ISO 9001:2015 Certified
Live Customer Support
4.5/5 on Trustpilot
100% Quality Guarantee

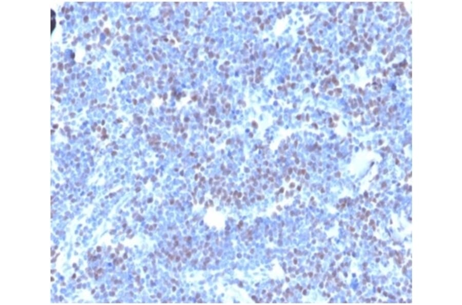
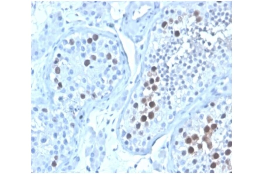
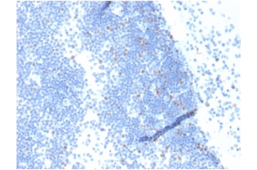
Anti-Geminin Antibody [GMNN/4033] (A277735)

Mouse monoclonal [GMNN/4033] antibody to Geminin for IHC-P.

Alternative Formats and ConjugatesAlternative Formats

Shipping Information

$40
Dispatched from St. Louis, MO.
Lead Time: 5-8 business days.
Name
Anti-Geminin Antibody [GMNN/4033]
Description
Mouse monoclonal [GMNN/4033] antibody to Geminin.
Specificity
Geminin is a nuclear protein that regulates the initiation of DNA replication during the cell cycle. DNA replication requires the coordinated association of Cdc6 and minichromosome maintenance (MCM) proteins with chromatin. Geminin blocks this assembly of the MCM into the prereplication complex and, in turn, prevents replication from occurring. Expression of Geminin fluctuates throughout the cell cycle with Geminin levels lowest at G1. Throughout S, G2 and M phases, Geminin levels are consistently elevated followed by a decrease during mitosis. The initiation of DNA replication is dependent on the degradation of Geminin during mitosis and the absence of Geminin throughout G1 phase. Geminin degradation is mediated by the anaphase-promoting complex (APC), which specifically targets B-type cyclins and other proteins containing a destruction box motif for degradation by ubiquitin-mediated proteolysis. While geminin expression is essential in maintaining chromosomal integrity, it is frequently overexpressed in cancers and evidence suggests that it plays a significant role in tumor proliferation and progression.
Applications
IHC-P
Dilutions
IHC-P: 1-2 µg/ml
Reactivity
Human
Immunogen
Recombinant fragment, around amino acids 71-202, of human Geminin protein. The exact sequence is proprietary.
Host
Mouse
Clonality
Monoclonal
Clone ID
GMNN/4033
Isotype
IgG1
Light Chains
kappa
Conjugate

Unconjugated

Purification
Protein A/G chromatography.
Concentration
200 µg/ml
Molecular Weight
35 kDa
Product Form
Liquid
Formulation
Supplied in 10mM Phosphate Buffered Saline with 0.05% BSA and 0.05% Sodium Azide.
Storage
Shipped at 4°C. Upon delivery aliquot and store at -20°C. Avoid freeze / thaw cycles.
General Notes
This monoclonal antibody is also available in a different formulation without BSA and Sodium Azide - Anti-Geminin Antibody [GMNN/4033] - BSA and Azide free (A278323).
Synonyms
GMNN
Disclaimer
This product is for research use only. It is not intended for diagnostic or therapeutic use.
Publishing research using Anti-Geminin Antibody [GMNN/4033] (A277735)? Please let us know so that we can list the citation on this page.

Alternative products to Anti-Geminin Antibody [GMNN/4033] (A277735)

Proteins predicted to interact with Geminin

Predicted protein interactions based upon String database. Revelancy score correlates with probability of interaction.
99.9% Relevancy Score
95.1% Relevancy Score
94.6% Relevancy Score
90.5% Relevancy Score
89.4% Relevancy Score
88.9% Relevancy Score
88.2% Relevancy Score
88% Relevancy Score
86.7% Relevancy Score