Primary Antibodies
Secondary Antibodies
Proteins & Peptides
ELISA Kits
About Us
Contact Us
Sign In/Register
0
ISO 9001:2015 Certified
Live Customer Support
4.5/5 on Trustpilot
100% Quality Guarantee
Home
Primary Antibodies
Glycerol 3 Phosphate Dehydrogenase Antibodies
Anti-GPD1 Antibody (A38560)
Anti-GPD1 Antibody (A38560)
Overview
Specifications
Images
Enlarge Image
Enlarge Image
$415
Product Datasheet
Rabbit polyclonal antibody to GPD1 for WB and IHC.
100% Guarantee
Price Match Guarantee
Product Size:
50µl
100µl
Quantity:
1
2
3
4
5
6
7
8
9
10
Add To Cart
Request a Quotation
Custom or Bulk Request
Shipping Information
Freight/Packing Charges:
$40
Dispatched from St. Louis, MO.
Lead Time: 6-9 business days.
Specifications
Name
Anti-GPD1 Antibody
Description
Rabbit polyclonal antibody to GPD1
Specificity
The antibody detects endogenous level of total GPD1 protein.
Applications
WB
,
IHC
Reactivity
Human, Mouse, Rat
Immunogen
Recombinant protein of human GPD1.
Host
Rabbit
Clonality
Polyclonal
Conjugate
Unconjugated
Purification
Antibodies were purified by affinity purification using immunogen.
Concentration
1.0 mg/mL
Formulation
Supplied in phosphate-buffered saline (without Mg²? and Ca²?), pH 7.4, containing 150 mM NaCl, 0.02% sodium azide, and 50% glycerol.
Storage
Shipped at 4°C. Upon delivery aliquot and store at -20°C. Avoid freeze/thaw cycles.
Synonyms
Glycerol-3-phosphate dehydrogenase [NAD(+)], cytoplasmic, GPD-C, GPDH-C
Suitable Secondaries
Goat Anti-Rabbit IgG H&L Antibody (AP) (A294874)
Goat Anti-Rabbit IgG H&L Antibody (Biotin) (A294795)
Goat Anti-Rabbit IgG H&L Antibody (FITC) (A294887)
Goat Anti-Rabbit IgG H&L Antibody (HRP) (A294888)
See all Anti-Rabbit IgG Secondaries →
Disclaimer
This product is for research use only. It is not intended for diagnostic or therapeutic use.
Scientific Validation Data
Validation Data
(2)
Enlarge Image
Anti-GPD1 Antibody (A38560)
Western blot analysis of extracts of various tissues, using GPD1 antibody.
Enlarge Image
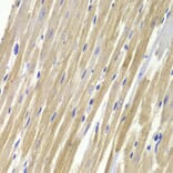
Immunohistochemistry - Anti-GPD1 Antibody (A38560)
Immunohistochemistry of paraffin-embedded Rat heart using GPD1 antibody at dilution of 1: 100 (x400 lens).
Publishing research using Anti-GPD1 Antibody (A38560)? Please
let us know
so that we can list the citation on this page.
Alternative products to Anti-GPD1 Antibody (A38560)
A31001
Anti-GPD1 Antibody
Rabbit polyclonal antibody to GPD1 for WB and IHC.
A14929
Anti-Glycerol 3 Phosphate Dehydrogenase Antibody
Rabbit polyclonal antibody to Glycerol 3 Phosphate Dehydrogenase for WB.
A31001
Anti-GPD1 Antibody
Rabbit polyclonal antibody to GPD1 for WB and IHC.
A14929
Anti-Glycerol 3 Phosphate Dehydrogenase Antibody
Rabbit polyclonal antibody to Glycerol 3 Phosphate Dehydrogenase for WB.
Proteins predicted to interact with Glycerol 3 Phosphate Dehydrogenase
Predicted protein interactions based upon String database. Revelancy score correlates with probability of interaction.
GPD2 Antibodies
99.7% Relevancy Score
GPAM Antibodies
97.2% Relevancy Score
GNPAT Antibodies
96.7% Relevancy Score
GPAT3 Antibodies
94.2% Relevancy Score
GPD1L Antibodies
94.2% Relevancy Score
GPAT4 Antibodies
93.2% Relevancy Score
AGPAT2 Antibodies
90.4% Relevancy Score
AGPAT3 Antibodies
89.2% Relevancy Score
AGPAT1 Antibodies
88.3% Relevancy Score
Top