ISO 9001:2015 Certified
Live Customer Support
4.5/5 on Trustpilot
100% Quality Guarantee

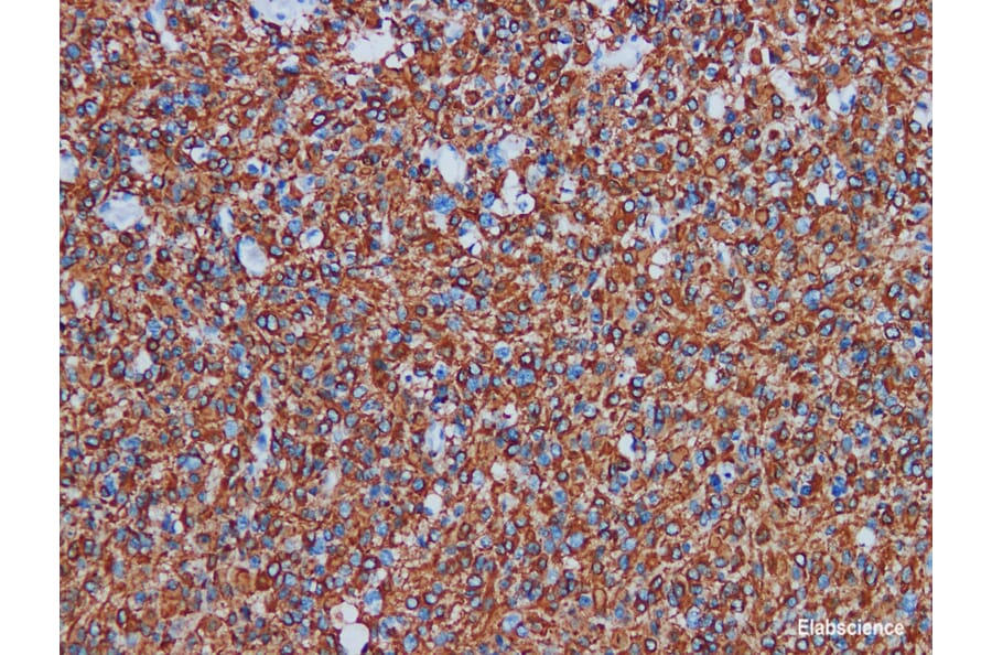
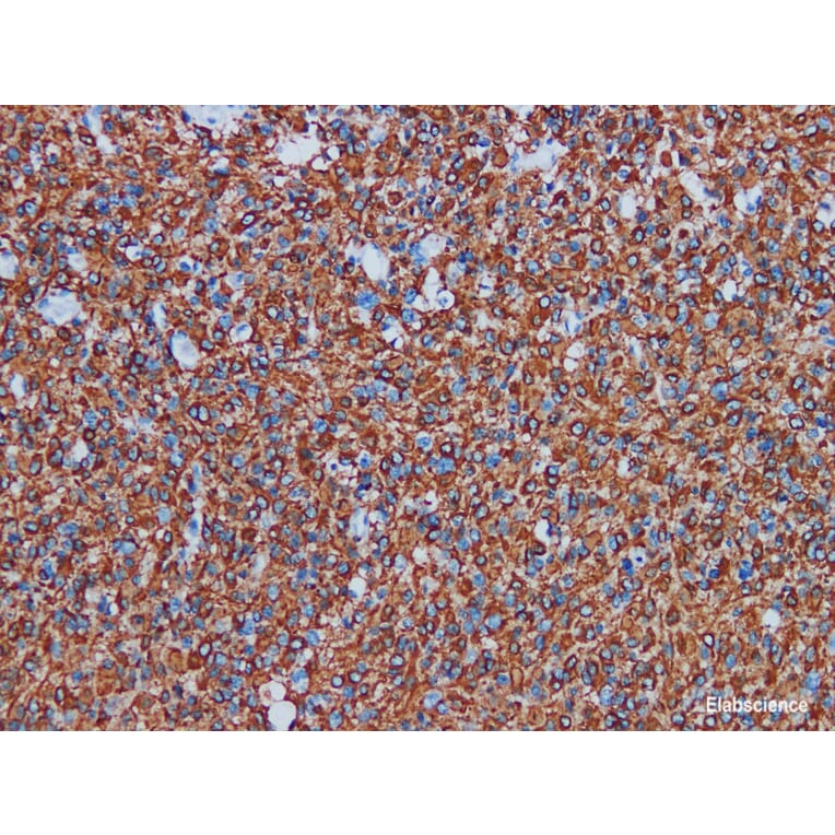
Anti-Glial Fibrillary Acidic Protein(GFAP) Antibody [YN00865r] (A288810)

This product is discontinued

Anti-Glial Fibrillary Acidic Protein(GFAP) Antibody [YN00865r] (A288810) has been discontinued and is no longer available.

View all available products.

Name
Anti-Glial Fibrillary Acidic Protein(GFAP) Antibody [YN00865r]
Description
Rabbit monoclonal [YN00865r] antibody to Glial Fibrillary Acidic Protein(GFAP).
Applications
IHC-P
Reactivity
Human
Host
Rabbit
Clonality
Monoclonal
Clone ID
YN00865r
Conjugate

Unconjugated

Concentration
100 µg/ml for the RTU antibody, 1 mg/ml for the concentrated antibody
Product Form
Liquid
Formulation
Supplied in Tris Buffered Saline, pH7.4, with 0.1% Proclin 300.
Storage
Shipped at 4°C. Upon delivery aliquot and store at -20°C. Avoid freeze / thaw cycles.
Disclaimer
This product is for research use only. It is not intended for diagnostic or therapeutic use.