ISO 9001:2015 Certified
Live Customer Support
4.5/5 on Trustpilot
100% Quality Guarantee

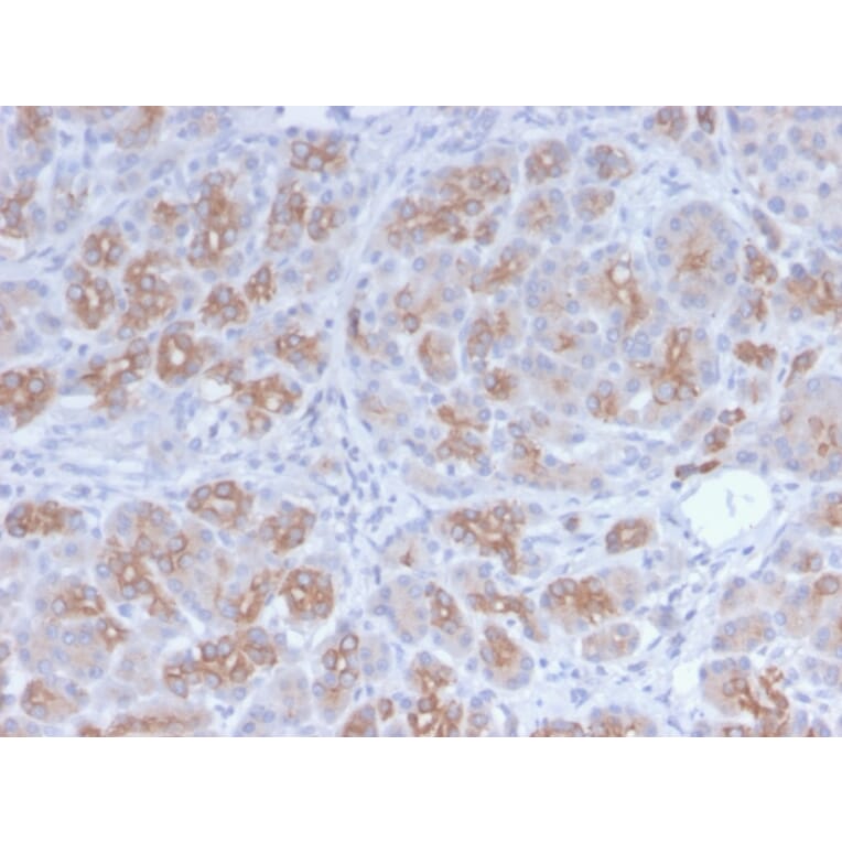
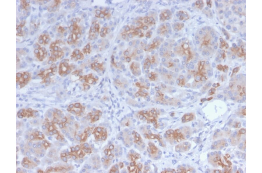
Recombinant Anti-Golgi Complex Antibody [GLG1/2829R] (A251015)

Recombinant rabbit monoclonal [GLG1/2829R] antibody to Golgi Complex for IHC-P.

Alternative Formats and ConjugatesAlternative Formats

Shipping Information

$40
Dispatched from St. Louis, MO.
Lead Time: 5-8 business days.
Name
Anti-Golgi Complex Antibody [GLG1/2829R]
Description
Recombinant rabbit monoclonal [GLG1/2829R] antibody to Golgi Complex.
Specificity
This antibody recognizes an antigen associated with the Golgi complex in human cells only. It can be used to stain the Golgi complex in cell or tissue preparations and can be used as a Golgi marker in subcellular fractions. It produces a diffuse staining pattern of the Golgi zone in normal and malignant cells. This antibody is an excellent marker for human cells in xenographic model research. It reacts specifically with human cells. The Golgi apparatus is an organelle present in all eukaryotic cells that forms a part of the endomembrane system. The primary function of the Golgi apparatus is to process and package macromolecules synthesized by the cell for exocytosis or use within the cell. The Golgi is made up of a stack of flattened, membrane-bound sacs known as cisternae, with three functional regions: the cis face, medial region and trans face. Each region consists of various enzymes that selectively modify the macromolecules passing though them, depending on where they are destined to reside. Several spherical vesicles that have budded off of the Golgi are present surrounding the main cisternae.
Applications
IHC-P
Dilutions
IHC-P: 1-2 µg/ml
Reactivity
Human
Cross Reactivity
This antibody does not cross react with Mouse or Rat.
Immunogen
SU-DHL-1 large cell lymphoma cells.
Host
Rabbit
Clonality
Monoclonal
Clone ID
GLG1/2829R
Isotype
IgG
Conjugate

Unconjugated

Purification
Protein A/G chromatography.
Concentration
200 µg/ml
Molecular Weight
134 kDa
Product Form
Liquid
Formulation
Supplied in 10mM Phosphate Buffered Saline with 0.05% BSA and 0.05% Sodium Azide.
Storage
Shipped at 4°C. Upon delivery aliquot and store at -20°C. Avoid freeze / thaw cycles.
General Notes
This monoclonal antibody is also available in a different formulation without BSA and Sodium Azide - Anti-Golgi Complex Antibody [GLG1/2829R] - BSA and Azide free (A254194).
Disclaimer
This product is for research use only. It is not intended for diagnostic or therapeutic use.
Publishing research using Recombinant Anti-Golgi Complex Antibody [GLG1/2829R] (A251015)? Please let us know so that we can list the citation on this page.

Alternative products to Anti-Golgi Complex Antibody [GLG1/2829R] (A251015)