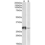
Western Blot - Anti-Glutathione S Transferase Omega 1/p28 Antibody (A83089)
Glutathione S Transferase Omega 1/p28 expression in Human Liver (A) and Peripheral Blood Lymphocytes (B) lysates analyzed by western blot. Cells were lysed in RIPA buffer and 35µg protein was run per lane. Primary antibody incubation was performed for 1 hour with Anti-Glutathione S Transferase Omega 1/p28 Antibody (A83089) at 0.5µg/ml and detected by chemiluminescence.
Publishing research using Anti-Glutathione S Transferase Omega 1/p28 Antibody (A83089)? Please let us know so that we can list the citation on this page.