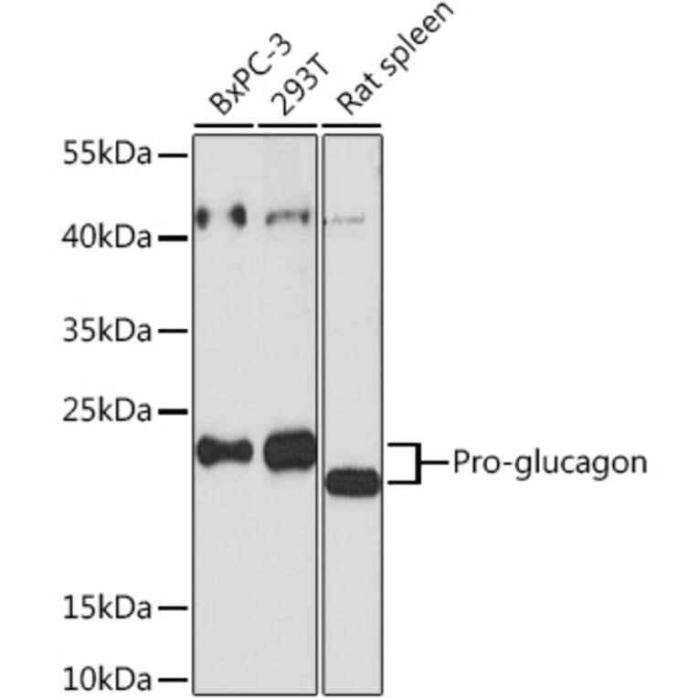
Western blot analysis of extracts of various cell lines, using Anti-Glucagon Antibody (A88751) at 1:3,000 dilution. The secondary antibody was Goat Anti-Rabbit IgG H&L Antibody (HRP) at 1:10,000 dilution. Lysates/proteins were present at 25µg per lane. The blocking buffer used was 3% non-fat dry milk in TBST. Detection was with a ECL Basic Kit. Exposure time: 90s.
Immunohistochemistry analysis of paraffin-embedded human islet using Anti-Glucagon Antibody (A88751) at a dilution of 1:50 (40x lens). Perform high pressure antigen retrieval with 10 mM citrate buffer pH 6.0 before commencing with IHC staining protocol.
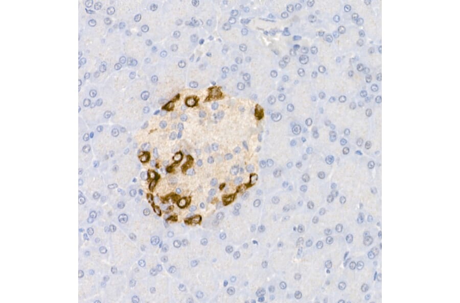
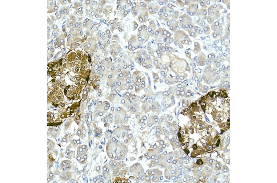
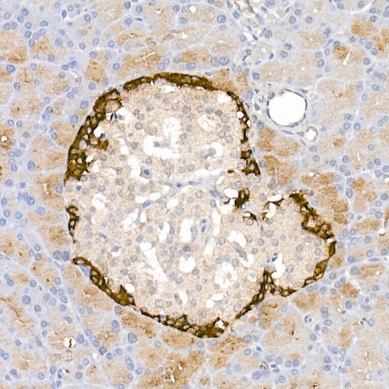
Immunohistochemistry analysis of paraffin-embedded mouse pancreatic islet using Anti-Glucagon Antibody (A88751) at a dilution of 1:50 (40x lens). Perform high pressure antigen retrieval with 10 mM citrate buffer pH 6.0 before commencing with IHC staining protocol.
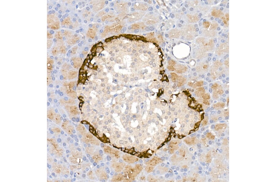
Immunohistochemistry analysis of paraffin-embedded rat pancreatic islet using Anti-Glucagon Antibody (A88751) at a dilution of 1:50 (40x lens). Perform high pressure antigen retrieval with 10 mM citrate buffer pH 6.0 before commencing with IHC staining protocol.
Immunofluorescence analysis of rat pancreas cells using Anti-Glucagon Antibody (A88751) at a dilution of 1:100 (40x lens). DAPI was used to stain the cell nuclei (blue).
Immunofluorescence analysis of mouse pancreas cells using Anti-Glucagon Antibody (A88751) at a dilution of 1:100 (40x lens). DAPI was used to stain the cell nuclei (blue).