Primary Antibodies
Secondary Antibodies
Proteins & Peptides
ELISA Kits
About Us
Contact Us
Sign In/Register
0
ISO 9001:2015 Certified
Live Customer Support
4.5/5 on Trustpilot
100% Quality Guarantee
Home
Primary Antibodies
GJA8 Antibodies
Anti-GJA8 Antibody (A46867)
Anti-GJA8 Antibody (A46867)
Overview
Specifications
Images
Enlarge Image
Enlarge Image
$430
Product Datasheet
Rabbit polyclonal antibody to GJA8 for IHC.
100% Guarantee
Price Match Guarantee
Product Size:
100µl
Quantity:
1
2
3
4
5
6
7
8
9
10
Add To Cart
Request a Quotation
Custom or Bulk Request
Shipping Information
Freight/Packing Charges:
$40
Dispatched from St. Louis, MO.
Lead Time: 6-9 business days.
Specifications
Name
Anti-GJA8 Antibody
Description
Rabbit polyclonal antibody to GJA8
Specificity
The antibody detects endogenous levels of total GJA8 protein.
Applications
IHC
Reactivity
Human
Immunogen
Synthetic peptide corresponding to residues near the C terminal of human gap junction protein, alpha 8, 50kDa
Host
Rabbit
Clonality
Polyclonal
Conjugate
Unconjugated
Purification
Antigen affinity purification.
Concentration
1.9 mg/mL
Formulation
Supplied in PBS, pH 7.3, containing 0.05% sodium azide and 50% glycerol.
Storage
Shipped at 4°C. Upon delivery aliquot and store at -20°C. Avoid freeze/thaw cycles.
Synonyms
Connexin-50, Cx50, Gap junction alpha-8 protein, Lens fiber protein MP70
Suitable Secondaries
Goat Anti-Rabbit IgG H&L Antibody (AP) (A294874)
Goat Anti-Rabbit IgG H&L Antibody (Biotin) (A294795)
Goat Anti-Rabbit IgG H&L Antibody (FITC) (A294887)
Goat Anti-Rabbit IgG H&L Antibody (HRP) (A294888)
See all Anti-Rabbit IgG Secondaries →
Disclaimer
This product is for research use only. It is not intended for diagnostic or therapeutic use.
Scientific Validation Data
Validation Data
(2)
Enlarge Image
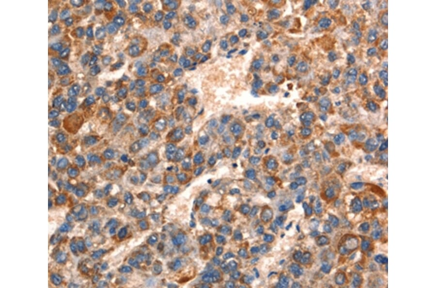
Immunohistochemistry - Anti-GJA8 Antibody (A46867)
Immunohistochemical analysis of paraffin-embedded Human liver cancer tissue using #37121 at dilution 1/15.
Enlarge Image
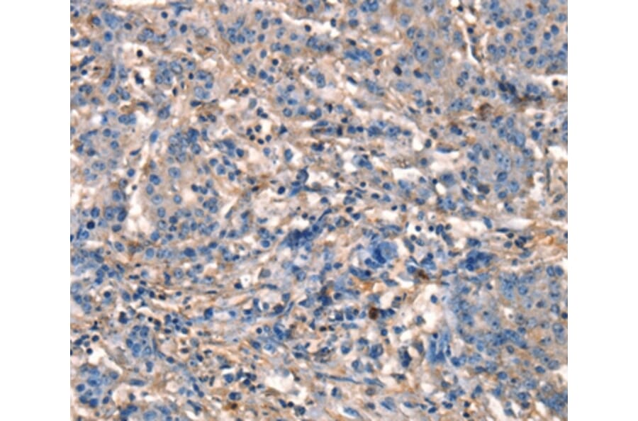
Immunohistochemistry - Anti-GJA8 Antibody (A46867)
Immunohistochemical analysis of paraffin-embedded Human gastric cancer tissue using #37121 at dilution 1/15.
Publishing research using Anti-GJA8 Antibody (A46867)? Please
let us know
so that we can list the citation on this page.
Alternative products to Anti-GJA8 Antibody (A46867)
(3)
A308599
Anti-Cx50 Antibody
Rabbit polyclonal antibody to Cx50 for WB and ICC/IF.
(3)
A308599
Anti-Cx50 Antibody
Rabbit polyclonal antibody to Cx50 for WB and ICC/IF.
Proteins predicted to interact with GJA8
Predicted protein interactions based upon String database. Revelancy score correlates with probability of interaction.
GJA3 Antibodies
99.5% Relevancy Score
Aquaporin 0 Antibodies
95.9% Relevancy Score
GJB2 Antibodies
95.6% Relevancy Score
CRYGD Antibodies
93.8% Relevancy Score
CRYBB2 Antibodies
93.6% Relevancy Score
beta Crystallin S Antibodies
92.2% Relevancy Score
Connexin 43 Antibodies
90.7% Relevancy Score
Connexin 32 Antibodies
87.3% Relevancy Score
LIM2 Antibodies
86.3% Relevancy Score
Top