Primary Antibodies
Secondary Antibodies
Proteins & Peptides
ELISA Kits
About Us
Contact Us
Sign In/Register
0
ISO 9001:2015 Certified
Live Customer Support
4.5/5 on Trustpilot
100% Quality Guarantee
Home
Primary Antibodies
GHRH Antibodies
Anti-GHRH Antibody (A38519)
Anti-GHRH Antibody (A38519)
Overview
Specifications
Images
Enlarge Image
Enlarge Image
Enlarge Image
$415
Product Datasheet
Rabbit polyclonal antibody to GHRH for WB and IHC.
100% Guarantee
Price Match Guarantee
Product Size:
50µl
100µl
Quantity:
1
2
3
4
5
6
7
8
9
10
Add To Cart
Request a Quotation
Custom or Bulk Request
Shipping Information
Freight/Packing Charges:
$40
Dispatched from St. Louis, MO.
Lead Time: 6-9 business days.
Specifications
Name
Anti-GHRH Antibody
Description
Rabbit polyclonal antibody to GHRH
Specificity
The antibody detects endogenous level of total GHRH protein.
Applications
WB
,
IHC
Reactivity
Human, Mouse, Rat
Immunogen
Recombinant protein of human GHRH.
Host
Rabbit
Clonality
Polyclonal
Conjugate
Unconjugated
Purification
Antibodies were purified by affinity purification using immunogen.
Concentration
1.0 mg/mL
Formulation
Supplied in phosphate-buffered saline (without Mg²? and Ca²?), pH 7.4, containing 150 mM NaCl, 0.02% sodium azide, and 50% glycerol.
Storage
Shipped at 4°C. Upon delivery aliquot and store at -20°C. Avoid freeze/thaw cycles.
Synonyms
GHRF, GRF, Growth hormone-releasing factor, Growth hormone-releasing hormone, Somatocrinin, Somatoliberin, Somatorelin
Suitable Secondaries
Goat Anti-Rabbit IgG H&L Antibody (AP) (A294874)
Goat Anti-Rabbit IgG H&L Antibody (Biotin) (A294795)
Goat Anti-Rabbit IgG H&L Antibody (FITC) (A294887)
Goat Anti-Rabbit IgG H&L Antibody (HRP) (A294888)
See all Anti-Rabbit IgG Secondaries →
Disclaimer
This product is for research use only. It is not intended for diagnostic or therapeutic use.
Scientific Validation Data
Validation Data
(3)
Enlarge Image
Anti-GHRH Antibody (A38519)
Western blot analysis of extracts of various cell lines, using RAD51 antibody.
Enlarge Image
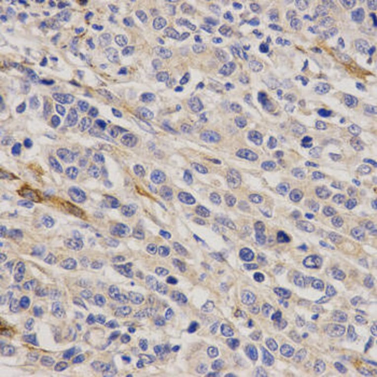
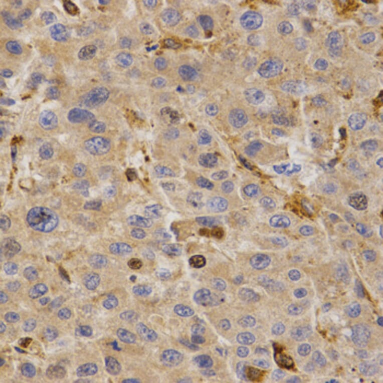
Immunohistochemistry - Anti-GHRH Antibody (A38519)
Immunohistochemistry of paraffin-embedded human liver cancer using GHRH antibody at dilution of 1: 200 (x400 lens).
Enlarge Image
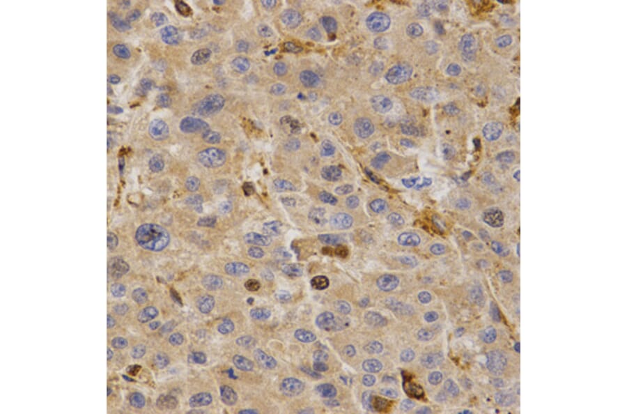
Immunohistochemistry - Anti-GHRH Antibody (A38519)
Immunohistochemistry of paraffin-embedded human stomach cancer using GHRH antibody at dilution of 1: 200 (x400 lens).
Publishing research using Anti-GHRH Antibody (A38519)? Please
let us know
so that we can list the citation on this page.
Alternative products to Anti-GHRH Antibody (A38519)
(2)
A14685
Anti-GHRH Antibody
Rabbit polyclonal antibody to GHRH for WB and ICC/IF.
(2)
A30743
Anti-GHRH Antibody
Rabbit polyclonal antibody to GHRH for WB and IHC.
A309373
Anti-GHRH Antibody [ARC59237]
Rabbit monoclonal [ARC59237] antibody to GHRH for WB.
(2)
A14685
Anti-GHRH Antibody
Rabbit polyclonal antibody to GHRH for WB and ICC/IF.
(2)
A30743
Anti-GHRH Antibody
Rabbit polyclonal antibody to GHRH for WB and IHC.
A309373
Anti-GHRH Antibody [ARC59237]
Rabbit monoclonal [ARC59237] antibody to GHRH for WB.
Proteins predicted to interact with GHRH
Predicted protein interactions based upon String database. Revelancy score correlates with probability of interaction.
GHRHR Antibodies
99.9% Relevancy Score
GHSR Antibodies
97.3% Relevancy Score
Somatostatin Antibodies
96.4% Relevancy Score
Growth Hormone Antibodies
96.4% Relevancy Score
G Protein alpha S Antibodies
96.3% Relevancy Score
GNAS Antibodies
96.3% Relevancy Score
VIP Antibodies
95.8% Relevancy Score
Ghrelin Antibodies
94.9% Relevancy Score
CRF Antibodies
94.5% Relevancy Score
Top