Immunofluorescent analysis of cortical neuron-glial cell culture from E20 rat stained with Anti-Galectin 3 Antibody (A104321), at a dilution of 1:2,000, in green, and co-stained with Anti-GFAP Antibody [5C10] (A85422), at a dilution of 1:2,000, in red. The blue is Hoechst staining of nuclear DNA. Certain glial cells express Galectin 3 protein and so appear green, while the majority of glial cells and astrocytes produce GFAP protein and so appear red, and a few cells that express both proteins appear orange-yellow.
Immunofluorescent analysis of cortical neuron-glial cell culture from E20 rat stained with Anti-Galectin 3 Antibody (A104321), at a dilution of 1:2,000, in green, and co-stained with Anti-MAP2 Antibody [4H5] (A85297), at a dilution of 1:2,000, in red. The blue is Hoechst staining of nuclear DNA. Anti-Galectin 3 Antibody (A104321) produces strong staining of certain glial cells, while Anti-MAP2 Antibody [4H5] (A85297) labels dendrites and perikarya of mature neurons.
Western blot analysis of different tissue and cell lysates using Anti-Galectin 3 Antibody (A104321), at a dilution of 1:5,000, in green. The lanes contain: [Lane 1] protein standard, [Lane 2] mouse heart lysate, [Lane 3] mouse liver lysate, [Lane 4] mouse kidney lysate, [Lane 5] mouse lung lysate, [Lane 6] rat cortical neuron-glial primary cell culture lysate, and [Lane 7] pig spinal cord lysate. The band at about 30kDa corresponds to the Galectin 3 protein.
Immunofluorescent analysis of cortical neuron-glial cell culture from E20 rat stained with Anti-Galectin 3 Antibody (A104321) at a dilution of 1:2,000 (green) and costained with Anti-MAP2 Antibody [4H5] (A85297) at a dilution of 1:2,000 (red). Nuclei were stained with Hoechst (blue). Anti-Galectin 3 Antibody (A104321) antibody produces strong staining of certain glial cells, while Anti-MAP2 Antibody antibody labels dendrites and perikarya of mature neurons.
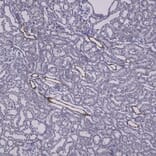
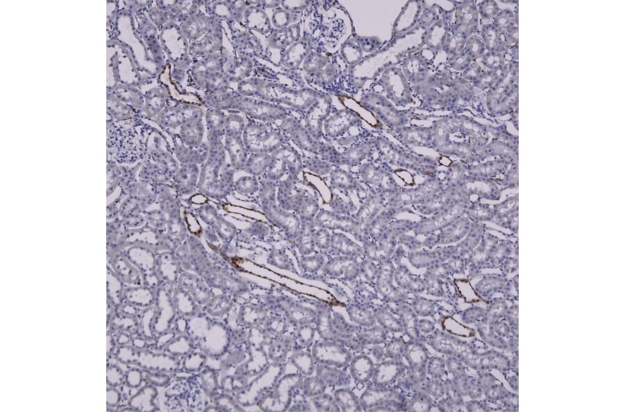
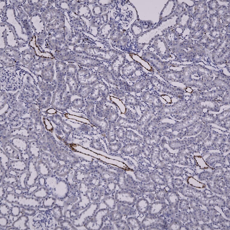
Immunohistochemistry analysis of a 4% formalin fixed paraffin embedded rat kidney section with Anti-Galectin 3 Antibody (A104321) at a dilution of 1:4,000. Anti-Galectin 3 Antibody (A104321) specifically labels collecting ducts and distal tubules. Note: this antibody performs well in testing with both 4% PFA and standard NBF fixed, rat, mouse and human tissues.
Recombinant human monoclonal antibody to Galectin 3 for use as a research grade Oloctinebart biosimi for ELISA, Flow Cytometry, Functional Studies and in vivo Research.
Recombinant human monoclonal antibody to Galectin 3 for use as a research grade TB006 biosimilar for ELISA, Flow Cytometry, Functional Studies and in vivo Research.
Recombinant human monoclonal antibody to Galectin 3 for use as a research grade Oloctinebart biosimi for ELISA, Flow Cytometry, Functional Studies and in vivo Research.
Recombinant human monoclonal antibody to Galectin 3 for use as a research grade TB006 biosimilar for ELISA, Flow Cytometry, Functional Studies and in vivo Research.