Primary Antibodies
Secondary Antibodies
Proteins & Peptides
ELISA Kits
About Us
Contact Us
Sign In/Register
0
ISO 9001:2015 Certified
Live Customer Support
4.5/5 on Trustpilot
100% Quality Guarantee
Home
Primary Antibodies
Glycerol Kinase Antibodies
Anti-GK Antibody (A47286)
Anti-GK Antibody (A47286)
Overview
Specifications
Images
Enlarge Image
Enlarge Image
$430
Product Datasheet
Rabbit polyclonal antibody to GK for IHC.
100% Guarantee
Price Match Guarantee
Product Size:
100µl
Quantity:
1
2
3
4
5
6
7
8
9
10
Add To Cart
Request a Quotation
Custom or Bulk Request
Shipping Information
Freight/Packing Charges:
$40
Dispatched from St. Louis, MO.
Lead Time: 6-9 business days.
Specifications
Name
Anti-GK Antibody
Description
Rabbit polyclonal antibody to GK
Specificity
The antibody detects endogenous levels of total GK protein.
Applications
IHC
Reactivity
Human
Immunogen
Fusion protein corresponding to a region derived from internal residues of human glycerol kinase
Host
Rabbit
Clonality
Polyclonal
Conjugate
Unconjugated
Purification
Antigen affinity purification.
Concentration
2.7 mg/mL
Formulation
Supplied in PBS, pH 7.3, containing 0.05% sodium azide and 50% glycerol.
Storage
Shipped at 4°C. Upon delivery aliquot and store at -20°C. Avoid freeze/thaw cycles.
Synonyms
ATP:glycerol 3-phosphotransferase, Glycerokinase
Suitable Secondaries
Goat Anti-Rabbit IgG H&L Antibody (AP) (A294874)
Goat Anti-Rabbit IgG H&L Antibody (Biotin) (A294795)
Goat Anti-Rabbit IgG H&L Antibody (FITC) (A294887)
Goat Anti-Rabbit IgG H&L Antibody (HRP) (A294888)
See all Anti-Rabbit IgG Secondaries →
Disclaimer
This product is for research use only. It is not intended for diagnostic or therapeutic use.
Scientific Validation Data
Validation Data
(2)
Enlarge Image
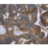
Immunohistochemistry - Anti-GK Antibody (A47286)
Immunohistochemical analysis of paraffin-embedded Human colon cancer tissue using #36507 at dilution 1/60.
Enlarge Image
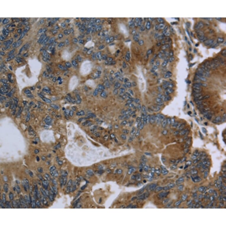
Immunohistochemistry - Anti-GK Antibody (A47286)
Immunohistochemical analysis of paraffin-embedded Human liver cancer tissue using #36507 at dilution 1/60.
Publishing research using Anti-GK Antibody (A47286)? Please
let us know
so that we can list the citation on this page.
Alternative products to Anti-GK Antibody (A47286)
(3)
A97056
Anti-GK Antibody
Rabbit polyclonal antibody to GK for WB, IF and ELISA.
(4)
A306329
Anti-Glycerol kinase Antibody [ARC2376]
Rabbit monoclonal [ARC2376] antibody to Glycerol kinase for WB and IHC.
(3)
A15196
Anti-Glycerol kinase Antibody
Rabbit polyclonal antibody to Glycerol kinase for WB and IHC.
(2)
A26198
Anti-GK/GK3 (H39) Antibody
Rabbit polyclonal antibody to GK/GK3 (H39) for WB and IHC.
A27983
Anti-GK Antibody
Rabbit polyclonal antibody to GK for WB and ICC.
A346273
Anti-Glycerol Kinase Antibody [24GB3000]
Recombinant rabbit monoclonal [24GB3000] antibody to Glycerol Kinase for WB, Flow Cytometry and ICC/IF.
A116611
Anti-Glycerol Kinase Antibody
Rabbit polyclonal antbody to Glycerol Kinase for IF, ELISA, Dot and WB.
A116838
Anti-Glycerol Kinase Antibody
Rabbit polyclonal antbody to Glycerol Kinase for IF, ELISA, Dot and WB.
A116613
Anti-Glycerol Kinase Antibody
Rabbit polyclonal antbody to Glycerol Kinase for IP.
(3)
A97056
Anti-GK Antibody
Rabbit polyclonal antibody to GK for WB, IF and ELISA.
(4)
A306329
Anti-Glycerol kinase Antibody [ARC2376]
Rabbit monoclonal [ARC2376] antibody to Glycerol kinase for WB and IHC.
(3)
A15196
Anti-Glycerol kinase Antibody
Rabbit polyclonal antibody to Glycerol kinase for WB and IHC.
(2)
A26198
Anti-GK/GK3 (H39) Antibody
Rabbit polyclonal antibody to GK/GK3 (H39) for WB and IHC.
A27983
Anti-GK Antibody
Rabbit polyclonal antibody to GK for WB and ICC.
A346273
Anti-Glycerol Kinase Antibody [24GB3000]
Recombinant rabbit monoclonal [24GB3000] antibody to Glycerol Kinase for WB, Flow Cytometry and ICC/IF.
A116611
Anti-Glycerol Kinase Antibody
Rabbit polyclonal antbody to Glycerol Kinase for IF, ELISA, Dot and WB.
A116838
Anti-Glycerol Kinase Antibody
Rabbit polyclonal antbody to Glycerol Kinase for IF, ELISA, Dot and WB.
A116613
Anti-Glycerol Kinase Antibody
Rabbit polyclonal antbody to Glycerol Kinase for IP.
See all GK Antibodies
Proteins predicted to interact with Glycerol Kinase
Predicted protein interactions based upon String database. Revelancy score correlates with probability of interaction.
VDAC3 Antibodies
97.2% Relevancy Score
VDAC1 Antibodies
96.8% Relevancy Score
GK2 Antibodies
95.8% Relevancy Score
GPAT3 Antibodies
94.1% Relevancy Score
Monoacylglycerol Lipase Antibodies
93.7% Relevancy Score
GPAM Antibodies
93.1% Relevancy Score
AKR1A1 Antibodies
92.7% Relevancy Score
AKR1B1 Antibodies
92.4% Relevancy Score
AKR1B10 Antibodies
92.4% Relevancy Score
Top