ISO 9001:2015 Certified
Live Customer Support
4.5/5 on Trustpilot
100% Quality Guarantee

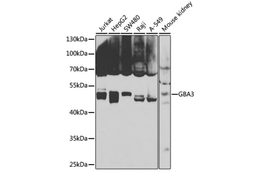
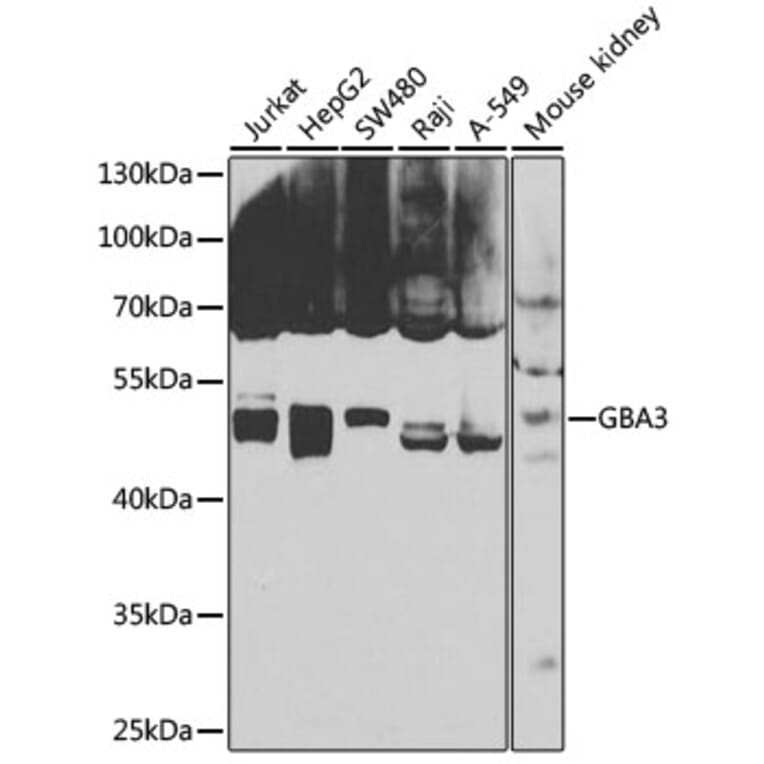
Anti-GBA3 Antibody (A12174)

Rabbit polyclonal antibody to GBA3 for WB and ICC/IF.

Shipping Information

$40
Dispatched from St. Louis, MO.
Lead Time: 7-10 business days.
Name
Anti-GBA3 Antibody
Description
Rabbit polyclonal antibody to GBA3.
Applications
WB, ICC/IF
Dilutions
WB: 1:500-1:2,000, ICC/IF: 1:50-1:100
Reactivity
Human, Mouse
Immunogen
Recombinant fusion protein containing a sequence corresponding to amino acids 1-162 of human GBA3 (NP_001121904.1).
Sequence
MAFPAGFGWAAATAAYQVEGGWDADGKGPCVWDTFTHQGGERVFKNQTGDVACGSYTLWEEDLKCIKQLGLTHYRFSLSWSRLLPDGTTGFINQKAIQLDKVNLQVYCAWSLLDNFEWNQGYSSRFGLFHVDFEDPARPRVPYTSAKEYAKIIRNNGLEAHL
Host
Rabbit
Clonality
Polyclonal
Isotype
IgG
Conjugate

Unconjugated

Purification
Affinity purification.
Concentration
Lot Specific
Molecular Weight
54 kDa
Product Form
Liquid
Formulation
Supplied in Phosphate Buffered Saline, pH 7.3, with 50% Glycerol and 0.02% Sodium Azide.
Storage
Shipped at 4°C. Upon delivery aliquot and store at -20°C. Avoid freeze/thaw cycles.
Synonyms
CBG, CBGL1, Cytosolic beta-glucosidase, Cytosolic beta-glucosidase-like protein 1, Cytosolic galactosylceramidase, Cytosolic GCase, Cytosolic glucosylceramidase, Cytosolic glycosylceramidase, Glucosidase beta acid 3
Disclaimer
This product is for research use only. It is not intended for diagnostic or therapeutic use.
Publishing research using Anti-GBA3 Antibody (A12174)? Please let us know so that we can list the citation on this page.

Alternative products to Anti-GBA3 Antibody (A12174)