ISO 9001:2015 Certified
Live Customer Support
4.5/5 on Trustpilot
100% Quality Guarantee

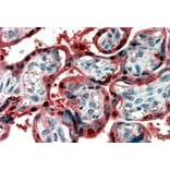
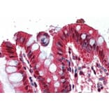
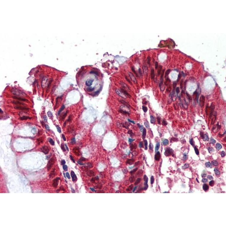
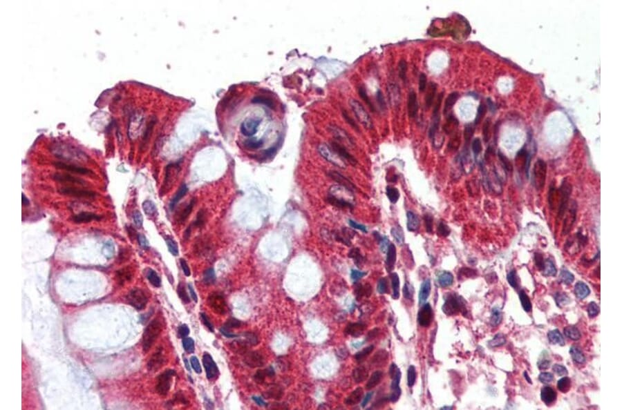
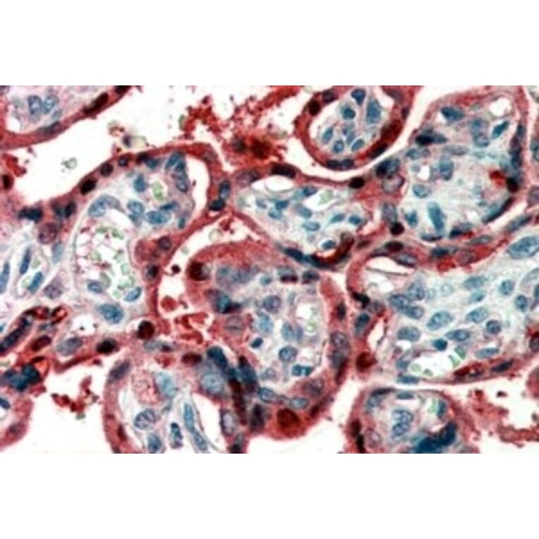
Anti-Ghrelin Antibody (A83446)

Goat polyclonal antibody to Ghrelin for ELISA, IHC and ICC.

Shipping Information

$40
Dispatched from St. Louis, MO.
Lead Time: 7-10 business days.
Name
Anti-Ghrelin Antibody
Description
Goat polyclonal antibody to Ghrelin.
Applications
ELISA, IHC, ICC
Dilutions
ELISA: 1:8,000, IHC: 2ug/ml
Reactivity
Human, Rat
Immunogen
Synthetic peptide corresponding to the C terminal region of human Ghrelin.
Sequence
C-QDILWEEAKEAPADK
Host
Goat
Clonality
Polyclonal
Isotype
IgG
Conjugate

Unconjugated

Purification
Purified from goat serum by ammonium sulphate precipitation followed by antigen affinity chromatography using the immunizing peptide.
Concentration
500 µg/ml
Product Form
Liquid
Formulation
Supplied in Tris Buffered Saline, pH 7.3, with 0.5% BSA and 0.02% Sodium Azide.
Storage
Shipped at 4°C. Upon delivery aliquot and store at -20°C. Avoid freeze/thaw cycles.
Synonyms
Appetite-regulating hormone, GHRL, Growth hormone secretagogue, Growth hormone-releasing peptide, Motilin-related peptide, MTLRP, Protein M46
Isotype Controls
Disclaimer
This product is for research use only. It is not intended for diagnostic or therapeutic use.
Publishing research using Anti-Ghrelin Antibody (A83446)? Please let us know so that we can list the citation on this page.

Alternative products to Anti-Ghrelin Antibody (A83446)

Proteins predicted to interact with Ghrelin

Predicted protein interactions based upon String database. Revelancy score correlates with probability of interaction.
99.9% Relevancy Score
99.4% Relevancy Score
98.3% Relevancy Score
98.3% Relevancy Score
98.3% Relevancy Score
97.9% Relevancy Score
97.8% Relevancy Score
96.1% Relevancy Score