ISO 9001:2015 Certified
Live Customer Support
4.5/5 on Trustpilot
100% Quality Guarantee

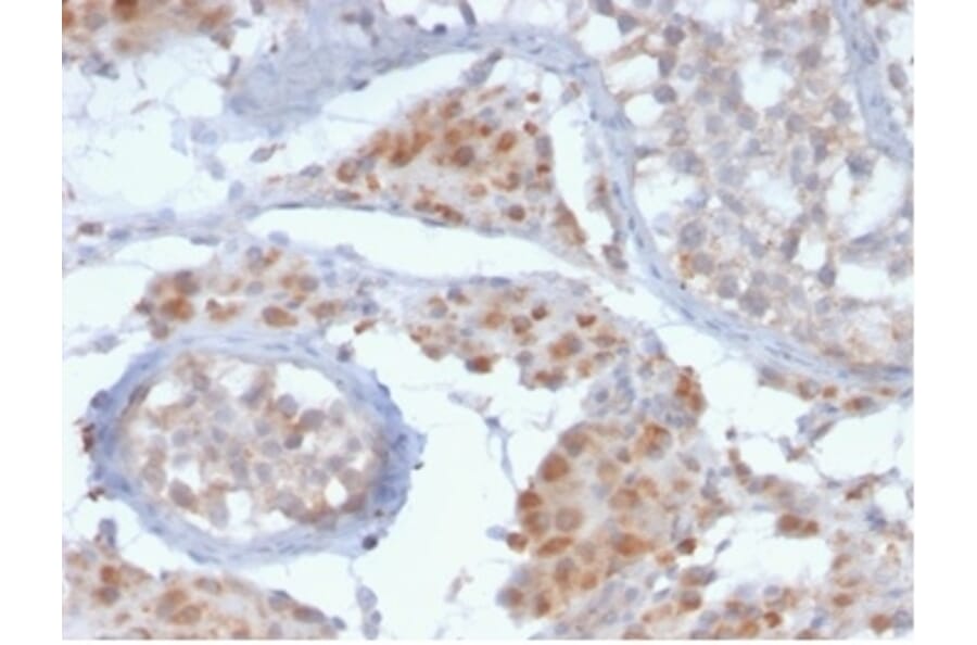
Anti-GCET2 Antibody [HGAL/2373] - BSA and Azide free (A278209)

Mouse monoclonal [HGAL/2373] antibody to GCET2 for IHC-P.

Alternative Formats and ConjugatesAlternative Formats

Shipping Information

$40
Dispatched from St. Louis, MO.
Lead Time: 5-8 business days.
Name
Anti-GCET2 Antibody [HGAL/2373] - BSA and Azide free
Description
Mouse monoclonal [HGAL/2373] antibody to GCET2.
Specificity
This antibody recognizes a protein of kDa, which is identified as HGAL. It contains a putative PDZ-interacting domain, an immunoreceptor tyrosine-based activation motif (ITAM), and two putative SH2 binding sites. In B cells, its expression is specifically induced by interleukin-4. HGAL is specifically expressed in germinal center B-cells, but is absent in mantle and marginal zone B-cells and in the inter-follicular and para-cortical regions in normal tonsils and lymph nodes. Its high degree of specificity for germinal center B-cells makes anti-HGAL an ideal marker for the detection of germinal center-derived B-cell lymphomas. HGAL expression has been used to help elucidate nodal marginal zone lymphoma (NMZL) from cases of diffuse follicle center lymphoma. Additionally, HGAL expression was shown to correlate with survival in patients with diffuse large B-cell lymphoma (DLBCL).
Applications
IHC-P
Dilutions
IHC-P: 1-2 µg/ml
Reactivity
Human
Immunogen
Recombinant fragment, around amino acids 1-200, of human GCET2 protein. The exact sequence is proprietary.
Host
Mouse
Clonality
Monoclonal
Clone ID
HGAL/2373
Isotype
IgG2b
Light Chains
kappa
Conjugate

Unconjugated

Purification
Protein A/G chromatography.
Concentration
1 mg/ml
Molecular Weight
21 kDa
Product Form
Liquid
Formulation
Supplied in 10mM Phosphate Buffered Saline; without Sodium Azide and carrier free.
Storage
Shipped at 4°C. Upon delivery aliquot and store at -20°C. Avoid freeze / thaw cycles.
General Notes
This monoclonal antibody is also available in a different formulation with BSA and Sodium Azide - Anti-GCET2 Antibody [HGAL/2373] (A277621).
Synonyms
GAL, GCSAM, Germinal center B-cell-expressed transcript 2 protein, Germinal center-associated lymphoma protein, Germinal center-associated signaling and motility protein, hGAL
Disclaimer
This product is for research use only. It is not intended for diagnostic or therapeutic use.
Publishing research using Anti-GCET2 Antibody [HGAL/2373] - BSA and Azide free (A278209)? Please let us know so that we can list the citation on this page.

Alternative products to Anti-GCET2 Antibody [HGAL/2373] - BSA and Azide free (A278209)

Proteins predicted to interact with GCET2

Predicted protein interactions based upon String database. Revelancy score correlates with probability of interaction.
58% Relevancy Score
57.6% Relevancy Score
53.3% Relevancy Score
52.3% Relevancy Score
50.5% Relevancy Score
50.4% Relevancy Score
49.1% Relevancy Score
49.1% Relevancy Score
47.6% Relevancy Score