SDS-PAGE - Anti-Glutathione S Transferase Mu 3 Antibody [CPTC-GSTMu3-1] - BSA and Azide free (A251959)
SDS-PAGE analysis of Anti-Glutathione S Transferase Mu 3 Antibody [CPTC-GSTMu3-1] under non-reduced and reduced conditions; showing intact IgG and intact heavy and light chains, respectively. SDS-PAGE analysis confirms the integrity and purity of the antibody.
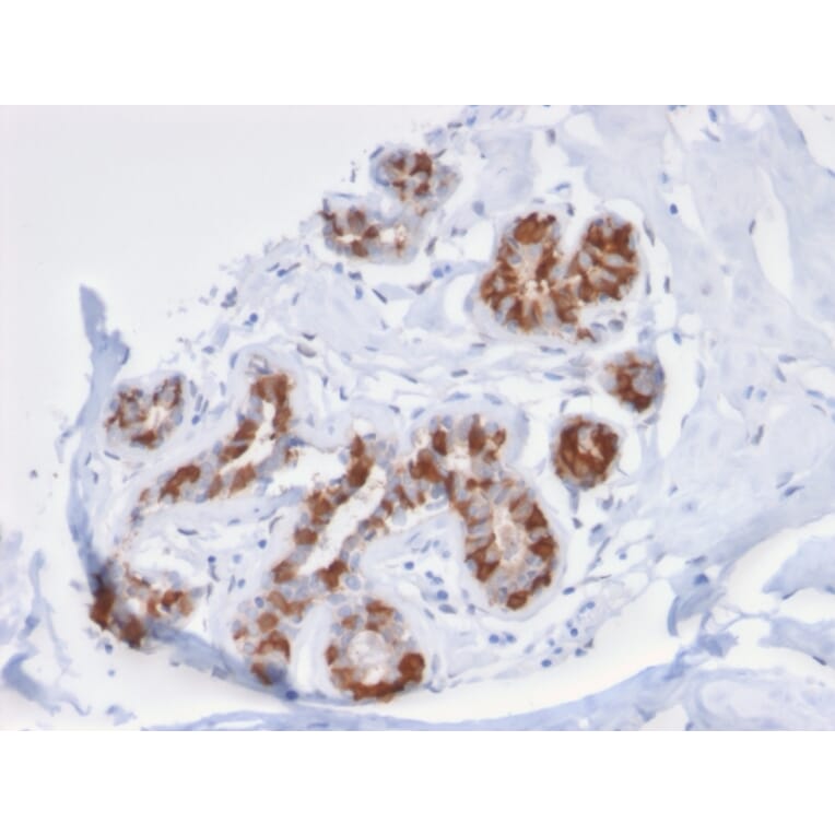
Immunohistochemistry - Anti-Glutathione S Transferase Mu 3 Antibody [CPTC-GSTMu3-1] - BSA and Azide free (A251959)
Immunohistochemical analysis of formalin-fixed, paraffin-embedded human breast carcinoma using Anti-Glutathione S Transferase Mu 3 Antibody [CPTC-GSTMu3-1].
Anti-Glutathione S Transferase Mu 3 Antibody [CPTC-GSTMu3-1] - BSA and Azide free (A251959)
Analysis of protein array containing more than 19,000 full-length human proteins using Anti-Glutathione S Transferase Mu 3 Antibody [CPTC-GSTMu3-1]. Z-Score and S- Score: The Z-score represents the strength of a signal that a monoclonal antibody (MAb) (in combination with a fluorescently-tagged anti-IgG secondary antibody) produces when binding to a particular protein on the HuProtTM array. Z-scores are described in units of standard deviations (SD's) above the mean value of all signals generated on that array. If targets on HuProtTM are arranged in descending order of the Z-score, the S-score is the difference (also in units of SD's) between the Z-score. S-score therefore represents the relative target specificity of a MAb to its intended target; a MAb is considered to be specific to its intended target, if the MAb has an S-score of at least 2.5. For example, if a MAb binds to protein X with a Z-score of 43 and to protein Y with a Z-score of 14, then the S-score for the binding of that MAb to protein X is equal to 29.
Publishing research using Anti-Glutathione S Transferase Mu 3 Antibody [CPTC-GSTMu3-1] - BSA and Azide free (A251959)? Please let us know so that we can list the citation on this page.