ISO 9001:2015 Certified
Live Customer Support
4.5/5 on Trustpilot
100% Quality Guarantee

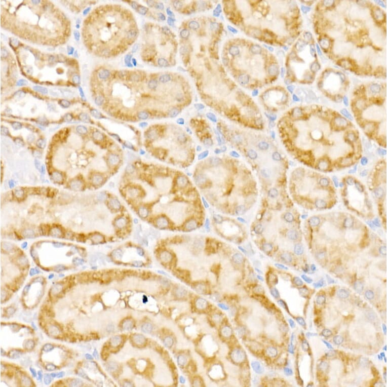
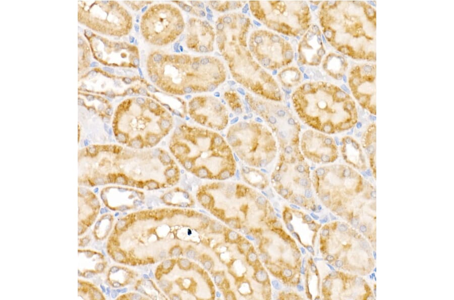
Anti-GALNT2 Antibody (A15424)

Rabbit polyclonal antibody to GALNT2 for WB, IHC and ICC/IF.

Shipping Information

$40
Dispatched from St. Louis, MO.
Lead Time: 7-10 business days.
Name
Anti-GALNT2 Antibody
Description
Rabbit polyclonal antibody to GALNT2.
Applications
WB, IHC, ICC/IF
Dilutions
WB: 1:500-1:2,000, ICC/IF: 1:50-1:100, IHC: 1:100-1:500
Reactivity
Human, Mouse, Rat
Immunogen
Recombinant fusion protein containing a sequence corresponding to amino acids 442-571 of human GALNT2 (NP_004472.1).
Sequence
HQDIAFGALQQGTNCLDTLGHFADGVVGVYECHNAGGNQEWALTKEKSVKHMDLCLTVVDRAPGSLIKLQGCRENDSRQKWEQIEGNSKLRHVGSNLCLDSRTAKSGGLSVEVCGPALSQQWKFTLNLQQ
Host
Rabbit
Clonality
Polyclonal
Isotype
IgG
Conjugate

Unconjugated

Purification
Affinity purification.
Concentration
Lot Specific
Molecular Weight
65 kDa
Product Form
Liquid
Formulation
Supplied in Phosphate Buffered Saline, pH 7.3, with 50% Glycerol and 0.02% Sodium Azide.
Storage
Shipped at 4°C. Upon delivery aliquot and store at -20°C. Avoid freeze/thaw cycles.
Synonyms
GalNAc-T2, Polypeptide GalNAc transferase 2, Polypeptide N-acetylgalactosaminyltransferase 2, pp-GaNTase 2, Protein-UDP acetylgalactosaminyltransferase 2, UDP-GalNAc:polypeptide N-acetylgalactosaminyltransferase 2
Disclaimer
This product is for research use only. It is not intended for diagnostic or therapeutic use.
Publishing research using Anti-GALNT2 Antibody (A15424)? Please let us know so that we can list the citation on this page.

Alternative products to Anti-GALNT2 Antibody (A15424)

Proteins predicted to interact with GALNT2

Predicted protein interactions based upon String database. Revelancy score correlates with probability of interaction.
93.7% Relevancy Score
90.7% Relevancy Score
84.5% Relevancy Score
81.5% Relevancy Score
76.8% Relevancy Score
70.5% Relevancy Score
70% Relevancy Score
67.9% Relevancy Score
66.7% Relevancy Score