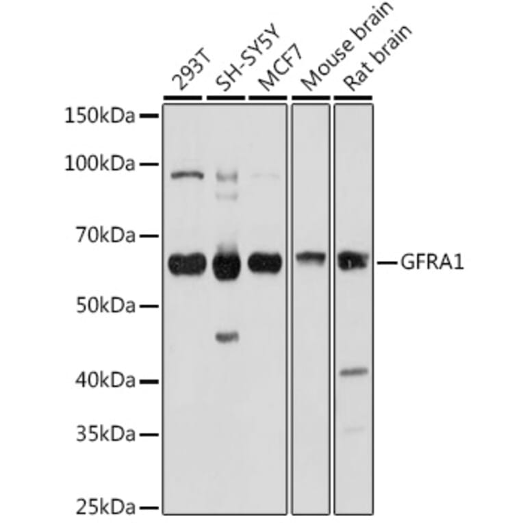
Western Blot - Anti-GDNF Receptor alpha 1/GFRA1 Antibody (A14712)
Western blot analysis of extracts of various cell lines, using Anti-GDNF Receptor alpha 1/GFRA1 Antibody (A14712) at 1:1,000 dilution. The secondary antibody was Goat Anti-Rabbit IgG H&L Antibody (HRP) at 1:10,000 dilution. Lysates/proteins were present at 25µg per lane. The blocking buffer used was 3% non-fat dry milk in TBST. Detection was with a ECL Basic Kit. Exposure time: 30s.
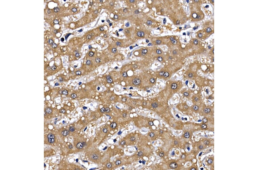
Immunohistochemistry analysis of paraffin-embedded human liver using Anti-GDNF Receptor alpha 1/GFRA1 Antibody (A14712) at a dilution of 1:100 (40x lens). Perform high pressure antigen retrieval with 10 mM citrate buffer pH 6.0 before commencing with IHC staining protocol.
Immunohistochemistry analysis of paraffin-embedded mouse spinal cord using Anti-GDNF Receptor alpha 1/GFRA1 Antibody (A14712) at a dilution of 1:100 (40x lens). Perform high pressure antigen retrieval with 10 mM citrate buffer pH 6.0 before commencing with IHC staining protocol.
Immunohistochemistry analysis of paraffin-embedded rat brain using Anti-GDNF Receptor alpha 1/GFRA1 Antibody (A14712) at a dilution of 1:100 (40x lens). Perform high pressure antigen retrieval with 10 mM citrate buffer pH 6.0 before commencing with IHC staining protocol.
Immunofluorescence analysis of HepG2 cells using Anti-GDNF Receptor alpha 1/GFRA1 Antibody (A14712) at a dilution of 1:200 (40x lens). DAPI was used to stain the cell nuclei (blue).