ISO 9001:2015 Certified
Live Customer Support
4.5/5 on Trustpilot
100% Quality Guarantee

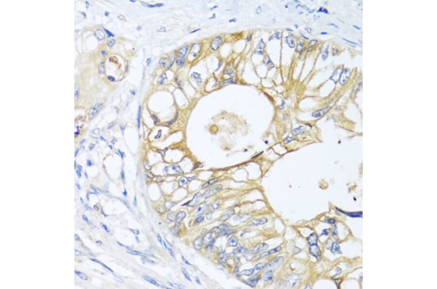
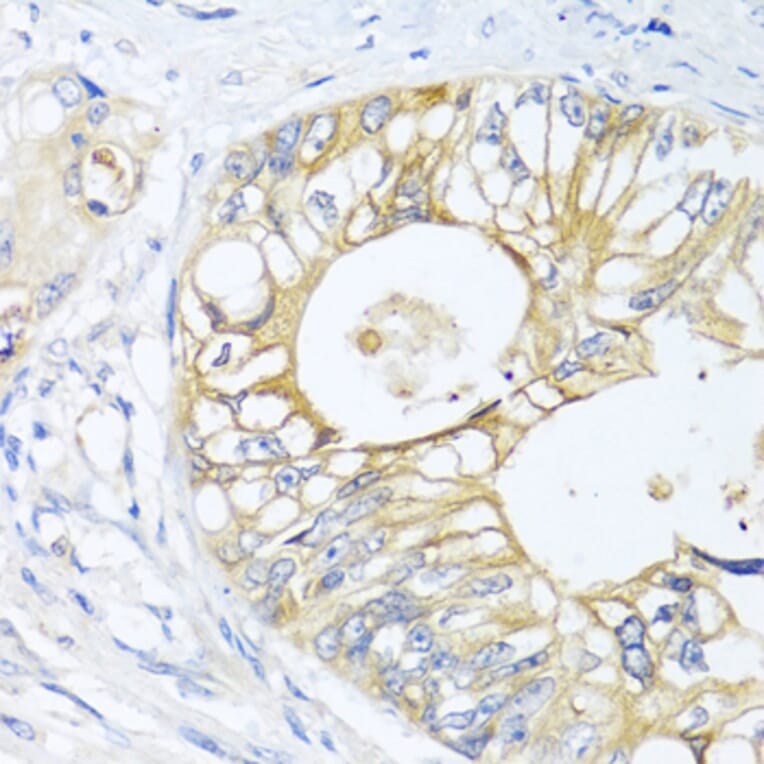
Anti-GNAI3 Antibody (A13745)

This product is discontinued

Anti-GNAI3 Antibody (A13745) has been discontinued and is no longer available.

View all GNAI3 Antibodies.

Name
Anti-GNAI3 Antibody
Description
Rabbit polyclonal antibody to GNAI3.
Applications
WB, IHC
Dilutions
WB: 1:1,000-1:2,000, IHC: 1:50-1:100
Reactivity
Human, Rat
Immunogen
A synthetic peptide corresponding to a sequence within amino acids 1-100 of human GNAI3 (NP_006487.1).
Sequence
MGCTLSAEDKAAVERSKMIDRNLREDGEKAAKEVKLLLLGAGESGKSTIVKQMKIIHEDGYSEDECKQYKVVVYSNTIQSIIAIIRAMGRLKIDFGEAAR
Host
Rabbit
Clonality
Polyclonal
Isotype
IgG
Conjugate

Unconjugated

Purification
Affinity purification.
Molecular Weight
41 - 45 kDa
Product Form
Liquid
Formulation
Supplied in Phosphate Buffered Saline, pH 7.3, with 50% Glycerol and 0.02% Sodium Azide.
Storage
Shipped at 4°C. Upon delivery aliquot and store at -20°C. Avoid freeze / thaw cycles.
Synonyms
G(i) alpha-3, Guanine nucleotide-binding protein G(i) subunit alpha-3
Disclaimer
This product is for research use only. It is not intended for diagnostic or therapeutic use.

Alternative products to Anti-GNAI3 Antibody (A13745)

Proteins predicted to interact with GNAI3

Predicted protein interactions based upon String database. Revelancy score correlates with probability of interaction.
99.9% Relevancy Score
99.2% Relevancy Score
99.1% Relevancy Score
98.9% Relevancy Score
98.4% Relevancy Score
98.3% Relevancy Score
97.6% Relevancy Score
97.5% Relevancy Score
97.5% Relevancy Score