ISO 9001:2015 Certified
Live Customer Support
4.5/5 on Trustpilot
100% Quality Guarantee

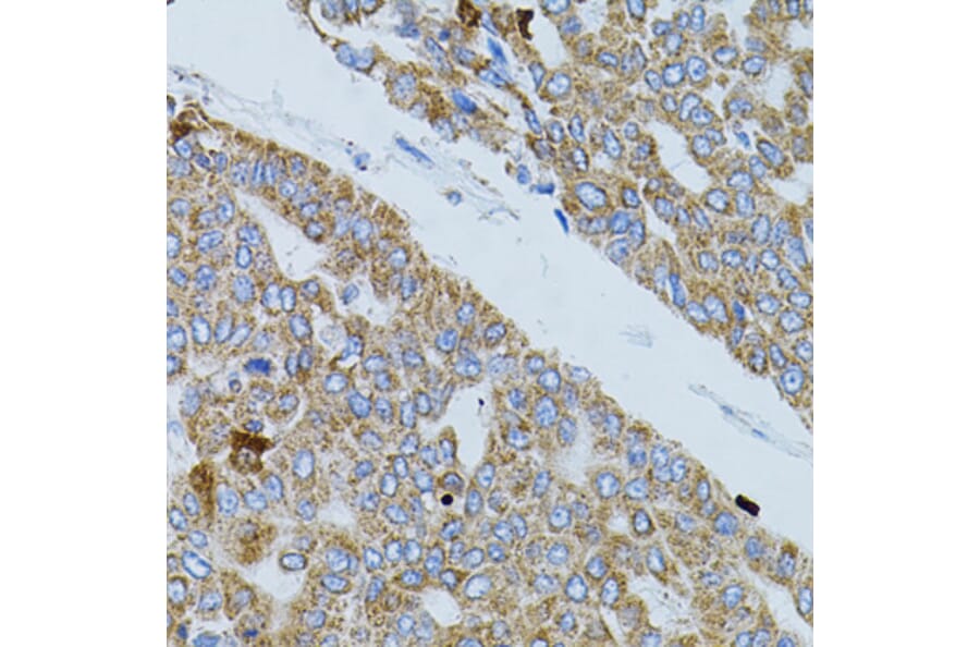
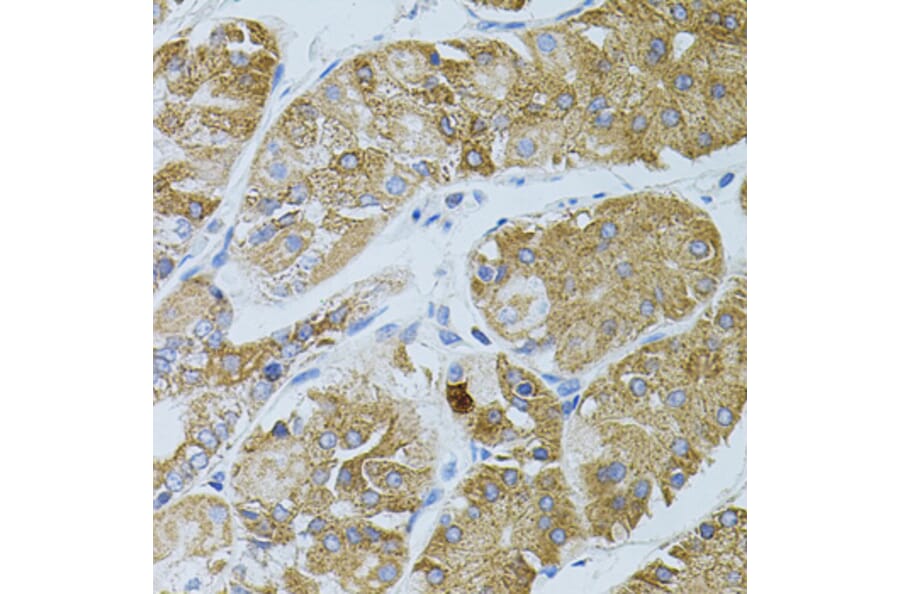
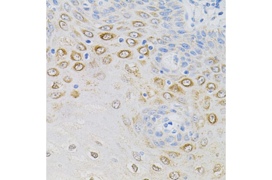
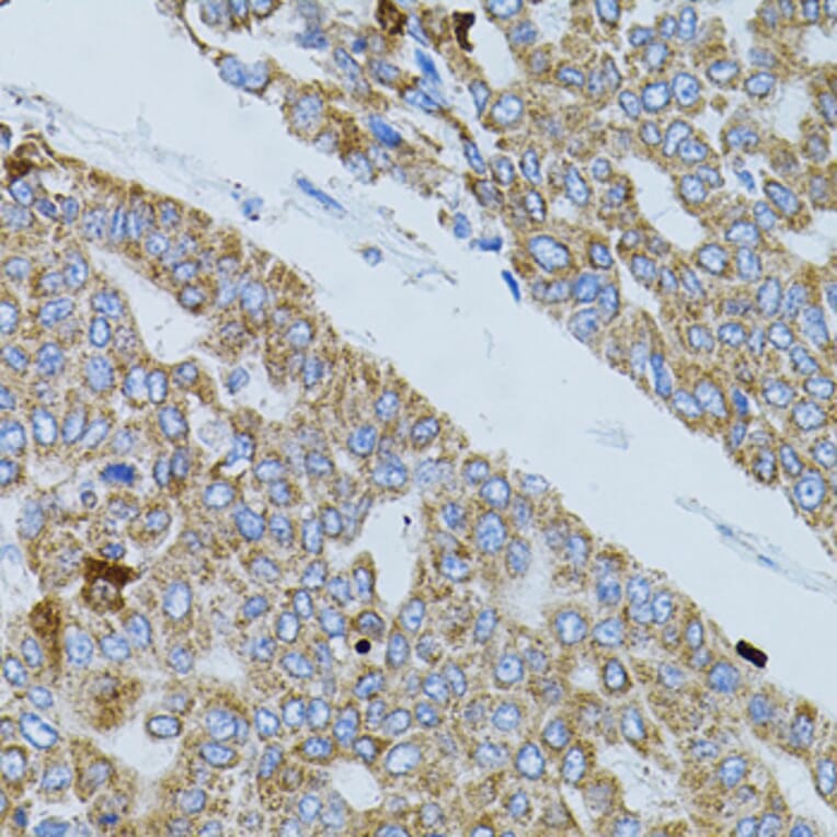
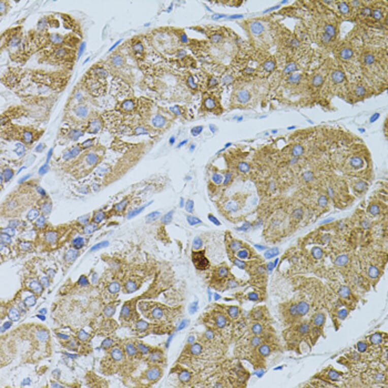
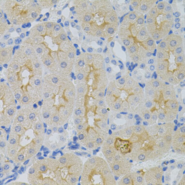
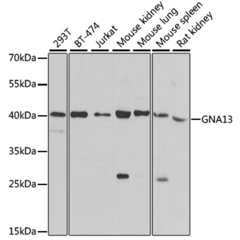
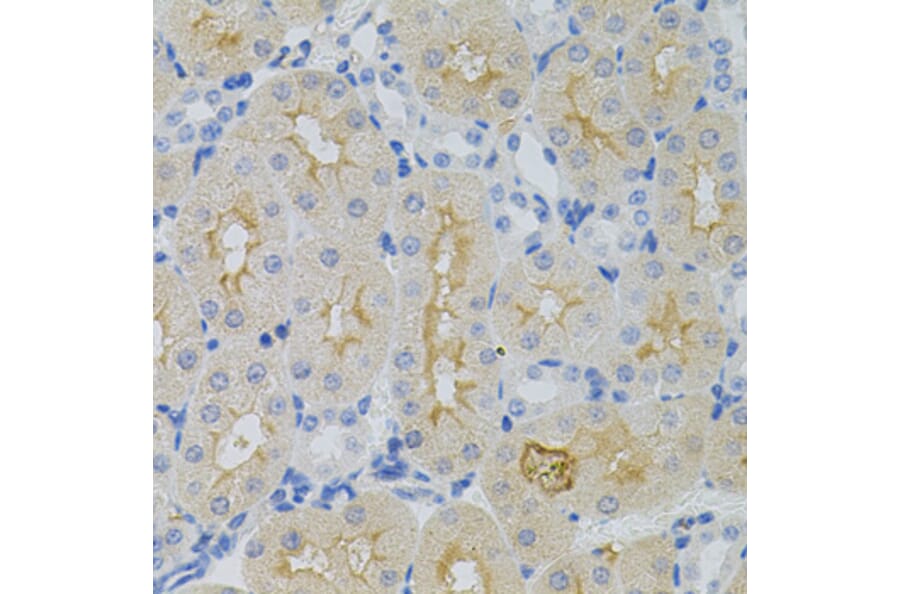
Anti-GNA13 Antibody (A14947)

This product is discontinued

Anti-GNA13 Antibody (A14947) has been discontinued and is no longer available.

View all GNA13 Antibodies.

Name
Anti-GNA13 Antibody
Description
Rabbit polyclonal antibody to GNA13.
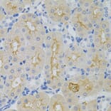
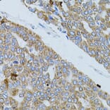
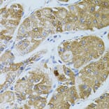
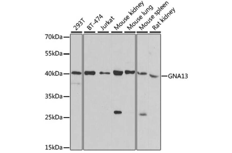
Applications
WB, IHC, IF
Dilutions
WB: 1:500-1:2000, IHC: 1:100-1:200, IF: 1:50-1:200
Reactivity
Human, Mouse, Rat
Immunogen
Recombinant protein of human GNA13.
Host
Rabbit
Clonality
Polyclonal
Isotype
IgG
Conjugate

Unconjugated

Purification
Affinity purification.
Molecular Weight
44kDa
Formulation
Supplied in Phosphate Buffered Saline, pH 7.30, with 0.02% Sodium Azide and 50% Glycerol.
Storage
Shipped at 4°C. Upon delivery aliquot and store at -20°C. Avoid freeze / thaw cycles.
Synonyms
G alpha-13, G-protein subunit alpha-13, Guanine nucleotide-binding protein subunit alpha-13
Disclaimer
This product is for research use only. It is not intended for diagnostic or therapeutic use.

Alternative products to Anti-GNA13 Antibody (A14947)

Proteins predicted to interact with GNA13

Predicted protein interactions based upon String database. Revelancy score correlates with probability of interaction.
99.9% Relevancy Score
99.9% Relevancy Score
99.9% Relevancy Score
99.8% Relevancy Score
99.4% Relevancy Score
99.2% Relevancy Score
99.1% Relevancy Score
99.1% Relevancy Score
98.9% Relevancy Score