Primary Antibodies
Secondary Antibodies
Proteins & Peptides
ELISA Kits
About Us
Contact Us
Sign In/Register
0
ISO 9001:2015 Certified
Live Customer Support
4.5/5 on Trustpilot
100% Quality Guarantee
Home
Primary Antibodies
GCKR Antibodies
Anti-GCKR Antibody (A38739)
Anti-GCKR Antibody (A38739)
Overview
Specifications
Images
Enlarge Image
Enlarge Image
$430
Product Datasheet
Rabbit polyclonal antibody to GCKR for WB and IHC.
100% Guarantee
Price Match Guarantee
Product Size:
100µl
Quantity:
1
2
3
4
5
6
7
8
9
10
Add To Cart
Request a Quotation
Custom or Bulk Request
Shipping Information
Freight/Packing Charges:
$40
Dispatched from St. Louis, MO.
Lead Time: 6-9 business days.
Specifications
Name
Anti-GCKR Antibody
Description
Rabbit polyclonal antibody to GCKR
Specificity
The antibody detects endogenous levels of total GCKR protein.
Applications
WB
,
IHC
Reactivity
Human, Mouse
Immunogen
Fusion protein corresponding to a region derived from internal residues of human glucokinase (hexokinase 4) regulator
Host
Rabbit
Clonality
Polyclonal
Conjugate
Unconjugated
Purification
Antigen affinity purification.
Concentration
2.4 mg/mL
Formulation
Supplied in PBS, pH 7.3, containing 0.05% sodium azide and 50% glycerol.
Storage
Shipped at 4°C. Upon delivery aliquot and store at -20°C. Avoid freeze/thaw cycles.
Synonyms
GKRP, Glucokinase regulatory protein
Suitable Secondaries
Goat Anti-Rabbit IgG H&L Antibody (AP) (A294874)
Goat Anti-Rabbit IgG H&L Antibody (Biotin) (A294795)
Goat Anti-Rabbit IgG H&L Antibody (FITC) (A294887)
Goat Anti-Rabbit IgG H&L Antibody (HRP) (A294888)
See all Anti-Rabbit IgG Secondaries →
Disclaimer
This product is for research use only. It is not intended for diagnostic or therapeutic use.
Scientific Validation Data
Validation Data
(2)
Enlarge Image
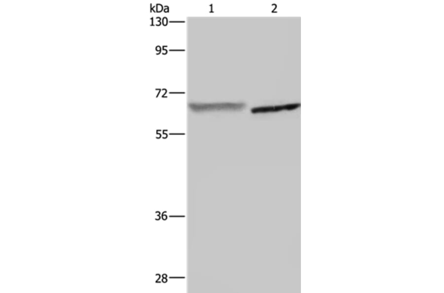
Anti-GCKR Antibody (A38739)
Gel: 8% SDS-PAGE Lysates (from left to right): Human placenta and mouse liver tissue Amount of lysate: 40ug per lane Primary antibody: 1/400 dilution Secondary antibody dilution: 1/8000 Exposure time: 2 minutes
Enlarge Image
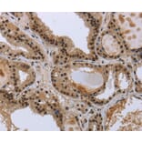
Immunohistochemistry - Anti-GCKR Antibody (A38739)
Immunohistochemical analysis of paraffin-embedded Human colon cancer tissue using #36500 at dilution 1/50.
Publishing research using Anti-GCKR Antibody (A38739)? Please
let us know
so that we can list the citation on this page.
Alternative products to Anti-GCKR Antibody (A38739)
A84656
Anti-GCKR Antibody
Goat polyclonal antibody to GCKR for ELISA and WB.
A94060
Anti-Glucokinase Regulator Antibody
Rabbit polyclonal antibody to Glucokinase Regulator for WB and ELISA.
A322053
Anti-GCKR Antibody [OTI1E7]
Mouse monoclonal [OTI1E7] antibody to GCKR for IF, IHC and WB.
A322052
Anti-GCKR Antibody [OTI1E7] - BSA and Azide free
Mouse monoclonal [OTI1E7] antibody to GCKR for IF, IHC and WB.
A14901
Anti-GCKR Antibody
Rabbit polyclonal antibody to GCKR for WB.
A84656
Anti-GCKR Antibody
Goat polyclonal antibody to GCKR for ELISA and WB.
A94060
Anti-Glucokinase Regulator Antibody
Rabbit polyclonal antibody to Glucokinase Regulator for WB and ELISA.
A322053
Anti-GCKR Antibody [OTI1E7]
Mouse monoclonal [OTI1E7] antibody to GCKR for IF, IHC and WB.
A322052
Anti-GCKR Antibody [OTI1E7] - BSA and Azide free
Mouse monoclonal [OTI1E7] antibody to GCKR for IF, IHC and WB.
A14901
Anti-GCKR Antibody
Rabbit polyclonal antibody to GCKR for WB.
See all GCKR Antibodies
Proteins predicted to interact with GCKR
Predicted protein interactions based upon String database. Revelancy score correlates with probability of interaction.
Glucokinase Antibodies
99.9% Relevancy Score
AMDHD2 Antibodies
87% Relevancy Score
Ketohexokinase Antibodies
84.3% Relevancy Score
Melatonin Receptor 1B Antibodies
74.9% Relevancy Score
DGKB Antibodies
74.3% Relevancy Score
PNPLA3 Antibodies
70.1% Relevancy Score
TM6SF2 Antibodies
70.1% Relevancy Score
Insulin Antibodies
67.4% Relevancy Score
LYPLAL1 Antibodies
66.5% Relevancy Score
Top