Primary Antibodies
Secondary Antibodies
Proteins & Peptides
ELISA Kits
About Us
Contact Us
Sign In/Register
0
ISO 9001:2015 Certified
Live Customer Support
4.5/5 on Trustpilot
100% Quality Guarantee
Home
Primary Antibodies
GIRK1 Antibodies
Anti-GIRK1 Antibody (A37452)
Anti-GIRK1 Antibody (A37452)
Overview
Specifications
Images
Enlarge Image
Enlarge Image
$645
Product Datasheet
Rabbit polyclonal antibody to GIRK1 for WB and IHC.
100% Guarantee
Price Match Guarantee
Product Size:
100µl
Quantity:
1
2
3
4
5
6
7
8
9
10
Add To Cart
Request a Quotation
Custom or Bulk Request
Shipping Information
Freight/Packing Charges:
$40
Dispatched from St. Louis, MO.
Lead Time: 6-9 business days.
Specifications
Name
Anti-GIRK1 Antibody
Description
Rabbit polyclonal antibody to GIRK1
Applications
WB
,
IHC
Reactivity
Human
Immunogen
Recombinant protein fragment contain a sequence corresponding to a region within amino acids 248 and 501 of GIRK1
Host
Rabbit
Clonality
Polyclonal
Conjugate
Unconjugated
Purification
Purified by antigen-affinity chromatography.
Formulation
Supplied in 0.1M Tris-buffered saline with 10% Glycerol (pH7.0). 0.01% Thimerosal was added as a preservative.
Storage
Shipped at 4°C. Upon delivery aliquot and store at -20°C. Avoid freeze/thaw cycles.
Synonyms
G protein-activated inward rectifier potassium channel 1, GIRK-1, Inward rectifier K(+) channel Kir3.1, KCNJ3, Potassium channel, inwardly rectifying subfamily J member 3
Suitable Secondaries
Goat Anti-Rabbit IgG H&L Antibody (AP) (A294874)
Goat Anti-Rabbit IgG H&L Antibody (Biotin) (A294795)
Goat Anti-Rabbit IgG H&L Antibody (FITC) (A294887)
Goat Anti-Rabbit IgG H&L Antibody (HRP) (A294888)
See all Anti-Rabbit IgG Secondaries →
Disclaimer
This product is for research use only. It is not intended for diagnostic or therapeutic use.
Scientific Validation Data
Validation Data
(2)
Enlarge Image
Anti-GIRK1 Antibody (A37452)
Sample (30 µg of whole cell lysate) A431 B: H1299 C: Hela 7.5% SDS PAGE Primary antibody diluted at 1: 1000
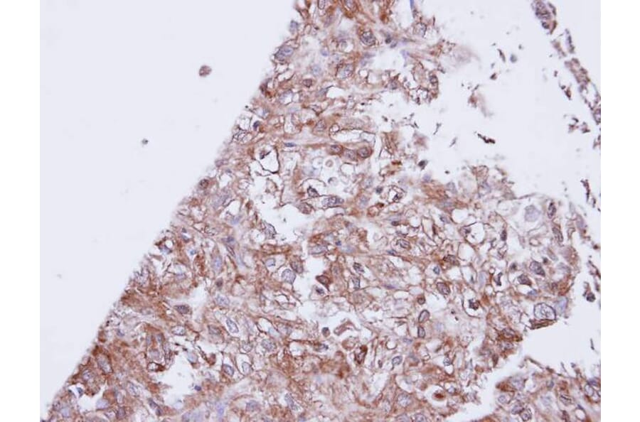
Enlarge Image
Immunohistochemistry - Anti-GIRK1 Antibody (A37452)
Immunohistochemical analysis of paraffin-embedded DU145 xenograft, using GIRK1 antibody at 1: 100 dilution.
Publishing research using Anti-GIRK1 Antibody (A37452)? Please
let us know
so that we can list the citation on this page.
Alternative products to Anti-GIRK1 Antibody (A37452)
(3)
A93497
Anti-GIRK1 (phospho Ser185) Antibody
Rabbit polyclonal antibody to GIRK1 (phospho Ser185) for WB, IHC, IF and ELISA.
(3)
A96017
Anti-GIRK1 Antibody
Rabbit polyclonal antibody to GIRK1 for WB, IF and ELISA.
A54678
Anti-GIRK1 Antibody
Rabbit polyclonal antibody to GIRK1 for ELISA, IMM and WB.
A17257
Anti-GIRK1 Antibody
Rabbit polyclonal antibody to GIRK1 for WB and IHC.
(3)
A93497
Anti-GIRK1 (phospho Ser185) Antibody
Rabbit polyclonal antibody to GIRK1 (phospho Ser185) for WB, IHC, IF and ELISA.
(3)
A96017
Anti-GIRK1 Antibody
Rabbit polyclonal antibody to GIRK1 for WB, IF and ELISA.
A54678
Anti-GIRK1 Antibody
Rabbit polyclonal antibody to GIRK1 for ELISA, IMM and WB.
A17257
Anti-GIRK1 Antibody
Rabbit polyclonal antibody to GIRK1 for WB and IHC.
Proteins predicted to interact with GIRK1
Predicted protein interactions based upon String database. Revelancy score correlates with probability of interaction.
GIRK2 Antibodies
99.8% Relevancy Score
KCNJ5 Antibodies
99.7% Relevancy Score
KCNJ9 Antibodies
99% Relevancy Score
GABBR2 Antibodies
95.9% Relevancy Score
GABBR1 Antibodies
95.3% Relevancy Score
PKA C alpha Antibodies
92.4% Relevancy Score
PRKACB Antibodies
92.4% Relevancy Score
PRKACG Antibodies
92.3% Relevancy Score
GNB1 Antibodies
91.6% Relevancy Score
Top