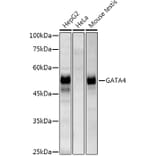
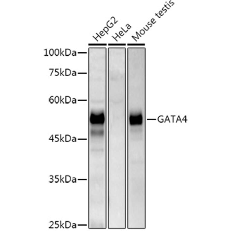
Western Blot - Anti-GATA4 Antibody [ARC51718] (A305425)
Western blot analysis of extracts of various cell lines, using Anti-GATA4 Antibody [ARC51718] (A305425) at 1:1,000 dilution. The secondary antibody was Goat Anti-Rabbit IgG H&L Antibody (HRP) at 1:10,000 dilution. Lysates/proteins were present at 25µg per lane. The blocking buffer used was 3% non-fat dry milk in TBST. Detection was with a ECL Basic Kit. Exposure time: 180s.
Western Blot - Anti-GATA4 Antibody [ARC51718] (A305425)
Western blot analysis of extracts of Rat liver, using Anti-GATA4 Antibody [ARC51718] (A305425) at 1:1,000 dilution. The secondary antibody was Goat Anti-Rabbit IgG H&L Antibody (HRP) at 1:10,000 dilution. Lysates/proteins were present at 25µg per lane. The blocking buffer used was 3% non-fat dry milk in TBST. Detection was with a ECL Enhanced Kit (RM00021). Exposure time: 90s.
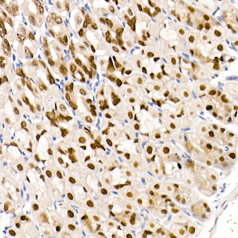
Immunohistochemistry analysis of paraffin-embedded mouse pancreas using Anti-GATA4 Antibody [ARC51718] (A305425) at a dilution of 1:500(40x lens). Perform high pressure antigen retrieval with 10 mM citrate buffer pH 6.0 before commencing with IHC staining protocol.
Immunohistochemistry analysis of paraffin-embedded mouse stomach using Anti-GATA4 Antibody [ARC51718] (A305425) at a dilution of 1:500(40x lens). Perform high pressure antigen retrieval with 10 mM citrate buffer pH 6.0 before commencing with IHC staining protocol.
Immunohistochemistry analysis of paraffin-embedded rat pancreas using Anti-GATA4 Antibody [ARC51718] (A305425) at a dilution of 1:500(40x lens). Perform high pressure antigen retrieval with 10 mM citrate buffer pH 6.0 before commencing with IHC staining protocol.
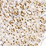
Immunohistochemistry analysis of paraffin-embedded rat stomach using Anti-GATA4 Antibody [ARC51718] (A305425) at a dilution of 1:500(40x lens). Perform high pressure antigen retrieval with 10 mM citrate buffer pH 6.0 before commencing with IHC staining protocol.