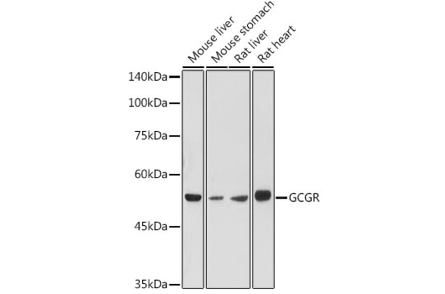
Western Blot - Anti-Glucagon Receptor Antibody (A8677)
Western blot analysis of extracts of various cell lines, using Anti-Glucagon Receptor Antibody (A8677) at 1:1,000 dilution. The secondary antibody was Goat Anti-Rabbit IgG H&L Antibody (HRP) at 1:10,000 dilution. Lysates/proteins were present at 25µg per lane. The blocking buffer used was 3% non-fat dry milk in TBST. Detection was with a ECL Basic Kit. Exposure time: 10s.
Western Blot - Anti-Glucagon Receptor Antibody (A8677)
Western blot analysis of extracts of various cell lines, using Anti-Glucagon Receptor Antibody (A8677) at 1:1,000 dilution. The secondary antibody was Goat Anti-Rabbit IgG H&L Antibody (HRP) at 1:10,000 dilution. Lysates/proteins were present at 25µg per lane. The blocking buffer used was 3% non-fat dry milk in TBST. Detection was with a ECL Basic Kit. Exposure time: 180s.
Immunofluorescence analysis of rat liver cells using Anti-Glucagon Receptor Antibody (A8677) at a dilution of 1:50 (40x lens). DAPI was used to stain the cell nuclei (blue).
Publishing research using Anti-Glucagon Receptor Antibody (A8677)? Please let us know so that we can list the citation on this page.
Alternative products to Anti-Glucagon Receptor Antibody (A8677)
Recombinant human monoclonal antibody to GCGR for use as a research grade Volagidemab biosimilar for ELISA, Flow Cytometry, Functional Studies and in vivo Research.
Recombinant human monoclonal antibody to GCGR for use as a research grade Crotedumab biosimilar for ELISA, Flow Cytometry, Functional Studies and in vivo Research.
Recombinant human monoclonal antibody to GCGR for use as a research grade Volagidemab biosimilar for ELISA, Flow Cytometry, Functional Studies and in vivo Research.
Recombinant human monoclonal antibody to GCGR for use as a research grade Crotedumab biosimilar for ELISA, Flow Cytometry, Functional Studies and in vivo Research.