Primary Antibodies
Secondary Antibodies
Proteins & Peptides
ELISA Kits
About Us
Contact Us
Sign In/Register
0
ISO 9001:2015 Certified
Live Customer Support
4.5/5 on Trustpilot
100% Quality Guarantee
Home
Primary Antibodies
GMFG Antibodies
Anti-GMFG Antibody (A38711)
Anti-GMFG Antibody (A38711)
Overview
Specifications
Images
Enlarge Image
Enlarge Image
$430
Rabbit polyclonal antibody to GMFG for WB and IHC.
100% Guarantee
Price Match Guarantee
Product Size:
100µl
Quantity:
1
2
3
4
5
6
7
8
9
10
Add To Cart
Request a Quotation
Custom or Bulk Request
Shipping Information
Freight/Packing Charges:
$40
Dispatched from St. Louis, MO.
Lead Time: 6-9 business days.
Specifications
Name
Anti-GMFG Antibody
Description
Rabbit polyclonal antibody to GMFG
Specificity
The antibody detects endogenous levels of total GMFG protein.
Applications
WB
,
IHC
Reactivity
Human, Mouse
Immunogen
Full length fusion protein
Host
Rabbit
Clonality
Polyclonal
Conjugate
Unconjugated
Purification
Antigen affinity purification.
Concentration
2.3 mg/ml
Formulation
Rabbit IgG in pH7.3 PBS, 0.05% NaN3, 50% Glycerol.
Storage
Store at -20˚C
Synonyms
Glia maturation factor gamma, GMF-gamma
Suitable Secondaries
Goat Anti-Rabbit IgG H&L Antibody (AP) (A294874)
Goat Anti-Rabbit IgG H&L Antibody (Biotin) (A294795)
Goat Anti-Rabbit IgG H&L Antibody (FITC) (A294887)
Goat Anti-Rabbit IgG H&L Antibody (HRP) (A294888)
See all Anti-Rabbit IgG Secondaries →
Disclaimer
This product is for research use only. It is not intended for diagnostic or therapeutic use.
Scientific Validation Data
Validation Data
(2)
Enlarge Image
Anti-GMFG Antibody (A38711)
Gel: 10% SDS-PAGE Lysates (from left to right): Mouse heart and human fetal brain tissue Amount of lysate: 40ug per lane Primary antibody: 1/1142 dilution Secondary antibody dilution: 1/8000 Exposure time: 10 seconds
Enlarge Image
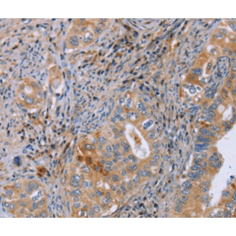
Immunohistochemistry - Anti-GMFG Antibody (A38711)
Immunohistochemical analysis of paraffin-embedded Human cervical cancer tissue using #36200 at dilution 1/50.
Publishing research using Anti-GMFG Antibody (A38711)? Please
let us know
so that we can list the citation on this page.
Alternative products to Anti-GMFG Antibody (A38711)
A88546
Anti-GMFG Antibody
Rabbit polyclonal antibody to GMFG for WB.
A88546
Anti-GMFG Antibody
Rabbit polyclonal antibody to GMFG for WB.
Proteins predicted to interact with GMFG
Predicted protein interactions based upon String database. Revelancy score correlates with probability of interaction.
ARP2 Antibodies
97.5% Relevancy Score
ARPC1B Antibodies
92.7% Relevancy Score
ARP3 Antibodies
88.4% Relevancy Score
ARPC2 Antibodies
87.8% Relevancy Score
ARPC3 Antibodies
83.1% Relevancy Score
ARPC4 Antibodies
81.9% Relevancy Score
LAPTM5 Antibodies
70.4% Relevancy Score
HCLS1 Antibodies
59.5% Relevancy Score
TWF2 Antibodies
59.2% Relevancy Score
Top