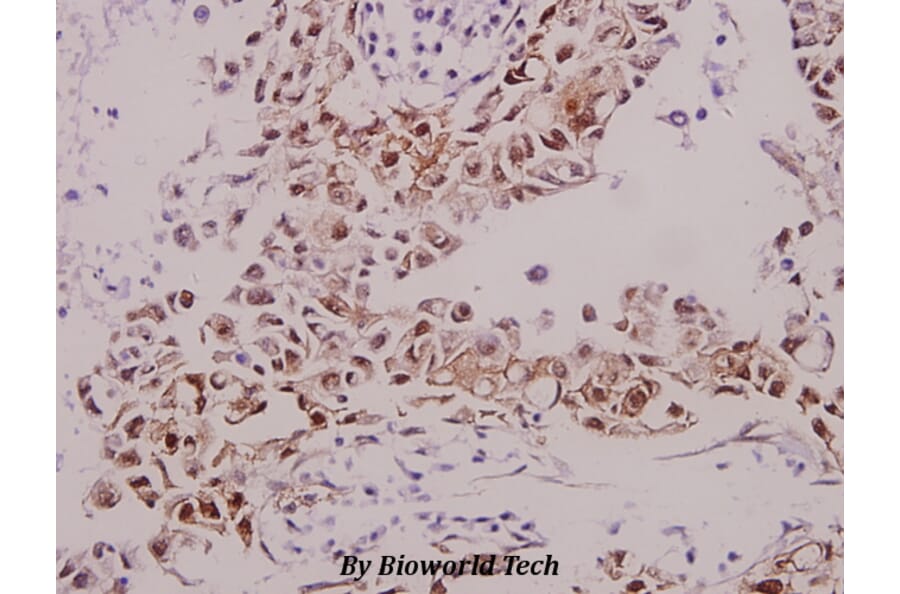
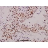
Anti-GABAA Rβ1 (phospho-S434) Antibody (A27360)

$390

Rabbit polyclonal antibody to GABAA Rβ1 (phospho-S434) for WB and IHC.

Shipping Information

$40
Dispatched from St. Louis, MO.
Lead Time: 7-10 business days.
Name
Anti-GABAA Rβ1 (phospho-S434) Antibody
Description
Rabbit polyclonal antibody to GABAA Rβ1 (phospho-S434)
Specificity
p-GABAA Rβ1 (S434) pAb detects endogenous levels of GABAA Rβ1 protein when phosphorylated at Ser434.
Applications
WB, IHC
Reactivity
Human, Mouse, Rat
Immunogen
Synthetic phosphopeptide derived from human GABAA Rβ1 around the phosphorylation site of Serine 434.
Host
Rabbit
Clonality
Polyclonal
Conjugate

Unconjugated

Molecular Weight
~ 54 kDa
Purity
The antibody was affinity-purified from rabbit antiserum by affinity-chromatography using epitope-specific immunogen and the purity is > 95% (by SDS-PAGE).
Product Form
1 mg/ml in Phosphate buffered saline (PBS) with 0.05% sodium azide, approx. pH 7.2.
Disclaimer
This product is for research use only. It is not intended for diagnostic or therapeutic use.
Publishing research using Anti-GABAA Rβ1 (phospho-S434) Antibody (A27360)? Please let us know so that we can list the citation on this page.