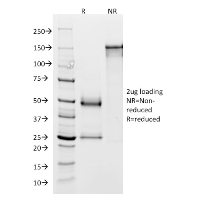
SDS-PAGE analysis of Anti-Glycoprotein 2 Antibody [GP2/1803] under non-reduced and reduced conditions; showing intact IgG and intact heavy and light chains, respectively. SDS-PAGE analysis confirms the integrity and purity of the antibody.
Anti-Glycoprotein 2 Antibody [GP2/1803] - BSA and Azide free (A254316)
Analysis of protein array containing more than 19,000 full-length human proteins using Anti-Glycoprotein 2 Antibody [GP2/1803]. Z-Score and S- Score: The Z-score represents the strength of a signal that a monoclonal antibody (MAb) (in combination with a fluorescently-tagged anti-IgG secondary antibody) produces when binding to a particular protein on the HuProtTM array. Z-scores are described in units of standard deviations (SD's) above the mean value of all signals generated on that array. If targets on HuProtTM are arranged in descending order of the Z-score, the S-score is the difference (also in units of SD's) between the Z-score. S-score therefore represents the relative target specificity of a MAb to its intended target; a MAb is considered to be specific to its intended target, if the MAb has an S-score of at least 2.5. For example, if a MAb binds to protein X with a Z-score of 43 and to protein Y with a Z-score of 14, then the S-score for the binding of that MAb to protein X is equal to 29.
Western Blot - Anti-Glycoprotein 2 Antibody [GP2/1803] - BSA and Azide free (A254316)
Western blot analysis of human pancreas tissue lysate using Anti-Glycoprotein 2 Antibody [GP2/1803].
Publishing research using Anti-Glycoprotein 2 Antibody [GP2/1803] - BSA and Azide free (A254316)? Please let us know so that we can list the citation on this page.