Synthetic peptide around Serine 140 of human gamma Histone H2A.X (NP_002096. 1).
Host
Rabbit
Clonality
Polyclonal
Isotype
IgG
Conjugate
Unconjugated
Purification
Antigen affinity purification.
Concentration
1 mg/ml
Product Form
Liquid
Formulation
Supplied in Tris-Citrate/Phosphate Buffer, pH 7-8, with 0.09% Sodium Azide.
Storage
Shipped at 4°C. Upon delivery aliquot and store at -20°C. Avoid freeze/thaw cycles.
General Notes
This antibody was affinity purified using the immunising peptide immobilized on solid support. Immunoglobulin concentration was determined by extinction coefficient: absorbance at 280 nm of 1. 4 equals 1.0 mg of IgG.
Sample: FFPE section of mouse renal cell carcinoma. Antibody: Anti-gamma Histone H2A.X Antibody (A295244) was used at a dilution of 1:1,000 (1 µg/ml). Detection: DAB.
Western Blot - Anti-gamma Histone H2A.X Antibody (A295244)
Samples: Whole cell lysate (10 µg) from Jurkat cells treated with 100 µM etoposide (+) or mock treated (-). Antibody: Anti-gamma Histone H2A.X Antibody (A295244) was used for WB at 0.04 µg/ml. Detection: Chemiluminescence with an exposure time of 3 seconds. Lower Panel: Rabbit anti-H2A.X recombinant monoclonal antibody.
Samples: Neocarzinostatin treated asynchronous HeLa cells (left) and untreated asynchronous HeLa cells (right). Antibody: Anti-gamma Histone H2A.X Antibody (A295244) was used at a dilution of 1:5,000 (0.2 µg/ml). Detection: Red fluorescent Anti-rabbit IgG-DyLight® 594 conjugated used at a dilution of 1:100.
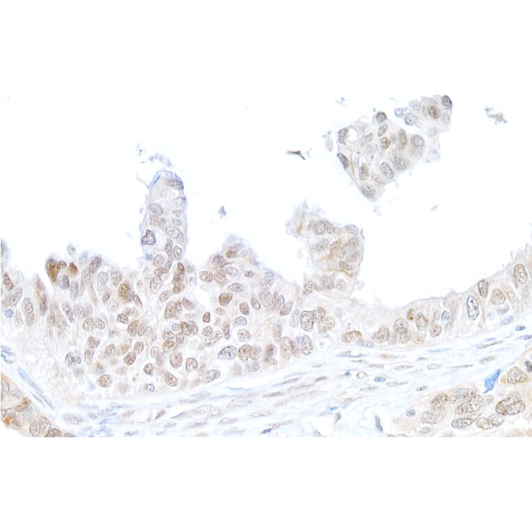
Sample: FFPE section of human ovarian carcinoma. Antibody: Anti-gamma Histone H2A.X Antibody (A295244) was used at a dilution of 1:5,000 (0.2 µg/ml). Detection: DAB.
Western Blot - Anti-gamma Histone H2A.X Antibody (A295244)
Samples: Whole cell lysate (10 µg) from NIH 3T3 cells prepared using NETN lysis buffer. Antibody: Anti-gamma Histone H2A.X Antibody (A295244) was used for WB at 0.04 µg/ml. Detection: Chemiluminescence with an exposure time of 3 seconds. Lower Panel: Rabbit anti-GAPDH recombinant monoclonal antibody.