ISO 9001:2015 Certified
Live Customer Support
4.5/5 on Trustpilot
100% Quality Guarantee

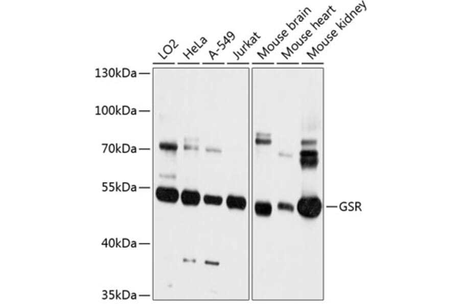
Anti-Glutathione Reductase Antibody (A81197)

Rabbit polyclonal antibody to Glutathione Reductase for WB.

Shipping Information

$40
Dispatched from St. Louis, MO.
Lead Time: 7-10 business days.
Name
Anti-Glutathione Reductase Antibody
Description
Rabbit polyclonal antibody to Glutathione Reductase.
Applications
WB
Dilutions
WB: 1:500-1:2,000
Reactivity
Human, Mouse
Immunogen
Recombinant fusion protein containing a sequence corresponding to amino acids 273-522 of human GSR (NP_000628.2).
Sequence
MISTNCTEELENAGVEVLKFSQVKEVKKTLSGLEVSMVTAVPGRLPVMTMIPDVDCLLWAIGRVPNTKDLSLNKLGIQTDDKGHIIVDEFQNTNVKGIYAVGDVCGKALLTPVAIAAGRKLAHRLFEYKEDSKLDYNNIPTVVFSHPPIGTVGLTEDEAIHKYGIENVKTYSTSFTPMYHAVTKRKTKCVMKMVCANKEEKVVGIHMQGLGCDEMLQGFAVAVKMGATKADFDNTVAIHPTSSEELVTLR
Host
Rabbit
Clonality
Polyclonal
Isotype
IgG
Conjugate

Unconjugated

Purification
Affinity purification.
Concentration
Lot Specific
Molecular Weight
55 kDa
Product Form
Liquid
Formulation
Supplied in Phosphate Buffered Saline, pH 7.3, with 50% Glycerol and 0.01% Thiomersal.
Storage
Shipped at 4°C. Upon delivery aliquot and store at -20°C. Avoid freeze/thaw cycles.
Synonyms
GLR1, GLUR, Glutathione reductase mitochondrial, Glutathione reductase, mitochondrial, GR, Gr1, GRase, GRD 1, GRD1, GSHR_HUMAN, GSR, MGC78522
Disclaimer
This product is for research use only. It is not intended for diagnostic or therapeutic use.
Publishing research using Anti-Glutathione Reductase Antibody (A81197)? Please let us know so that we can list the citation on this page.

Alternative products to Anti-Glutathione Reductase Antibody (A81197)