ISO 9001:2015 Certified
Live Customer Support
4.5/5 on Trustpilot
100% Quality Guarantee

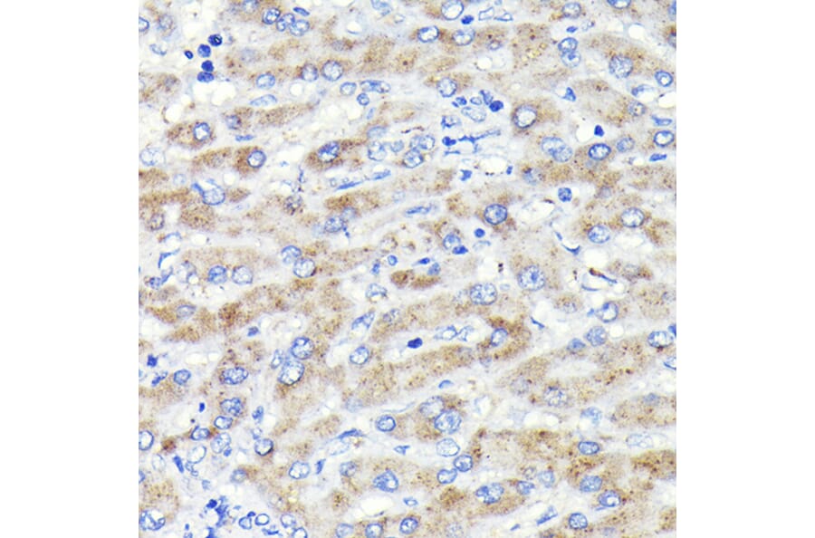
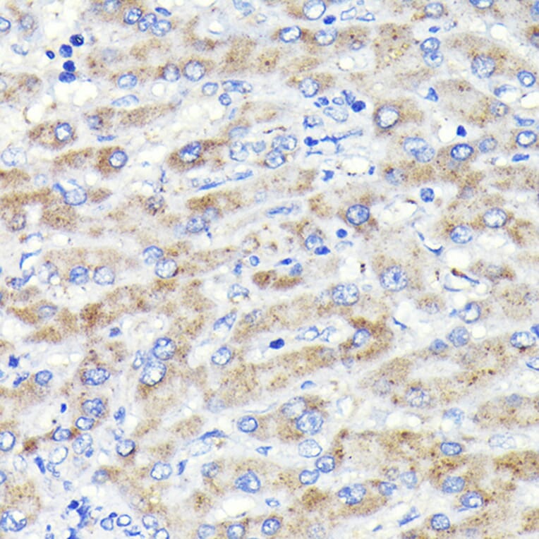
Anti-GBA Antibody [ARC0500] (A309031)

Rabbit monoclonal [ARC0500] antibody to GBA for WB and IHC.

Shipping Information

$40
Dispatched from St. Louis, MO.
Lead Time: 7-10 business days.
Name
Anti-GBA Antibody [ARC0500]
Description
Rabbit monoclonal [ARC0500] antibody to GBA.
Applications
WB, IHC
Dilutions
WB: 1:500-1:2,000, IHC: 1:50-1:200
Reactivity
Human, Rat
Immunogen
A synthetic peptide corresponding to a sequence within amino acids 437-536 of human Glucosylceramidase beta (GBA) (P04062).
Sequence
VDSPIIVDITKDTFYKQPMFYHLGHFSKFIPEGSQRVGLVASQKNDLDAVALMHPDGSAVVVVLNRSSKDVPLTIKDPAVGFLETISPGYSIHTYLWRRQ
Host
Rabbit
Clonality
Monoclonal
Clone ID
ARC0500
Isotype
IgG
Conjugate

Unconjugated

Purification
Affinity purification.
Concentration
Lot Specific
Molecular Weight
60 kDa
Product Form
Liquid
Formulation
Supplied in Phosphate Buffered Saline, pH 7.3, with 50% Glycerol, 0.05% BSA, and 0.02% Sodium Azide.
Storage
Shipped at 4°C. Upon delivery aliquot and store at -20°C. Avoid freeze/thaw cycles.
Synonyms
Acid beta-glucosidase, Alglucerase, Beta-GC, Beta-glucocerebrosidase, Beta-glucosylceramidase 1, Cholesterol glucosyltransferase, GBA1, GC, GLUC, Lysosomal acid GCase, Lysosomal acid glucosylceramidase, SGTase
Disclaimer
This product is for research use only. It is not intended for diagnostic or therapeutic use.
Publishing research using Anti-GBA Antibody [ARC0500] (A309031)? Please let us know so that we can list the citation on this page.

Alternative products to Anti-GBA Antibody [ARC0500] (A309031)

Proteins predicted to interact with GBA

Predicted protein interactions based upon String database. Revelancy score correlates with probability of interaction.
99.1% Relevancy Score
99% Relevancy Score
98% Relevancy Score
97.9% Relevancy Score
97.8% Relevancy Score
97.6% Relevancy Score
97.6% Relevancy Score
96.3% Relevancy Score