Primary Antibodies
Secondary Antibodies
Proteins & Peptides
ELISA Kits
About Us
Contact Us
Sign In/Register
0
ISO 9001:2015 Certified
Live Customer Support
4.5/5 on Trustpilot
100% Quality Guarantee
Home
Primary Antibodies
GPCR GPR3 Antibodies
Anti-GPR3 Antibody (A48422)
Anti-GPR3 Antibody (A48422)
Overview
Specifications
Images
Enlarge Image
Enlarge Image
$780
Product Datasheet
Rabbit polyclonal antibody to GPR3 for ELISA, WB and IHC.
100% Guarantee
Price Match Guarantee
Product Size:
100µl
Quantity:
1
2
3
4
5
6
7
8
9
10
Add To Cart
Request a Quotation
Custom or Bulk Request
Shipping Information
Freight/Packing Charges:
$40
Dispatched from St. Louis, MO.
Lead Time: 6-9 business days.
Specifications
Name
Anti-GPR3 Antibody
Description
Rabbit polyclonal antibody to GPR3
Applications
ELISA
,
WB
,
IHC
Reactivity
Human, Mouse, Rat
Immunogen
Raised against a 13 amino acid peptide from near the carboxy terminus of human GPR3.
Host
Rabbit
Clonality
Polyclonal
Conjugate
Unconjugated
Purification
Affinity chromatography purified via peptide column
Formulation
Supplied in phosphate-buffered saline with 0.02% Sodium Azide.
Storage
Shipped at 4°C. Upon delivery aliquot and store at -20°C. Avoid freeze/thaw cycles.
Synonyms
ACCA, ACCA orphan receptor, G-protein coupled receptor 3
Suitable Secondaries
Goat Anti-Rabbit IgG H&L Antibody (AP) (A294874)
Goat Anti-Rabbit IgG H&L Antibody (Biotin) (A294795)
Goat Anti-Rabbit IgG H&L Antibody (FITC) (A294887)
Goat Anti-Rabbit IgG H&L Antibody (HRP) (A294888)
See all Anti-Rabbit IgG Secondaries →
Disclaimer
This product is for research use only. It is not intended for diagnostic or therapeutic use.
Scientific Validation Data
Validation Data
(2)
Enlarge Image
Anti-GPR3 Antibody (A48422)
Western blot analysis of GPR3 in EL4 cell lysate with GPR3 antibody at (A) 1 and (B) 2 µg/mL.
Enlarge Image
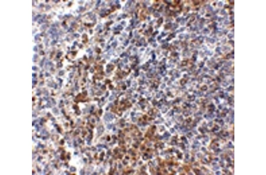
Immunohistochemistry - Anti-GPR3 Antibody (A48422)
Immunohistochemistry of GPR3 in human spleen tissue with GPR3 antibody at 2.5 µg/mL.
Publishing research using Anti-GPR3 Antibody (A48422)? Please
let us know
so that we can list the citation on this page.
Alternative products to Anti-GPR3 Antibody (A48422)
(2)
A48136
Anti-GPR3 Antibody
Rabbit polyclonal antibody to GPR3 for ELISA, WB and IHC.
A82501
Anti-GPCR GPR3 Antibody
Goat polyclonal antibody to GPCR GPR3 for ELISA and WB.
A54322
Anti-GPCR GPR3 Antibody
Rabbit polyclonal antibody to GPCR GPR3 for ELISA and WB.
A334466
Anti-GPCR GPR3 Antibody
Rabbit polyclonal antibody to GPCR GPR3 for WB.
(2)
A48136
Anti-GPR3 Antibody
Rabbit polyclonal antibody to GPR3 for ELISA, WB and IHC.
A82501
Anti-GPCR GPR3 Antibody
Goat polyclonal antibody to GPCR GPR3 for ELISA and WB.
A54322
Anti-GPCR GPR3 Antibody
Rabbit polyclonal antibody to GPCR GPR3 for ELISA and WB.
A334466
Anti-GPCR GPR3 Antibody
Rabbit polyclonal antibody to GPCR GPR3 for WB.
Proteins predicted to interact with GPCR GPR3
Predicted protein interactions based upon String database. Revelancy score correlates with probability of interaction.
beta Arrestin 2 Antibodies
93.1% Relevancy Score
beta Arrestin 1 Antibodies
76.5% Relevancy Score
GPCR GPR18 Antibodies
71.6% Relevancy Score
GPCR GPR55 Antibodies
66.9% Relevancy Score
PDE3A Antibodies
59.5% Relevancy Score
APH1a Antibodies
57.1% Relevancy Score
GPCR GPR4 Antibodies
55.5% Relevancy Score
GPCR GPR31 Antibodies
49.6% Relevancy Score
GPCR GPR62 Antibodies
49.2% Relevancy Score
Top