Primary Antibodies
Secondary Antibodies
Proteins & Peptides
ELISA Kits
About Us
Contact Us
Sign In/Register
0
ISO 9001:2015 Certified
Live Customer Support
4.5/5 on Trustpilot
100% Quality Guarantee
Home
Primary Antibodies
Neuronal Membrane Glycoprotein M6-A Antibodies
Anti-GPM6A Antibody (A37880)
Anti-GPM6A Antibody (A37880)
Overview
Specifications
Images
Enlarge Image
Enlarge Image
$430
Product Datasheet
Rabbit polyclonal antibody to GPM6A for WB and IHC.
100% Guarantee
Price Match Guarantee
Product Size:
100µl
Quantity:
1
2
3
4
5
6
7
8
9
10
Add To Cart
Request a Quotation
Custom or Bulk Request
Shipping Information
Freight/Packing Charges:
$40
Dispatched from St. Louis, MO.
Lead Time: 6-9 business days.
Specifications
Name
Anti-GPM6A Antibody
Description
Rabbit polyclonal antibody to GPM6A
Specificity
The antibody detects endogenous levels of total GPM6A protein.
Applications
WB
,
IHC
Reactivity
Human
Immunogen
Fusion protein corresponding to a region derived from internal residues of human glycoprotein M6A
Host
Rabbit
Clonality
Polyclonal
Conjugate
Unconjugated
Purification
Antigen affinity purification.
Concentration
1.9 mg/mL
Formulation
Supplied in PBS, pH 7.3, containing 0.05% sodium azide and 50% glycerol.
Storage
Shipped at 4°C. Upon delivery aliquot and store at -20°C. Avoid freeze/thaw cycles.
Synonyms
M6a
Suitable Secondaries
Goat Anti-Rabbit IgG H&L Antibody (AP) (A294874)
Goat Anti-Rabbit IgG H&L Antibody (Biotin) (A294795)
Goat Anti-Rabbit IgG H&L Antibody (FITC) (A294887)
Goat Anti-Rabbit IgG H&L Antibody (HRP) (A294888)
See all Anti-Rabbit IgG Secondaries →
Disclaimer
This product is for research use only. It is not intended for diagnostic or therapeutic use.
Scientific Validation Data
Validation Data
(2)
Enlarge Image
Anti-GPM6A Antibody (A37880)
Gel: 8% SDS-PAGE Lysates (from left to right): Human fetal brain tissue Amount of lysate: 20ug per lane Primary antibody: 1/950 dilution Secondary antibody dilution: 1/8000 Exposure time: 1 second
Enlarge Image
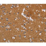
Immunohistochemistry - Anti-GPM6A Antibody (A37880)
Immunohistochemical analysis of paraffin-embedded Human brain cancer tissue using #36219 at dilution 1/40.
Publishing research using Anti-GPM6A Antibody (A37880)? Please
let us know
so that we can list the citation on this page.
Alternative products to Anti-GPM6A Antibody (A37880)
(3)
A83084
Anti-GPM6A Antibody
Goat polyclonal antibody to GPM6A for ELISA, WB and IHC.
(3)
A16288
Anti-GPM6A Antibody
Rabbit polyclonal antibody to GPM6A for WB and IHC.
(3)
A83084
Anti-GPM6A Antibody
Goat polyclonal antibody to GPM6A for ELISA, WB and IHC.
(3)
A16288
Anti-GPM6A Antibody
Rabbit polyclonal antibody to GPM6A for WB and IHC.
Proteins predicted to interact with Neuronal Membrane Glycoprotein M6-A
Predicted protein interactions based upon String database. Revelancy score correlates with probability of interaction.
Synaptophysin Antibodies
75.2% Relevancy Score
Synapsin I Antibodies
71.4% Relevancy Score
Mu Opioid Receptor Antibodies
67% Relevancy Score
GluR2 Antibodies
58.8% Relevancy Score
TIAM2 Antibodies
58.6% Relevancy Score
Tau Antibodies
57% Relevancy Score
SNAP25 Antibodies
56.7% Relevancy Score
Uroplakin Ib Antibodies
56.1% Relevancy Score
Uroplakin IIIB Antibodies
51.5% Relevancy Score
Top