ISO 9001:2015 Certified
Live Customer Support
4.5/5 on Trustpilot
100% Quality Guarantee

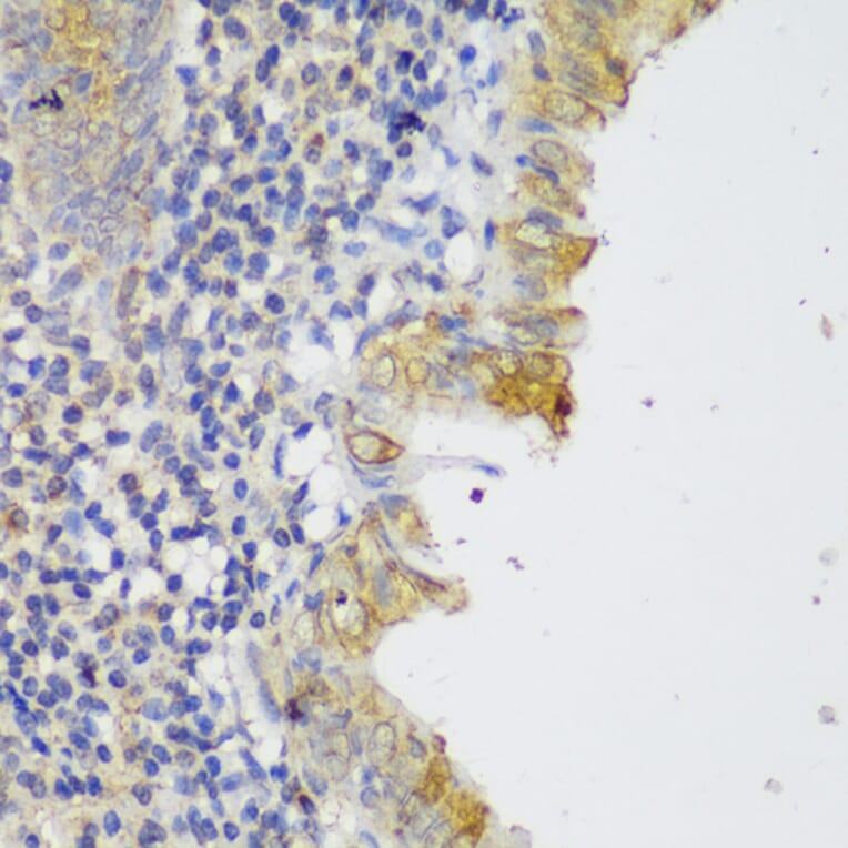
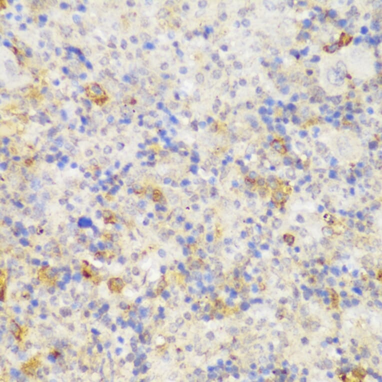
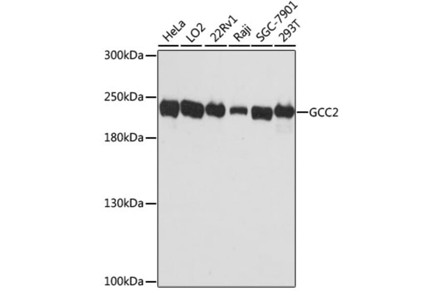
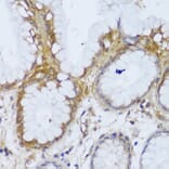
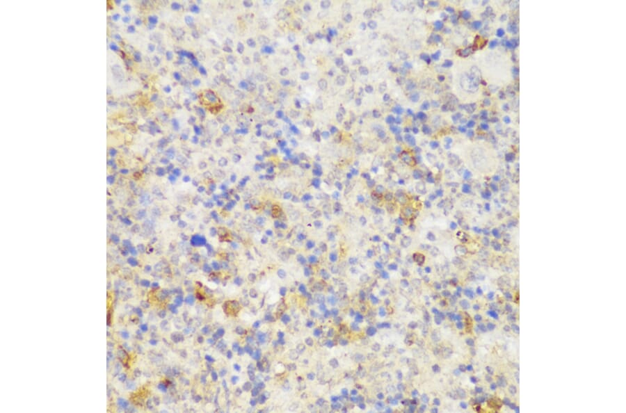
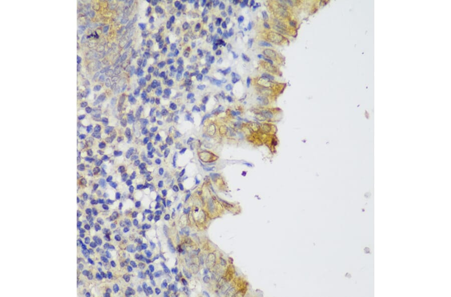
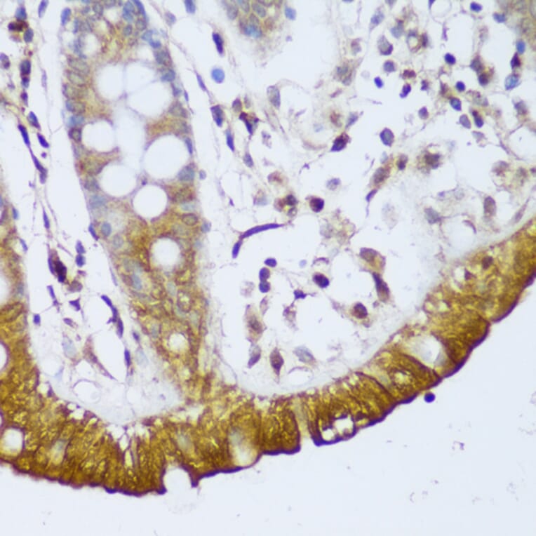
Anti-GCC185 Antibody (A88622)

Rabbit polyclonal antibody to GCC185 for WB and IHC.

Shipping Information

$40
Dispatched from St. Louis, MO.
Lead Time: 7-10 business days.
Name
Anti-GCC185 Antibody
Description
Rabbit polyclonal antibody to GCC185.
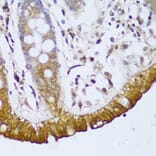
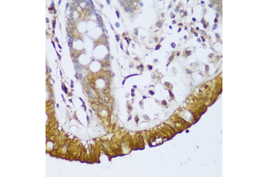
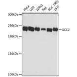
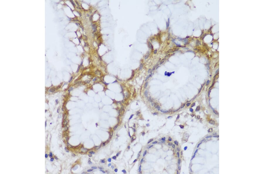
Applications
WB, IHC
Dilutions
WB: 1:500-1:2,000, IHC: 1:50-1:200
Reactivity
Human, Mouse
Immunogen
Recombinant fusion protein containing a sequence corresponding to amino acids 1-300 of human GCC2 (NP_852118.1).
Sequence
MEDLVQDGVASPATPGTGKSKLETLPKEDLIKFAKKQMMLIQKAKSRCTELEKEIEELRSKPVTEGTGDIIKALTERLDALLLEKAETEQQCLSLKKENIKMKQEVEDSVTKMGDAHKELEQSHINYVKEIENLKNELMAVRSKYSEDKANLQKQLEEAMNTQLELSEQLKFQNNSEDNVKKLQEEIEKIRPGFEEQILYLQKQLDATTDEKKETVTQLQNIIEANSQHYQKNINSLQEELLQLKAIHQEEVKELMCQIEASAKEHEAEINKLNELKENLVKQCEASEKNIQKKYECELE
Host
Rabbit
Clonality
Polyclonal
Isotype
IgG
Conjugate

Unconjugated

Purification
Affinity purification.
Concentration
Lot Specific
Molecular Weight
196 kDa
Product Form
Liquid
Formulation
Supplied in Phosphate Buffered Saline, pH 7.3, with 50% Glycerol and 0.01% Thiomersal.
Storage
Shipped at 4°C. Upon delivery aliquot and store at -20°C. Avoid freeze/thaw cycles.
Synonyms
185 kDa Golgi coiled-coil protein, CLL-associated antigen KW-11, CTCL tumor antigen se1-1, GRIP and coiled-coil domain-containing protein 2, KIAA0336, Ran-binding protein 2-like 4, RANBP2L4, Renal carcinoma antigen NY-REN-53
Disclaimer
This product is for research use only. It is not intended for diagnostic or therapeutic use.
Publishing research using Anti-GCC185 Antibody (A88622)? Please let us know so that we can list the citation on this page.

Alternative products to Anti-GCC185 Antibody (A88622)

Proteins predicted to interact with GCC2

Predicted protein interactions based upon String database. Revelancy score correlates with probability of interaction.
99.9% Relevancy Score
97.8% Relevancy Score
97.6% Relevancy Score
96.6% Relevancy Score
95.9% Relevancy Score
94.6% Relevancy Score
93.9% Relevancy Score
92.6% Relevancy Score
88.3% Relevancy Score