Primary Antibodies
Secondary Antibodies
Proteins & Peptides
ELISA Kits
About Us
Contact Us
Sign In/Register
0
ISO 9001:2015 Certified
Live Customer Support
4.5/5 on Trustpilot
100% Quality Guarantee
Home
Primary Antibodies
GLP1 Antibodies
Anti-GCG Antibody (A47213)
Anti-GCG Antibody (A47213)
Overview
Specifications
Images
Enlarge Image
Enlarge Image
$430
Product Datasheet
Rabbit polyclonal antibody to GCG for IHC.
100% Guarantee
Price Match Guarantee
Product Size:
100µl
Quantity:
1
2
3
4
5
6
7
8
9
10
Add To Cart
Request a Quotation
Custom or Bulk Request
Shipping Information
Freight/Packing Charges:
$40
Dispatched from St. Louis, MO.
Lead Time: 6-9 business days.
Specifications
Name
Anti-GCG Antibody
Description
Rabbit polyclonal antibody to GCG
Specificity
The antibody detects endogenous levels of total GCG protein.
Applications
IHC
Reactivity
Human
Immunogen
Synthetic peptide corresponding to residues near the N terminal of human glucagon
Host
Rabbit
Clonality
Polyclonal
Conjugate
Unconjugated
Purification
Antigen affinity purification.
Concentration
1 mg/mL
Formulation
Supplied in PBS, pH 7.3, containing 0.05% sodium azide and 50% glycerol.
Storage
Shipped at 4°C. Upon delivery aliquot and store at -20°C. Avoid freeze/thaw cycles.
Synonyms
Pro-glucagon
Suitable Secondaries
Goat Anti-Rabbit IgG H&L Antibody (AP) (A294874)
Goat Anti-Rabbit IgG H&L Antibody (Biotin) (A294795)
Goat Anti-Rabbit IgG H&L Antibody (FITC) (A294887)
Goat Anti-Rabbit IgG H&L Antibody (HRP) (A294888)
See all Anti-Rabbit IgG Secondaries →
Disclaimer
This product is for research use only. It is not intended for diagnostic or therapeutic use.
Scientific Validation Data
Validation Data
(2)
Enlarge Image
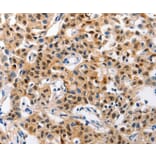
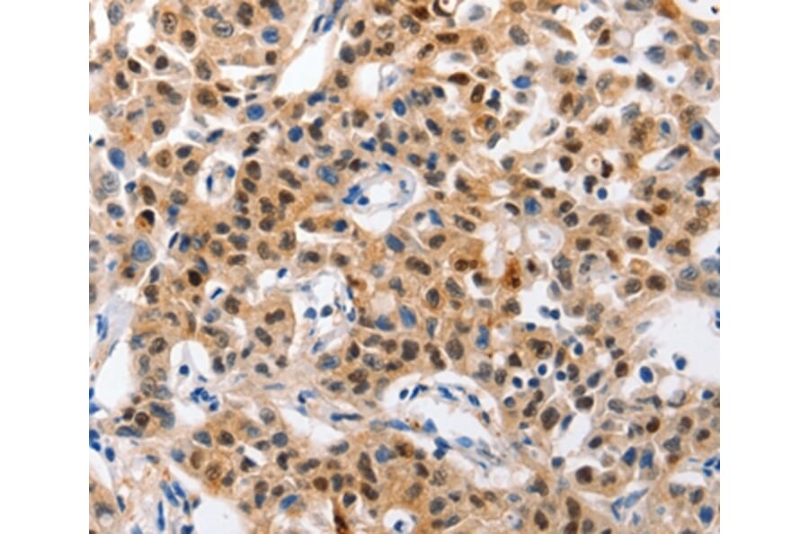
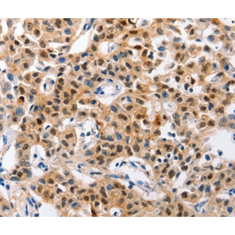
Immunohistochemistry - Anti-GCG Antibody (A47213)
Immunohistochemical analysis of paraffin-embedded Human lung cancer tissue using #36900 at dilution 1/30.
Enlarge Image
Immunohistochemistry - Anti-GCG Antibody (A47213)
Immunohistochemical analysis of paraffin-embedded Human colon cancer tissue using #36900 at dilution 1/30.
Publishing research using Anti-GCG Antibody (A47213)? Please
let us know
so that we can list the citation on this page.
Alternative products to Anti-GCG Antibody (A47213)
(3)
A95439
Anti-Glucagon Antibody
Rabbit polyclonal antibody to Glucagon for WB, IHC, IF and ELISA.
(6)
A99249
Anti-Glucagon Antibody
Mouse monoclonal (ABT-GCG) antibody to Glucagon for IHC, IF and ELISA.
A44340
Anti-GCG Antibody
Rabbit polyclonal antibody to GCG for ICC/IF.
A340632
Efpegerglucagon Biosimilar - Anti-GLP1 Antibody - BSA and Azide free
Recombinant antibody to GLP1 for use as a research grade Efpegerglucagon biosimilar for ELISA, Functional Studies and in vivo Research.
A346356
Anti-GLP1 Antibody [24GB2965] kappa
Mouse monoclonal [24GB2965] antibody to GLP1 for WB, Flow Cytometry and ICC/IF.
(3)
A95439
Anti-Glucagon Antibody
Rabbit polyclonal antibody to Glucagon for WB, IHC, IF and ELISA.
(6)
A99249
Anti-Glucagon Antibody
Mouse monoclonal (ABT-GCG) antibody to Glucagon for IHC, IF and ELISA.
A44340
Anti-GCG Antibody
Rabbit polyclonal antibody to GCG for ICC/IF.
A340632
Efpegerglucagon Biosimilar - Anti-GLP1 Antibody - BSA and Azide free
Recombinant antibody to GLP1 for use as a research grade Efpegerglucagon biosimilar for ELISA, Functional Studies and in vivo Research.
A346356
Anti-GLP1 Antibody [24GB2965] kappa
Mouse monoclonal [24GB2965] antibody to GLP1 for WB, Flow Cytometry and ICC/IF.
See all GCG Antibodies
Proteins predicted to interact with GLP1
Predicted protein interactions based upon String database. Revelancy score correlates with probability of interaction.
GIPR Antibodies
99.9% Relevancy Score
GLP1R Antibodies
99.9% Relevancy Score
GCGR Antibodies
99.9% Relevancy Score
Insulin Antibodies
99.8% Relevancy Score
GLP2R Antibodies
99.7% Relevancy Score
CD26 Antibodies
98.7% Relevancy Score
Somatostatin Antibodies
98.6% Relevancy Score
GIP Antibodies
98.2% Relevancy Score
SCT Antibodies
98.1% Relevancy Score
Top