ISO 9001:2015 Certified
Live Customer Support
4.5/5 on Trustpilot
100% Quality Guarantee

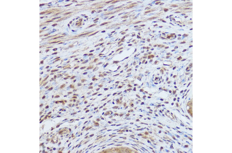
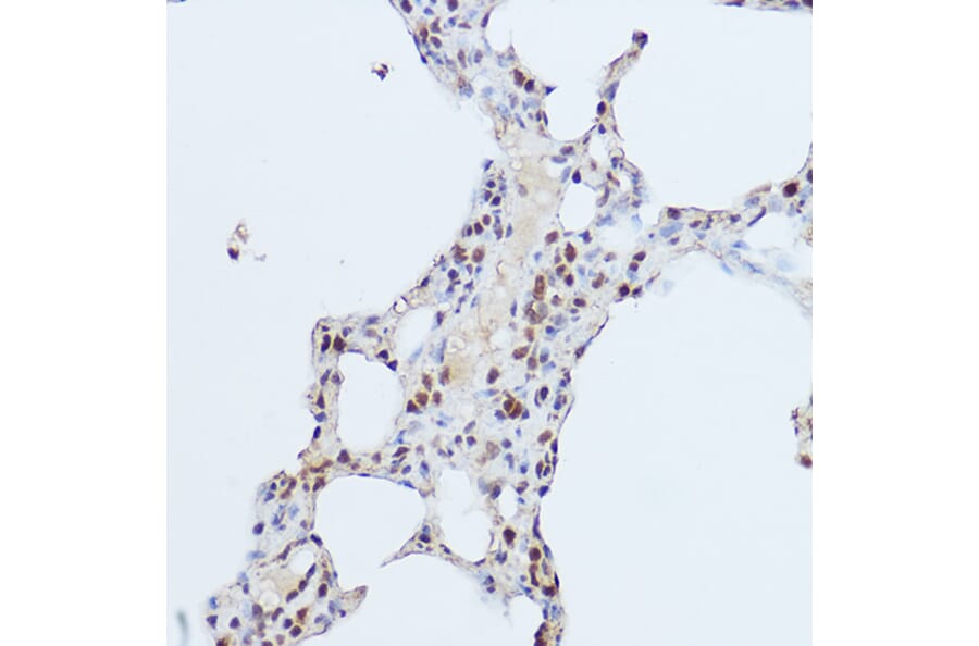
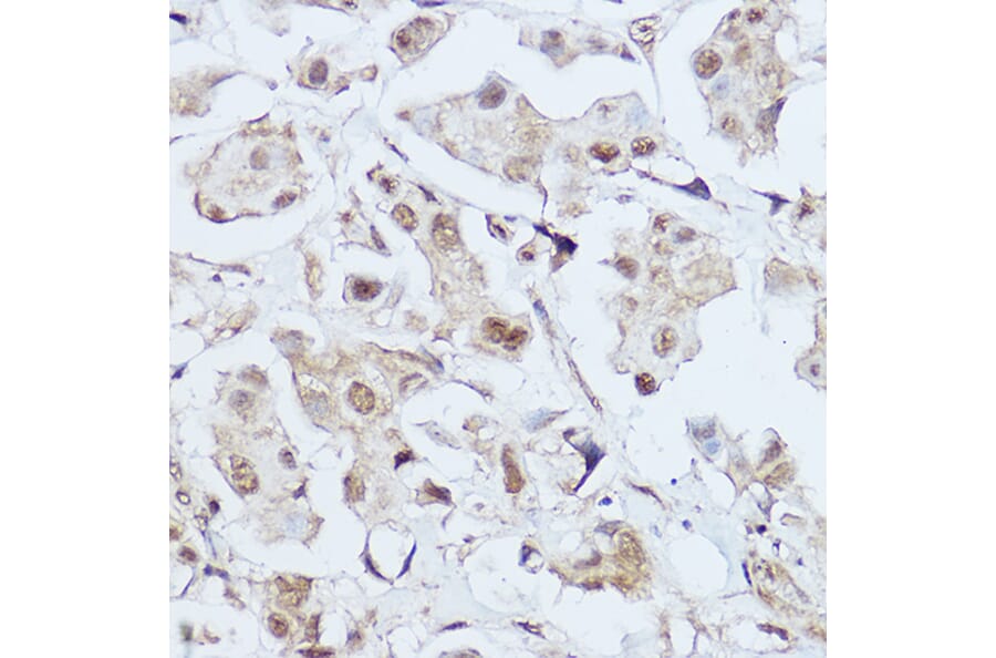
Anti-Gli1 Antibody (A87616)

Rabbit polyclonal antibody to Gli1 for WB, IHC and ICC/IF.

Shipping Information

$40
Dispatched from St. Louis, MO.
Lead Time: 7-10 business days.
Name
Anti-Gli1 Antibody
Description
Rabbit polyclonal antibody to Gli1.
Applications
WB, IHC, ICC/IF
Dilutions
WB: 1:500-1:1,000, IHC: 1:50-1:200, ICC/IF: 1:50-1:200
Reactivity
Human, Mouse, Rat
Immunogen
A synthetic peptide corresponding to a sequence within amino acids 350-450 of human GLI1 (NP_005260.1).
Sequence
KHQNRTHSNEKPYVCKLPGCTKRYTDPSSLRKHVKTVHGPDAHVTKRHRGDGPLPRAPSISTVEPKREREGGPIREESRLTVPEGAMKPQPSPGAQSSCSS
Host
Rabbit
Clonality
Polyclonal
Isotype
IgG
Conjugate

Unconjugated

Purification
Affinity purification.
Concentration
Lot Specific
Molecular Weight
150 kDa
Product Form
Liquid
Formulation
Supplied in Phosphate Buffered Saline, pH 7.3, with 50% Glycerol and 0.05% Proclin 300.
Storage
Shipped at 4°C. Upon delivery aliquot and store at -20°C. Avoid freeze/thaw cycles.
Synonyms
GLI, Glioma-associated oncogene, Oncogene GLI, Zinc finger protein GLI1
Disclaimer
This product is for research use only. It is not intended for diagnostic or therapeutic use.
Publishing research using Anti-Gli1 Antibody (A87616)? Please let us know so that we can list the citation on this page.

Alternative products to Anti-Gli1 Antibody (A87616)

Proteins predicted to interact with GLI1

Predicted protein interactions based upon String database. Revelancy score correlates with probability of interaction.
99.9% Relevancy Score
99.7% Relevancy Score
99% Relevancy Score
98.8% Relevancy Score
98.3% Relevancy Score
97.9% Relevancy Score
97.8% Relevancy Score
96.6% Relevancy Score
96.6% Relevancy Score