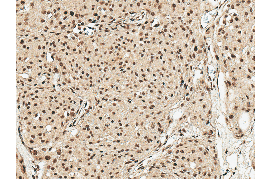
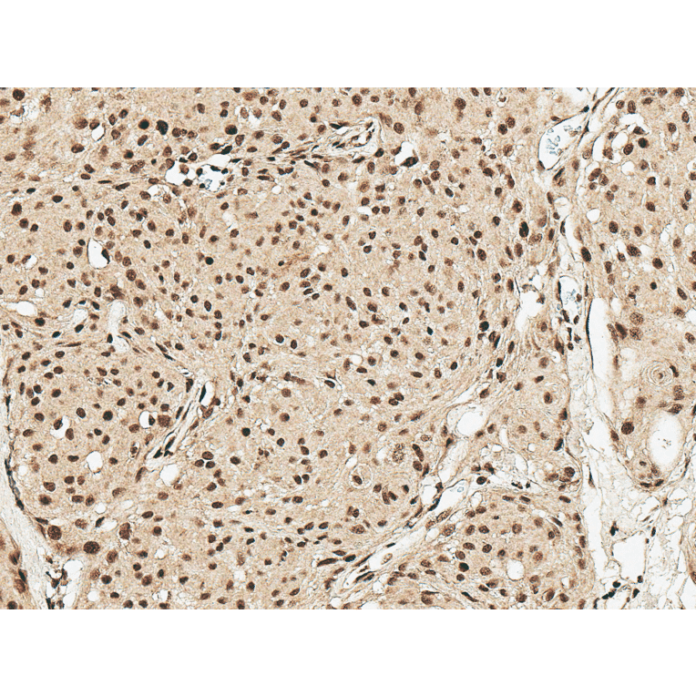
Immunohistochemistry analysis of human brain, fixed in formalin and paraffin-embedded. The Primary Antibody used was Anti-GDNF Antibody (A305143) at 1:50 for 30 minutes at room temperature. Counterstain: Hematoxylin. Magnification: 10X.
Western blot analysis of human Cervical cancer cell line (HeLa) lysate showing detection of ~23.7 kDa GDNF protein using Anti-GDNF Antibody (A305143) at 1:1,000 for 2 hours at room temperature. Lane 1: Molecular Weight Ladder (MW). Lane 2: HeLa cell lysates. Load: 15 µg. Block: 5% Skim Milk in 1X TBST. The secondary antibody used was Goat Anti-Rabbit IgG: HRP at 1:1,000 for 60 minutes at room temperature. Color Development: ECL solution for 6 min in room temperature. Predicted/Observed Size: ~23.7 kDa. Other Band(s): 50 kDa is a dimer.
Immunocytochemistry/Immunofluorescence analysis of human neuroblastoma cell line (SK-N-BE, fixed in 4% formaldehyde for 15 min at room temperature, using Anti-GDNF Antibody (A305143), at 1:100 for 60 minutes at room temperature. The secondary antibody used was Goat Anti-Rabbit ATTO 488 at 1:200 for 60 minutes at room temperature. Counterstain: Phalloidin Texas Red F-Actin stain; DAPI (blue) nuclear stain at 1:1000, 1:5,000 for 60 minutes at room temperature, 5 minutes at room temperature. Localization: Vesicles, Nucleoplasm. Magnification: 60X.(A) DAPI (blue) nuclear stain (B) Phalloidin Texas Red F-Actin stain (C) GDNF Antibody (D) Composite.
Publishing research using Anti-GDNF Antibody (A305143)? Please let us know so that we can list the citation on this page.
Alternative products to Anti-GDNF Antibody (A305143)