ISO 9001:2015 Certified
Live Customer Support
4.5/5 on Trustpilot
100% Quality Guarantee

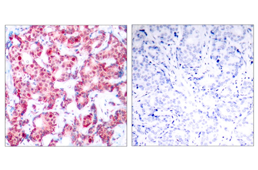
Anti-GATA1 (phospho Ser142) Antibody (A93498)

Rabbit polyclonal antibody to GATA1 (phospho Ser142) for WB, IHC, IF, IP and ELISA.

Shipping Information

$40
Dispatched from St. Louis, MO.
Lead Time: 6-8 business days.
Name
Anti-GATA1 (phospho Ser142) Antibody
Description
Rabbit polyclonal antibody to GATA1 (phospho Ser142).
Specificity
This antibody detects endogenous levels of GATA1 only when phosphorylated at Ser142.
Applications
WB, IHC, IF, IP, ELISA
Dilutions
WB: 1:500~1:1000, ELISA: 1:20000
Reactivity
Human, Mouse, Rat
Cross Reactivity
No reported cross-reactivity.
Immunogen
Synthetic peptide derived from human GATA1 around the phosphorylation site of Ser142 (amino acids 109-158).
Host
Rabbit
Clonality
Polyclonal
Isotype
IgG
Conjugate

Unconjugated

Purification
Purified from rabbit serum by antigen affinity chromatography using the immunizing phospho peptide.
Molecular Weight
42kDa
Product Form
Liquid
Formulation
Supplied in Phosphate Buffered Saline (without Mg2+ and Ca2+), pH 7.4, with 150mM NaCl, 0.02% Sodium Azide, and 50% Glycerol.
Storage
Shipped at 4°C. Upon delivery aliquot and store at -20°C. Avoid freeze / thaw cycles.
Synonyms
ERYF1, Erythroid transcription factor, GATA-1, GATA-binding factor 1, GF-1, GF1, NF-E1 DNA-binding protein
Disclaimer
This product is for research use only. It is not intended for diagnostic or therapeutic use.
Publishing research using Anti-GATA1 (phospho Ser142) Antibody (A93498)? Please let us know so that we can list the citation on this page.

Alternative products to Anti-GATA1 (phospho Ser142) Antibody (A93498)

Proteins predicted to interact with GATA1

Predicted protein interactions based upon String database. Revelancy score correlates with probability of interaction.
99.9% Relevancy Score
99.9% Relevancy Score
99.8% Relevancy Score
99.7% Relevancy Score
99.6% Relevancy Score
99.5% Relevancy Score
99.5% Relevancy Score
98.9% Relevancy Score
98.6% Relevancy Score