ISO 9001:2015 Certified
Live Customer Support
4.5/5 on Trustpilot
100% Quality Guarantee

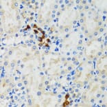
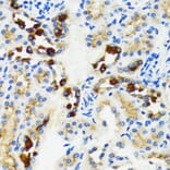
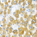
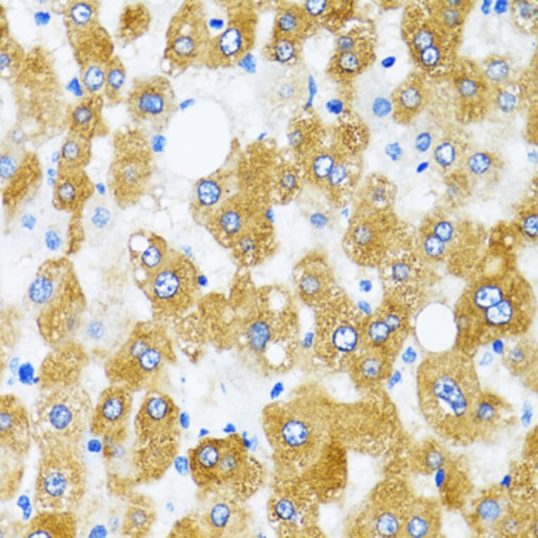
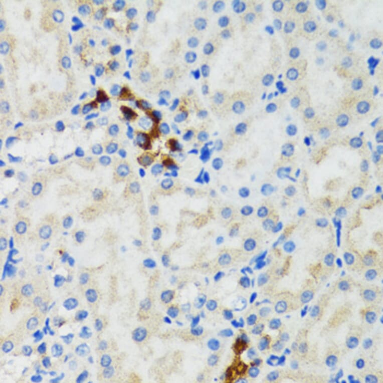
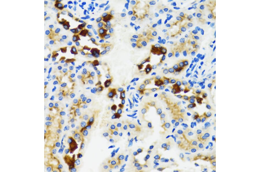
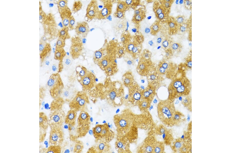
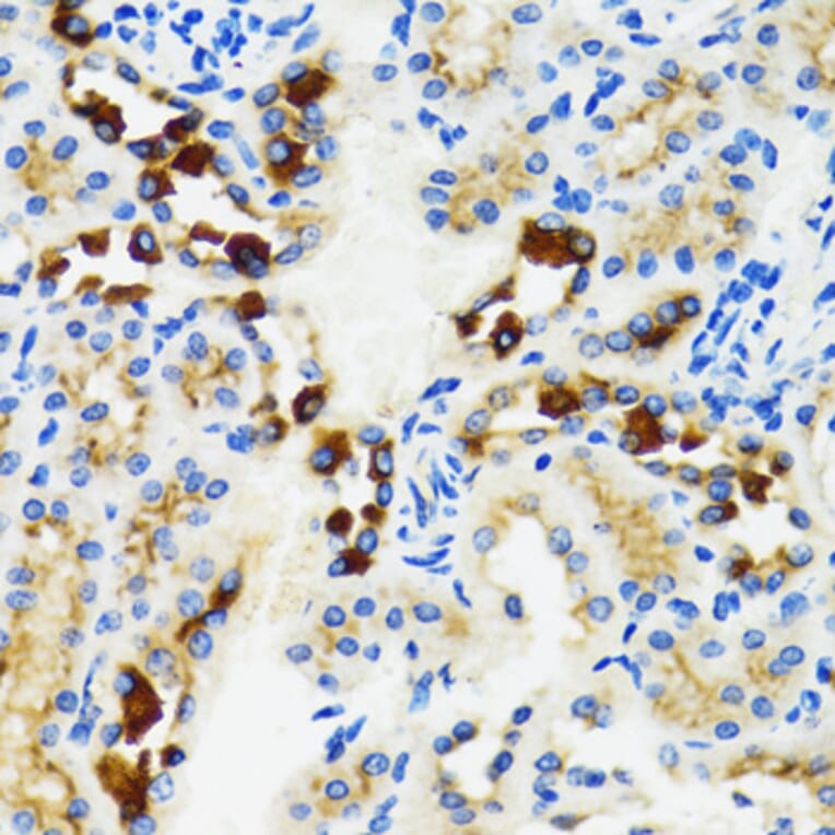
Anti-GABARAP Antibody (A88277)

Rabbit polyclonal antibody to GABARAP for WB and IHC.

Shipping Information

$40
Dispatched from St. Louis, MO.
Lead Time: 7-10 business days.
Name
Anti-GABARAP Antibody
Description
Rabbit polyclonal antibody to GABARAP.
Applications
WB, IHC
Dilutions
WB: 1:500-1:2,000, IHC: 1:50-1:200
Reactivity
Human, Mouse, Rat
Immunogen
A synthetic peptide corresponding to a sequence within amino acids 1-100 of human GABARAP (NP_009209.1).
Sequence
MKFVYKEEHPFEKRRSEGEKIRKKYPDRVPVIVEKAPKARIGDLDKKKYLVPSDLTVGQFYFLIRKRIHLRAEDALFFFVNNVIPPTSATMGQLYQEHHE
Host
Rabbit
Clonality
Polyclonal
Isotype
IgG
Conjugate

Unconjugated

Purification
Affinity purification.
Concentration
Lot Specific
Molecular Weight
14 kDa
Product Form
Liquid
Formulation
Supplied in Phosphate Buffered Saline, pH 7.3, with 50% Glycerol and 0.02% Sodium Azide.
Storage
Shipped at 4°C. Upon delivery aliquot and store at -20°C. Avoid freeze/thaw cycles.
Synonyms
FLC3B, GABA(A) receptor-associated protein, Gamma-aminobutyric acid receptor-associated protein, MM46
Disclaimer
This product is for research use only. It is not intended for diagnostic or therapeutic use.
Publishing research using Anti-GABARAP Antibody (A88277)? Please let us know so that we can list the citation on this page.

Alternative products to Anti-GABARAP Antibody (A88277)

Proteins predicted to interact with GABARAP

Predicted protein interactions based upon String database. Revelancy score correlates with probability of interaction.
99.9% Relevancy Score
99.9% Relevancy Score
99.9% Relevancy Score
99.9% Relevancy Score
99.9% Relevancy Score
99.9% Relevancy Score
99.9% Relevancy Score
99.9% Relevancy Score
99.9% Relevancy Score